验证数据展示
经过测试的应用
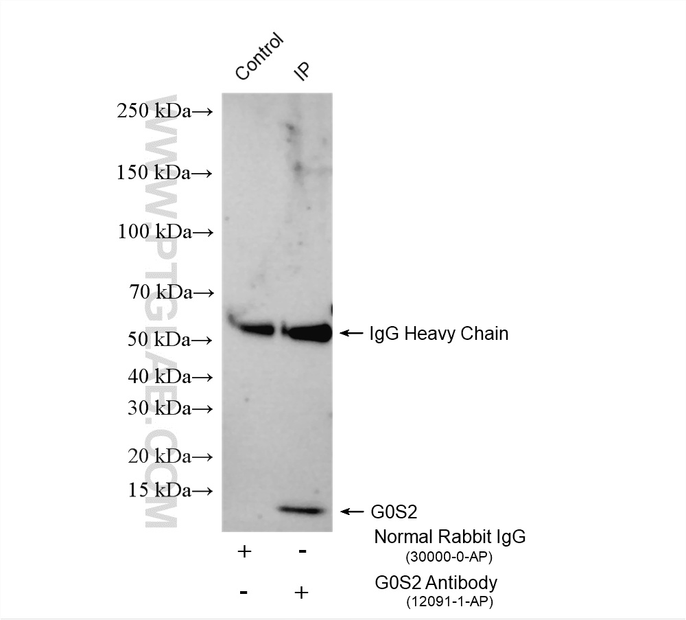
| Positive IP detected in | L02 cells |
| Positive IHC detected in | mouse liver tissue Note: suggested antigen retrieval with TE buffer pH 9.0; (*) Alternatively, antigen retrieval may be performed with citrate buffer pH 6.0 |
| Positive IF/ICC detected in | H9C2 cells |
推荐稀释比
| 应用 | 推荐稀释比 |
|---|---|
| Immunoprecipitation (IP) | IP : 0.5-4.0 ug for 1.0-3.0 mg of total protein lysate |
| Immunohistochemistry (IHC) | IHC : 1:50-1:500 |
| Immunofluorescence (IF)/ICC | IF/ICC : 1:50-1:500 |
| It is recommended that this reagent should be titrated in each testing system to obtain optimal results. | |
| Sample-dependent, Check data in validation data gallery. | |
产品信息
12091-1-AP targets G0S2 in WB, IHC, IF/ICC, IP, CoIP, ChIP, ELISA applications and shows reactivity with human, mouse samples.
| 经测试应用 | IHC, IF/ICC, IP, ELISA Application Description |
| 文献引用应用 | WB, IHC, IF, IP, CoIP, ChIP |
| 经测试反应性 | human, mouse |
| 文献引用反应性 | human, mouse, rat |
| 免疫原 |
CatNo: Ag2731 Product name: Recombinant human G0S2 protein Source: e coli.-derived, PGEX-4T Tag: GST Domain: 1-103 aa of BC009694 Sequence: METVQELIPLAKEMMAQKRKGKMVKLYVLGSVLALFGVVLGLMETVCSPFTAARRLRDQEAAVAELQAALERQALQKQALQEKGKQQDTVLGGRALSNRQHAS 种属同源性预测 |
| 宿主/亚型 | Rabbit / IgG |
| 抗体类别 | Polyclonal |
| 产品类型 | Antibody |
| 全称 | G0/G1switch 2 |
| 别名 | G0/G1 switch protein 2, G0S 2 |
| 计算分子量 | 11 kDa |
| GenBank蛋白编号 | BC009694 |
| 基因名称 | G0S2 |
| Gene ID (NCBI) | 50486 |
| RRID | AB_2877824 |
| 偶联类型 | Unconjugated |
| 形式 | Liquid |
| 纯化方式 | Antigen affinity purification |
| UNIPROT ID | P27469 |
| 储存缓冲液 | PBS with 0.02% sodium azide and 50% glycerol, pH 7.3. |
| 储存条件 | Store at -20°C. Stable for one year after shipment. Aliquoting is unnecessary for -20oC storage. |
背景介绍
G0S2 is G0/G1 switch protein 2. It is an all trans- retinoic acid (RA) target gene. G0S2 promotes apoptosis by binding to BCL2, hence preventing the formation of protective BCL2-BAX heterodimers.
实验方案
| Product Specific Protocols | |
|---|---|
| IF protocol for G0S2 antibody 12091-1-AP | Download protocol |
| IHC protocol for G0S2 antibody 12091-1-AP | Download protocol |
| IP protocol for G0S2 antibody 12091-1-AP | Download protocol |
| Standard Protocols | |
|---|---|
| Click here to view our Standard Protocols |
发表文章
| Species | Application | Title |
|---|---|---|
Cancer Res Bcl-xL enforces a slow-cycling state necessary for survival in the nutrient-deprived microenvironment of pancreatic cancer. | ||
J Clin Endocrinol Metab Endurance exercise training up-regulates lipolytic proteins and reduces triglyceride content in skeletal muscle of obese subjects. | ||
Genomics MIN score predicts primary response to infliximab/adalimumab and vedolizumab therapy in patients with inflammatory bowel diseases. | ||
J Clin Endocrinol Metab Moderate-Intensity Exercise and High-Intensity Interval Training Affect Insulin Sensitivity Similarly in Obese Adults. | ||
Mol Metab G0/G1 Switch Gene 2 controls adipose triglyceride lipase activity and lipid metabolism in skeletal muscle.
| ||



