验证数据展示
经过测试的应用
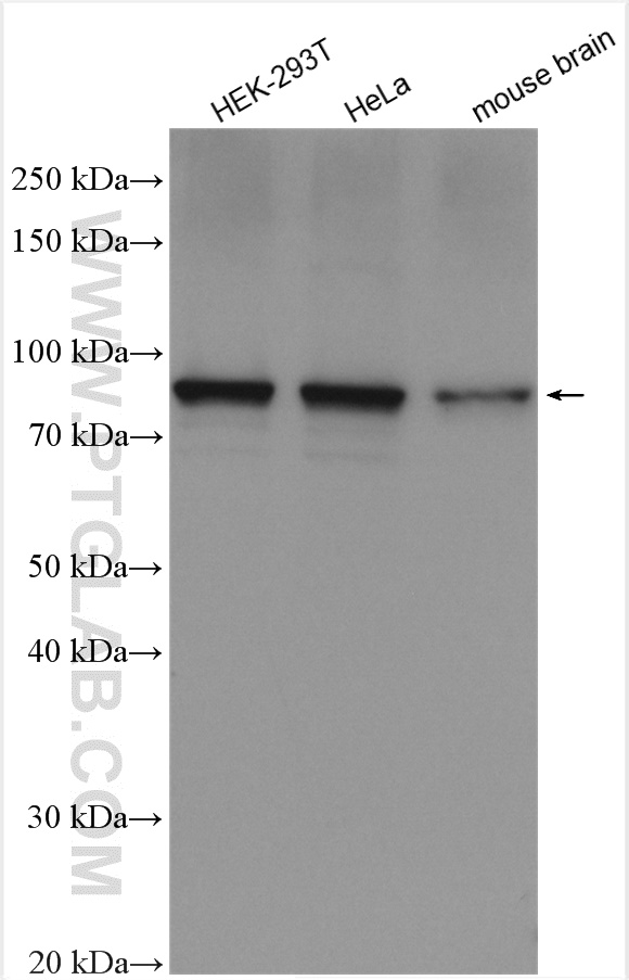
| Positive WB detected in | HEK-293T cells, HeLa cells, human brain tissue, mouse brain tissue |
| Positive IP detected in | HeLa cells |
| Positive IHC detected in | mouse brain tissue Note: suggested antigen retrieval with TE buffer pH 9.0; (*) Alternatively, antigen retrieval may be performed with citrate buffer pH 6.0 |
| Positive IF/ICC detected in | HepG2 cells |
推荐稀释比
| 应用 | 推荐稀释比 |
|---|---|
| Western Blot (WB) | WB : 1:1000-1:4000 |
| Immunoprecipitation (IP) | IP : 0.5-4.0 ug for 1.0-3.0 mg of total protein lysate |
| Immunohistochemistry (IHC) | IHC : 1:50-1:500 |
| Immunofluorescence (IF)/ICC | IF/ICC : 1:200-1:800 |
| It is recommended that this reagent should be titrated in each testing system to obtain optimal results. | |
| Sample-dependent, Check data in validation data gallery. | |
产品信息
12552-1-AP targets FXR2 in WB, IHC, IF/ICC, IP, RIP, ELISA applications and shows reactivity with human, mouse samples.
| 经测试应用 | WB, IHC, IF/ICC, IP, ELISA Application Description |
| 文献引用应用 | WB, IF, RIP |
| 经测试反应性 | human, mouse |
| 文献引用反应性 | human, mouse |
| 免疫原 |
CatNo: Ag3402 Product name: Recombinant human FXR2 protein Source: e coli.-derived, PET28a Tag: 6*His Domain: 1-354 aa of BC020090 Sequence: MGGLASGGDVEPGLPVEVRGSNGAFYKGFVKDVHEDSVTIFFENNWQSERQIPFGDVRLPPPADYNKEITEGDEVEVYSRANEQEPCGWWLARVRMMKGDFYVIEYAACDATYNEIVTLERLRPVNPNPLATKGSFFKVTMAVPEDLREACSNENVHKEFKKALGANCIFLNITNSELFILSTTEAPVKRASLLGDMHFRSLRTKLLLMSRNEEATKHLETSKQLAAAFQEEFTVREDLMGLAIGTHGANIQQARKVPGVTAIELGEETCTFRIYGETPEACRQARSYLEFSEDSVQVPRNLVGKVIGKNGKVIQEIVDKSGVVRVRVEGDNDKKNPREEGMVPFIFVGTRENI 种属同源性预测 |
| 宿主/亚型 | Rabbit / IgG |
| 抗体类别 | Polyclonal |
| 产品类型 | Antibody |
| 全称 | fragile X mental retardation, autosomal homolog 2 |
| 别名 | RNA-binding protein FXR2, FXR2P, FMR1L2, FMR1 autosomal homolog 2 |
| 计算分子量 | 74 kDa |
| 观测分子量 | 95 kDa |
| GenBank蛋白编号 | BC020090 |
| 基因名称 | FXR2 |
| Gene ID (NCBI) | 9513 |
| RRID | AB_2110720 |
| 偶联类型 | Unconjugated |
| 形式 | Liquid |
| 纯化方式 | Antigen affinity purification |
| UNIPROT ID | P51116 |
| 储存缓冲液 | PBS with 0.02% sodium azide and 50% glycerol, pH 7.3. |
| 储存条件 | Store at -20°C. Stable for one year after shipment. Aliquoting is unnecessary for -20oC storage. |
背景介绍
FXR2 (FMR1 autosomal homolog 2), also known as: FXR2P; Fxr2h, is belong to the Fragile X gene family. FXR2 is a mRNA-binding protein that acts as a regulator of mRNAs translation and/or stability, and which is required for adult hippocampal neurogenesis. Also, FXR2 acts as a regulator of adult hippocampal neurogenesis by regulating translation and/or stability of NOG mRNA, thereby preventing NOG protein expression in the dentate gyrus(Uniprot).
实验方案
| Product Specific Protocols | |
|---|---|
| IF protocol for FXR2 antibody 12552-1-AP | Download protocol |
| IHC protocol for FXR2 antibody 12552-1-AP | Download protocol |
| IP protocol for FXR2 antibody 12552-1-AP | Download protocol |
| WB protocol for FXR2 antibody 12552-1-AP | Download protocol |
| Standard Protocols | |
|---|---|
| Click here to view our Standard Protocols |
发表文章
| Species | Application | Title |
|---|---|---|
Adv Sci (Weinh) Primate-Specific DAZ Regulates Translation of Cell Proliferation-Related mRNAs and is Essential for Maintenance of Spermatogonia | ||
Int J Biol Macromol 5-Methylcytosine-modified circRNA-CCNL2 regulates vascular remdeling in hypoxic pulmonary hypertension through binding to FXR2 | ||
J Cell Biol UBAP2L ensures homeostasis of nuclear pore complexes at the intact nuclear envelope | ||
Elife The Tudor SND1 protein is an m6A RNA reader essential for replication of Kaposi's sarcoma-associated herpesvirus. | ||
Proc Natl Acad Sci U S A ARL6IP1 mediates small-molecule-induced alleviation of Alzheimer pathology through FXR1-dependent BACE1 translation initiation
| ||
J Nanobiotechnology Anti-ferroptosis exosomes engineered for targeting M2 microglia to improve neurological function in ischemic stroke |







