验证数据展示
经过测试的应用
| Positive IP detected in | mouse pancreas tissue |
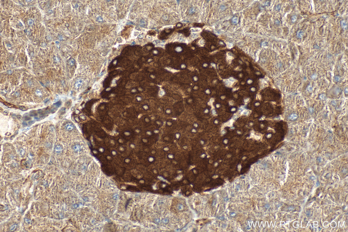
| Positive IHC detected in | mouse pancreas tissue Note: suggested antigen retrieval with TE buffer pH 9.0; (*) Alternatively, antigen retrieval may be performed with citrate buffer pH 6.0 |
| Positive IF-P detected in | mouse pancreas tissue |
推荐稀释比
| 应用 | 推荐稀释比 |
|---|---|
| Immunoprecipitation (IP) | IP : 0.5-4.0 ug for 1.0-3.0 mg of total protein lysate |
| Immunohistochemistry (IHC) | IHC : 1:50-1:500 |
| Immunofluorescence (IF)-P | IF-P : 1:50-1:500 |
| It is recommended that this reagent should be titrated in each testing system to obtain optimal results. | |
| Sample-dependent, Check data in validation data gallery. | |
产品信息
18074-1-AP targets G6PC2 in IHC, IF-P, IP, ELISA applications and shows reactivity with human, mouse samples.
| 经测试应用 | IHC, IF-P, IP, ELISA Application Description |
| 经测试反应性 | human, mouse |
| 免疫原 |
CatNo: Ag12764 Product name: Recombinant human G6PC2 protein Source: e coli.-derived, PGEX-4T Tag: GST Domain: 1-151 aa of BC104778 Sequence: MDFLHRNGVLIIQHLQKDYRAYYTFLNFMSNVGDPRNIFFIYFPLCFQFNQTVGTKMIWVAVIGDWLNLIFKWILFGHRPYWWVQETQIYPNHSSPCLEQFPTTCETGPGSPSGHAMGASCVWYVMVTAALSHTVCGMDKFSITLHRLTWS 种属同源性预测 |
| 宿主/亚型 | Rabbit / IgG |
| 抗体类别 | Polyclonal |
| 产品类型 | Antibody |
| 全称 | glucose-6-phosphatase, catalytic, 2 |
| 别名 | G6Pase 2, IGRP |
| 计算分子量 | 355 aa, 41 kDa |
| 观测分子量 | 38-40 kDa |
| GenBank蛋白编号 | BC104778 |
| 基因名称 | G6PC2 |
| Gene ID (NCBI) | 57818 |
| 偶联类型 | Unconjugated |
| 形式 | Liquid |
| 纯化方式 | Antigen affinity purification |
| UNIPROT ID | Q9NQR9 |
| 储存缓冲液 | PBS with 0.02% sodium azide and 50% glycerol, pH 7.3. |
| 储存条件 | Store at -20°C. Stable for one year after shipment. Aliquoting is unnecessary for -20oC storage. |
背景介绍
G6PC2, also known as IGRP, is a member of the glucose-6-phosphatase catalytic subunit (G6PC) gene family. G6PC2 catalyzes the hydrolysis of glucose-6-phosphate to glucose and inorganic phosphate within the lumen of the endoplasmic reticulum. G6PC2 is mainly expressed in pancreatic islet β-cells. G6PC2 acts to oppose the action of the beta cell glucose sensor, glucokinase, by creating a futile substrate cycle. (PMID: 37855366, PMID: 32569842, PMID: 37552875)
实验方案
| Product Specific Protocols | |
|---|---|
| IF protocol for G6PC2 antibody 18074-1-AP | Download protocol |
| IHC protocol for G6PC2 antibody 18074-1-AP | Download protocol |
| IP protocol for G6PC2 antibody 18074-1-AP | Download protocol |
| Standard Protocols | |
|---|---|
| Click here to view our Standard Protocols |



