验证数据展示
经过测试的应用
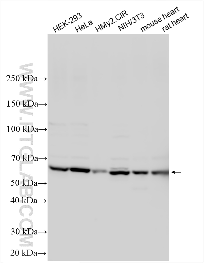
| Positive WB detected in | HMy2.CIR cells, C6 cells, HEK-293 cells, HepG2 cells, mouse liver tissue, HeLa cells, NIH/3T3 cells, mouse heart tissue, rat heart tissue, Jurkat cells |
| Positive IP detected in | mouse heart tissue |
| Positive IHC detected in | mouse kidney tissue, human breast cancer tissue, human liver tissue, mouse heart tissue Note: suggested antigen retrieval with TE buffer pH 9.0; (*) Alternatively, antigen retrieval may be performed with citrate buffer pH 6.0 |
| Positive IF/ICC detected in | HepG2 cells, HeLa cells |
| Positive FC (Intra) detected in | HeLa cells |
推荐稀释比
| 应用 | 推荐稀释比 |
|---|---|
| Western Blot (WB) | WB : 1:1000-1:6000 |
| Immunoprecipitation (IP) | IP : 0.5-4.0 ug for 1.0-3.0 mg of total protein lysate |
| Immunohistochemistry (IHC) | IHC : 1:200-1:800 |
| Immunofluorescence (IF)/ICC | IF/ICC : 1:50-1:500 |
| Flow Cytometry (FC) (INTRA) | FC (INTRA) : 0.20 ug per 10^6 cells in a 100 µl suspension |
| It is recommended that this reagent should be titrated in each testing system to obtain optimal results. | |
| Sample-dependent, Check data in validation data gallery. | |
产品信息
16368-1-AP targets FZR1/Cdh1 in WB, IHC, IF/ICC, FC (Intra), IP, ELISA applications and shows reactivity with human, mouse, rat samples.
| 经测试应用 | WB, IHC, IF/ICC, FC (Intra), IP, ELISA Application Description |
| 文献引用应用 | WB, IP |
| 经测试反应性 | human, mouse, rat |
| 文献引用反应性 | human, mouse |
| 免疫原 |
CatNo: Ag9201 Product name: Recombinant human FZR1 protein Source: e coli.-derived, PGEX-4T Tag: GST Domain: 217-342 aa of BC013413 Sequence: SQVTRLCDLSVEGDSVTSVGWSERGNLVAVGTHKGFVQIWDAAAGKKLSMLEGHTARVGALAWNAEQLSSGSRDRMILQRDIRTPPLQSERRLQGHRQEVCGLKWSTDHQLLASGGNDNKLLVWNH 种属同源性预测 |
| 宿主/亚型 | Rabbit / IgG |
| 抗体类别 | Polyclonal |
| 产品类型 | Antibody |
| 全称 | fizzy/cell division cycle 20 related 1 (Drosophila) |
| 别名 | FZR1, CDC20 like protein 1, CDC20C, CDC20-like protein 1, CDH1 |
| 计算分子量 | 493 aa, 55 kDa |
| 观测分子量 | 55 kDa |
| GenBank蛋白编号 | BC013413 |
| 基因名称 | FZR1 |
| Gene ID (NCBI) | 51343 |
| RRID | AB_2107380 |
| 偶联类型 | Unconjugated |
| 形式 | Liquid |
| 纯化方式 | Antigen affinity purification |
| UNIPROT ID | Q9UM11 |
| 储存缓冲液 | PBS with 0.02% sodium azide and 50% glycerol, pH 7.3. |
| 储存条件 | Store at -20°C. Stable for one year after shipment. Aliquoting is unnecessary for -20oC storage. |
背景介绍
FZR1 gene, also named as FYR, FZR and KIAA1242, has been previously shown to be mutated in lobular breast carcinomas. Direct evidence of FZR1 mutations triggering tumorigenesis has been investigated. FZR1 is a key regulator of ligase activity of the anaphase promoting complex/cyclosome (APC/C) which is playing vital role s in cell cycle progression. There are 7 WD-repeat domains in FZR1. Upon phosphorylation and dephosphorylation, it interacts with other components to modulate cell mitosis. This gene is different to E-cadherin (CDH1)which is an epithelial cell adhesion molecule. It has 55 kDa, 54 kDa and 45 kDa isoforms.
实验方案
| Product Specific Protocols | |
|---|---|
| FC protocol for FZR1/Cdh1 antibody 16368-1-AP | Download protocol |
| IF protocol for FZR1/Cdh1 antibody 16368-1-AP | Download protocol |
| IHC protocol for FZR1/Cdh1 antibody 16368-1-AP | Download protocol |
| IP protocol for FZR1/Cdh1 antibody 16368-1-AP | Download protocol |
| WB protocol for FZR1/Cdh1 antibody 16368-1-AP | Download protocol |
| Standard Protocols | |
|---|---|
| Click here to view our Standard Protocols |
发表文章
| Species | Application | Title |
|---|---|---|
Nat Commun DNA replication initiation factor RECQ4 possesses a role in antagonizing DNA replication initiation | ||
Sci Adv The cohesin stabilizer Sororin drives G2-M transition and spindle assembly in mammalian oocytes.
| ||
Acta Pharmacol Sin Bergenin, a PPARγ agonist, inhibits Th17 differentiation and subsequent neutrophilic asthma by preventing GLS1-dependent glutaminolysis. | ||
Mol Cell Biol ERBB2 deficiency alters an E2F-1-dependent adaptive stress response and leads to cardiac dysfunction. | ||
iScience Cdh1-APC Regulates Protein Synthesis and Stress Granules in Neurons through an FMRP-Dependent Mechanism.
| ||














