验证数据展示
经过测试的应用
| Positive WB detected in | HeLa cells, HEK-293 cells, HepG2 cells, A549 cells, Jurkat cells, K-562 cells |
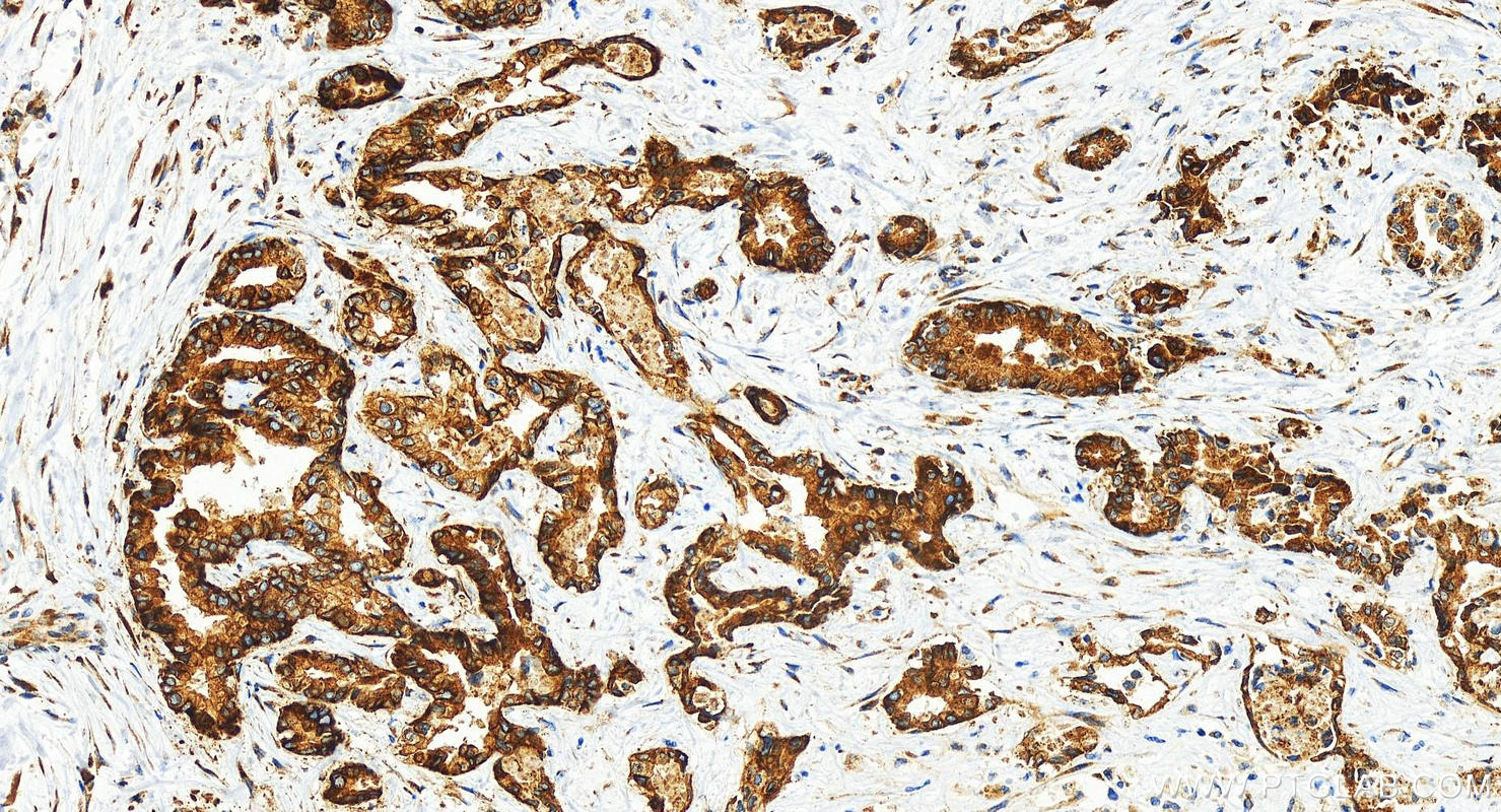
| Positive IHC detected in | human intrahepatic cholangiocarcinoma tissue Note: suggested antigen retrieval with TE buffer pH 9.0; (*) Alternatively, antigen retrieval may be performed with citrate buffer pH 6.0 |
| Positive IF/ICC detected in | sodium arsenite treated HeLa cells |
| Positive FC (Intra) detected in | U2OS cells |
推荐稀释比
| 应用 | 推荐稀释比 |
|---|---|
| Western Blot (WB) | WB : 1:5000-1:50000 |
| Immunohistochemistry (IHC) | IHC : 1:500-1:2000 |
| Immunofluorescence (IF)/ICC | IF/ICC : 1:500-1:2000 |
| Flow Cytometry (FC) (INTRA) | FC (INTRA) : 0.25 ug per 10^6 cells in a 100 µl suspension |
| It is recommended that this reagent should be titrated in each testing system to obtain optimal results. | |
| Sample-dependent, Check data in validation data gallery. | |
产品信息
82080-4-RR targets G3BP2 in WB, IHC, IF/ICC, FC (Intra), ELISA applications and shows reactivity with human samples.
| 经测试应用 | WB, IHC, IF/ICC, FC (Intra), ELISA Application Description |
| 经测试反应性 | human |
| 免疫原 |
CatNo: Ag9355 Product name: Recombinant human G3BP2 protein Source: e coli.-derived, PGEX-4T Tag: GST Domain: 97-449 aa of BC011731 Sequence: LLSNSGQPERKFMQTFVLAPEGSVPNKFYVHNDMFRYEDEVFGDSEPELDEESEDEVEEEQEERQPSPEPVQENANSGYYEAHPVTNGIEEPLEESSHEPEPEPESETKTEELKPQVEEKNLEELEEKSTTPPPAEPVSLPQEPPKPRVEAKPEVQSQPPRVREQRPRERPGFPPRGPRPGRGDMEQNDSDNRRIIRYPDSHQLFVGNLPHDIDENELKEFFMSFGNVVELRINTKGVGGKLPNFGFVVFDDSEPVQRILIAKPIMFRGEVRLNVEEKKTRAARERETRGGGDDRRDIRRNDRGPGGPRGIVGGGMMRDRDGRGPPPRGGMAQKLGSGRGTGQMEGRFTGQRR 种属同源性预测 |
| 宿主/亚型 | Rabbit / IgG |
| 抗体类别 | Recombinant |
| 产品类型 | Antibody |
| 全称 | GTPase activating protein (SH3 domain) binding protein 2 |
| 别名 | G3BP 2, 230275D6, G3BP-2, GAP SH3 domain binding protein 2, GAP SH3 domain-binding protein 2 |
| 计算分子量 | 482aa,54 kDa; 449aa,51 kDa |
| 观测分子量 | 65-70 kDa |
| GenBank蛋白编号 | BC011731 |
| 基因名称 | G3BP2 |
| Gene ID (NCBI) | 9908 |
| RRID | AB_3670513 |
| 偶联类型 | Unconjugated |
| 形式 | Liquid |
| 纯化方式 | Protein A purification |
| UNIPROT ID | Q9UN86 |
| 储存缓冲液 | PBS with 0.02% sodium azide and 50% glycerol, pH 7.3. |
| 储存条件 | Store at -20°C. Stable for one year after shipment. Aliquoting is unnecessary for -20oC storage. |
背景介绍
Stress granules (SGs) are cytoplasmic mRNA-protein condensates formed in response to cellular stressors, such as oxidative stress, ultraviolet radiation, and viral infection (1). The Ras-GTPase-activating protein-binding proteins (G3BPs), consisting of G3BP1 and G3BP2, are key nucleating factors essential for SG formation. They function to protect RNAs from harmful conditions. G3BP2 is mainly distributed in the cytoplasm and participates in the formation of stress granules, cell differentiation, proliferation, and signal transduction. Accumulating evidence has demonstrated that aberrant expression of G3BP2 contributes to cancer initiation and progression, such as high expression of G3BP2 increasing cell stemness, metastasis and chemoresistance in breast cancer.
实验方案
| Product Specific Protocols | |
|---|---|
| IF protocol for G3BP2 antibody 82080-4-RR | Download protocol |
| IHC protocol for G3BP2 antibody 82080-4-RR | Download protocol |
| WB protocol for G3BP2 antibody 82080-4-RR | Download protocol |
| Standard Protocols | |
|---|---|
| Click here to view our Standard Protocols |





