验证数据展示
经过测试的应用
| Positive WB detected in | rat lung tissue, mouse lung tissue |
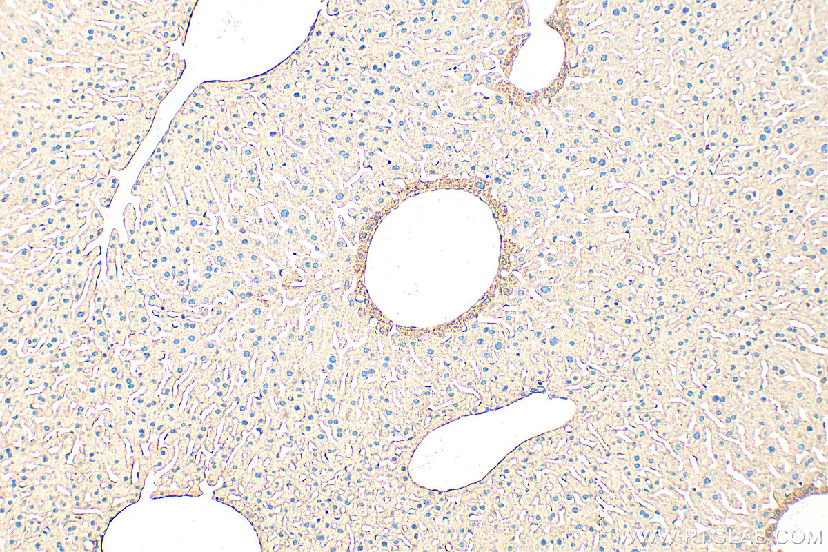
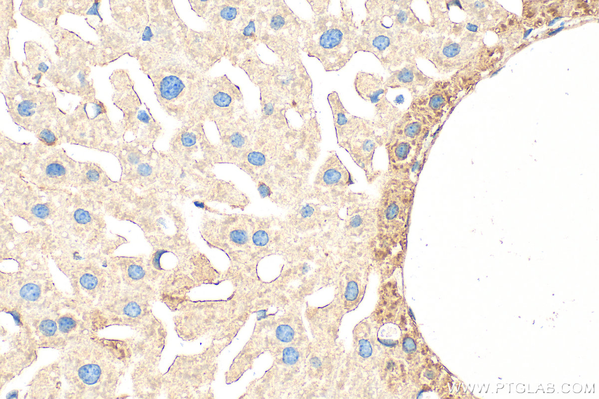
| Positive IHC detected in | mouse liver tissue Note: suggested antigen retrieval with TE buffer pH 9.0; (*) Alternatively, antigen retrieval may be performed with citrate buffer pH 6.0 |
| Positive IF-P detected in | mouse liver tissue |
推荐稀释比
| 应用 | 推荐稀释比 |
|---|---|
| Western Blot (WB) | WB : 1:500-1:3000 |
| Immunohistochemistry (IHC) | IHC : 1:50-1:500 |
| Immunofluorescence (IF)-P | IF-P : 1:200-1:800 |
| It is recommended that this reagent should be titrated in each testing system to obtain optimal results. | |
| Sample-dependent, Check data in validation data gallery. | |
产品信息
32442-1-AP targets Ficolin 2 in WB, IHC, IF-P, ELISA applications and shows reactivity with human, mouse, rat samples.
| 经测试应用 | WB, IHC, IF-P, ELISA Application Description |
| 经测试反应性 | human, mouse, rat |
| 免疫原 |
CatNo: Ag37525 Product name: Recombinant human FCN2 protein Source: e coli.-derived, PGEX-4T Tag: GST Domain: 228-288 aa of NM_004108 Sequence: EGSAGDSLTFHNNQSFSTKDQDNDLNTGNCAVMFQGAWWYKNCHVSNLNGRYLRGTHGSFA 种属同源性预测 |
| 宿主/亚型 | Rabbit / IgG |
| 抗体类别 | Polyclonal |
| 产品类型 | Antibody |
| 全称 | ficolin (collagen/fibrinogen domain containing lectin) 2 (hucolin) |
| 别名 | FCN2, FCNL, Ficolin B, Ficolin beta, Hucolin |
| 计算分子量 | 34 kDa |
| 观测分子量 | 34-35 kDa |
| GenBank蛋白编号 | NM_004108 |
| 基因名称 | FCN2 |
| Gene ID (NCBI) | 2220 |
| RRID | AB_3742612 |
| 偶联类型 | Unconjugated |
| 形式 | Liquid |
| 纯化方式 | Antigen affinity Purification |
| UNIPROT ID | Q15485 |
| 储存缓冲液 | PBS with 0.02% sodium azide and 50% glycerol, pH 7.3. |
| 储存条件 | Store at -20°C. Stable for one year after shipment. Aliquoting is unnecessary for -20oC storage. |
背景介绍
Ficolins are a group of oligomeric lectins with subunits consisting of both collagen-like and fibrinogen-like domains (PMID: 20375620). They are innate pattern recognition receptors and play integral roles in the immune response. In humans, there are three ficolins termed M-, L-, and H-ficolin (also referred to as ficolin-1, -2, and -3) whereas rodents only possess ficolin-A and -B, which are the orthologues of human L- and M-ficolin, respectively (PMID: 30868077). Ficolin 2 recognizes pathogen-associated pattern molecules (PAMPs) on the surface of pathogenic microorganisms, activates the complement lectin pathway, and binds to mannose-binding lectin-associated serine proteases (MASPs) to exert immune defense function (PMID: 21315829).
实验方案
| Product Specific Protocols | |
|---|---|
| IF protocol for Ficolin 2 antibody 32442-1-AP | Download protocol |
| IHC protocol for Ficolin 2 antibody 32442-1-AP | Download protocol |
| WB protocol for Ficolin 2 antibody 32442-1-AP | Download protocol |
| Standard Protocols | |
|---|---|
| Click here to view our Standard Protocols |




