验证数据展示
经过测试的应用
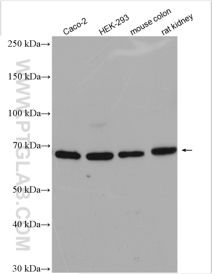
| Positive WB detected in | Caco-2 cells, mouse colon tissue, rat kidney tissue, HEK-293 cells, mouse colon tisue |
| Positive IHC detected in | mouse colon tissue Note: suggested antigen retrieval with TE buffer pH 9.0; (*) Alternatively, antigen retrieval may be performed with citrate buffer pH 6.0 |
推荐稀释比
| 应用 | 推荐稀释比 |
|---|---|
| Western Blot (WB) | WB : 1:500-1:1000 |
| Immunohistochemistry (IHC) | IHC : 1:50-1:500 |
| It is recommended that this reagent should be titrated in each testing system to obtain optimal results. | |
| Sample-dependent, Check data in validation data gallery. | |
产品信息
24272-1-AP targets Frizzled 2 in WB, IHC, IF, ELISA applications and shows reactivity with human, mouse, rat samples.
| 经测试应用 | WB, IHC, ELISA Application Description |
| 文献引用应用 | WB, IF |
| 经测试反应性 | human, mouse, rat |
| 文献引用反应性 | human, mouse, rat |
| 免疫原 |
CatNo: Ag18003 Product name: Recombinant human FZD2 protein Source: e coli.-derived, PGEX-4T Tag: GST Domain: 138-217 aa of BC113402 Sequence: CEHFPRHGAEQICVGQNHSEDGAPALLTTAPPPGLQPGAGGTPGGPGGGGAPPRYATLEHPFHCPRVLKVPSYLSYKFLG 种属同源性预测 |
| 宿主/亚型 | Rabbit / IgG |
| 抗体类别 | Polyclonal |
| 产品类型 | Antibody |
| 全称 | frizzled homolog 2 (Drosophila) |
| 别名 | FZD2, Frizzled-2, Fz 2, Fz-2, FzE2 |
| 计算分子量 | 565 aa, 64 kDa |
| 观测分子量 | 64-70 kDa |
| GenBank蛋白编号 | BC113402 |
| 基因名称 | Frizzled 2 |
| Gene ID (NCBI) | 2535 |
| RRID | AB_2879463 |
| 偶联类型 | Unconjugated |
| 形式 | Liquid |
| 纯化方式 | Antigen affinity purification |
| UNIPROT ID | Q14332 |
| 储存缓冲液 | PBS with 0.02% sodium azide and 50% glycerol, pH 7.3. |
| 储存条件 | Store at -20°C. Stable for one year after shipment. Aliquoting is unnecessary for -20oC storage. |
背景介绍
Frizzled 2(FZD2) also known as FzE2, which belongs to the G-protein coupled receptor Fz/Smo family. FZD2 is an important receptor in the Wnt pathway, which is highly expressed in malignant tumors and helps regulate multiple tumor behaviors. Its expression level is related to prognosis. Moreover, high level of FZD2 had significant correlation with poor prognosis in Breast cancer (BC) patients(PMID: 33832493).
实验方案
| Product Specific Protocols | |
|---|---|
| IHC protocol for Frizzled 2 antibody 24272-1-AP | Download protocol |
| WB protocol for Frizzled 2 antibody 24272-1-AP | Download protocol |
| Standard Protocols | |
|---|---|
| Click here to view our Standard Protocols |
发表文章
| Species | Application | Title |
|---|---|---|
Biol Res Electroacupuncture promotes neurogenesis in the dentate gyrus and improves pattern separation in an early Alzheimer's disease mouse model | ||
Front Microbiol Expression and (Lacking) Internalization of the Cell Surface Receptors of Clostridioides difficile Toxin B. | ||
Pharm Biol Yiguanjian decoction inhibits macrophage M1 polarization and attenuates hepatic fibrosis induced by CCl4/2-AAF. | ||
Evid Based Complement Alternat Med Intervention Mechanism of Hunag-Lian Jie-Du Decoction on Canonical Wnt/β-Catenin Signaling Pathway in Psoriasis Mouse Model. | ||
Cell Death Discov Cholesterol activates the Wnt/PCP-YAP signaling in SOAT1-targeted treatment of colon cancer.
| ||
Genes Dis Depletion of VPS35 attenuates metastasis of hepatocellular carcinoma by restraining the Wnt/PCP signaling pathway. |





