验证数据展示
产品信息
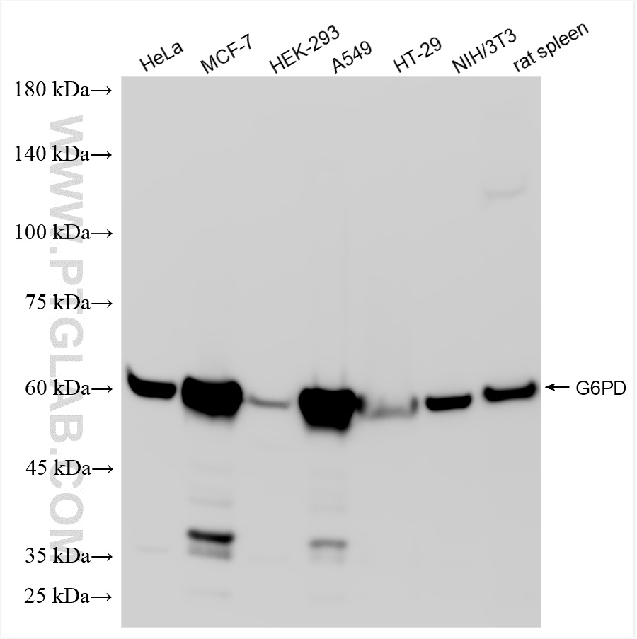
86240-2-PBS targets G6PD in WB, FC (Intra), Indirect ELISA applications and shows reactivity with human, mouse, rat samples.
| 经测试应用 | WB, FC (Intra), Indirect ELISA Application Description |
| 经测试反应性 | human, mouse, rat |
| 免疫原 |
CatNo: Ag21862 Product name: Recombinant human G6PD protein Source: e coli.-derived, PET28a Tag: 6*His Domain: 1-515 aa of BC000337 Sequence: MAEQVALSRTQVCGILREELFQGDAFHQSDTHIFIIMGASGDLAKKKIYPTIWWLFRDGLLPENTFIVGYARSRLTVADIRKQSEPFFKATPEEKLKLEDFFARNSYVAGQYDDAASYQRLNSHMNALHLGSQANRLFYLALPPTVYEAVTKNIHESCMSQIGWNRIIVEKPFGRDLQSSDRLSNHISSLFREDQIYRIDHYLGKEMVQNLMVLRFANRIFGPIWNRDNIACVILTFKEPFGTEGRGGYFDEFGIIRDVMQNHLLQMLCLVAMEKPASTNSDDVRDEKVKVLKCISEVQANNVVLGQYVGNPDGEGEATKGYLDDPTVPRGSTTATFAAVVLYVENERWDGVPFILRCGKALNERKAEVRLQFHDVAGDIFHQQCKRNELVIRVQPNEAVYTKMMTKKPGMFFNPEESELDLTYGNRYKNVKLPDAYERLILDVFCGSQMHFVRSDELREAWRIFTPLLHQIELEKPKPIPYIYGSRGPTEADELMKRVGFQYEGTYKWVNPHKL 种属同源性预测 |
| 宿主/亚型 | Rabbit / IgG |
| 抗体类别 | Recombinant |
| 产品类型 | Antibody |
| 全称 | glucose-6-phosphate dehydrogenase |
| 别名 | EC:1.1.1.49, G6P, G6PD1, Glucose-6-phosphate 1-dehydrogenase |
| 计算分子量 | 59 kDa |
| 观测分子量 | 60 kDa |
| GenBank蛋白编号 | BC000337 |
| 基因名称 | G6PD |
| Gene ID (NCBI) | 2539 |
| 偶联类型 | Unconjugated |
| 形式 | Liquid |
| 纯化方式 | Protein A purification |
| UNIPROT ID | P11413 |
| 储存缓冲液 | PBS only, pH 7.3. |
| 储存条件 | Store at -80°C. The product is shipped with ice packs. Upon receipt, store it immediately at -80°C |
背景介绍
G6PD(Glucose-6-phosphate 1-dehydrogenase) belongs to the glucose-6-phosphate dehydrogenase family. It is a housekeeping enzyme encoded in mammals by an X-linked gene. G6PD has important functions in intermediary metabolism because it catalyzes the first step in the pentose phosphate pathway and provides reductive potential in the form of NADPH.(PMID:7489710). This protein has 3 isoforms produced by alternative splicing.


