验证数据展示
经过测试的应用
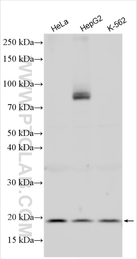
| Positive WB detected in | HeLa cells, HepG2 cells, K-562 cells, L02 cells |
推荐稀释比
| 应用 | 推荐稀释比 |
|---|---|
| Western Blot (WB) | WB : 1:500-1:1000 |
| It is recommended that this reagent should be titrated in each testing system to obtain optimal results. | |
| Sample-dependent, Check data in validation data gallery. | |
发表文章中的应用
| WB | See 1 publications below |
产品信息
30415-1-AP targets G-CSF in WB, ELISA applications and shows reactivity with human, mouse samples.
| 经测试应用 | WB, ELISA Application Description |
| 文献引用应用 | WB |
| 经测试反应性 | human, mouse |
| 文献引用反应性 | mouse |
| 免疫原 |
CatNo: Eg0256 Product name: Recombinant Mouse G-CSF protein (His Tag) Source: mammalian cells-derived, pHZ-KIsec-C-6*HIS Tag: C-6*HIS Domain: 31-208 aa of NM_009971 Sequence: VPLVTVSALPPSLPLPRSFLLKSLEQVRKIQASGSVLLEQLCATYKLCHPEELVLLGHSLGIPKASLSGCSSQALQQTQCLSQLHSGLCLYQGLLQALSGISPALAPTLDLLQLDVANFATTIWQQMENLGVAPTVQPTQSAMPAFTSAFQRRAGGVLAISYLQGFLETARLALHHLA 种属同源性预测 |
| 宿主/亚型 | Rabbit / IgG |
| 抗体类别 | Polyclonal |
| 产品类型 | Antibody |
| 全称 | colony stimulating factor 3 (granulocyte) |
| 别名 | Csf3, Csfg, G CSF, Granulocyte colony-stimulating factor |
| 计算分子量 | 22kd |
| 观测分子量 | 18-20 kDa |
| GenBank蛋白编号 | NM_009971 |
| 基因名称 | Csf3 |
| Gene ID (NCBI) | 12985 |
| RRID | AB_3669720 |
| 偶联类型 | Unconjugated |
| 形式 | Liquid |
| 纯化方式 | Antigen affinity purification |
| UNIPROT ID | P09920 |
| 储存缓冲液 | PBS with 0.02% sodium azide and 50% glycerol, pH 7.3. |
| 储存条件 | Store at -20°C. Stable for one year after shipment. Aliquoting is unnecessary for -20oC storage. |
背景介绍
Granulocyte colony-stimulating factor (G-CSF), also referred to as CSF3, is a protective cytokine with anti-inflammatory effects. G-CSF is important in promoting survival of the granulocytic lineage cells and proliferation and migration of neutrophils as well as trophoblast cells. G-CSF acts by binding to its receptor G-CSFR (also called CSF3R), which after binding with G-CSF activates the canonical Janus kinase (Jak)/signal transducer, activator of transcription (STAT)and Ras/Raf/MAP kinase pathways. G-CSF potently stimulates the proliferation and release of peripheral blood progenitor cells into the bloodstream and is therefore used to treat neutropenia after chemotherapy. Furthermore, G-CSF levels are elevated upon intensive exercise leading to increased neutrophil counts, which are predominantly due to delayed neutrophil apoptosis.
实验方案
| Product Specific Protocols | |
|---|---|
| WB protocol for G-CSF antibody 30415-1-AP | Download protocol |
| Standard Protocols | |
|---|---|
| Click here to view our Standard Protocols |
