验证数据展示
经过测试的应用
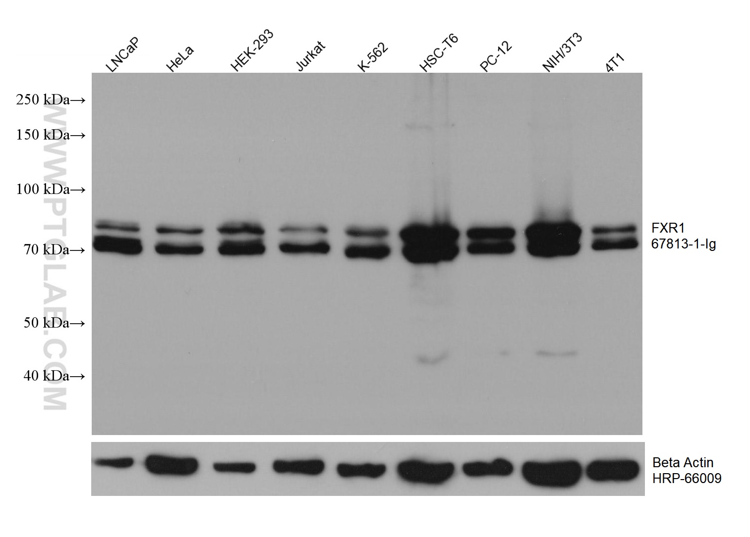
| Positive WB detected in | LNCaP cells, HeLa cells, HEK-293 cells, Jurkat cells, K-562 cells, HSC-T6 cells, PC-12 cells, NIH/3T3 cells, 4T1 cells |
| Positive IP detected in | K-562 cells |
| Positive IHC detected in | mouse brain tissue, human gliomas tissue Note: suggested antigen retrieval with TE buffer pH 9.0; (*) Alternatively, antigen retrieval may be performed with citrate buffer pH 6.0 |
| Positive IF-P detected in | mouse brain tissue |
| Positive IF/ICC detected in | HeLa cells |
推荐稀释比
| 应用 | 推荐稀释比 |
|---|---|
| Western Blot (WB) | WB : 1:5000-1:50000 |
| Immunoprecipitation (IP) | IP : 0.5-4.0 ug for 1.0-3.0 mg of total protein lysate |
| Immunohistochemistry (IHC) | IHC : 1:500-1:2000 |
| Immunofluorescence (IF)-P | IF-P : 1:200-1:800 |
| Immunofluorescence (IF)/ICC | IF/ICC : 1:200-1:800 |
| It is recommended that this reagent should be titrated in each testing system to obtain optimal results. | |
| Sample-dependent, Check data in validation data gallery. | |
发表文章中的应用
| KD/KO | See 1 publications below |
| WB | See 2 publications below |
| IHC | See 1 publications below |
产品信息
67813-1-Ig targets FXR1 in WB, IHC, IF/ICC, IF-P, IP, ELISA applications and shows reactivity with human, mouse, rat samples.
| 经测试应用 | WB, IHC, IF/ICC, IF-P, IP, ELISA Application Description |
| 文献引用应用 | WB, IHC |
| 经测试反应性 | human, mouse, rat |
| 文献引用反应性 | human, mouse, rat |
| 免疫原 |
CatNo: Ag27800 Product name: Recombinant human FXR1 protein Source: e coli.-derived, PET28a Tag: 6*His Domain: 1-353 aa of BC028983 Sequence: MAELTVEVRGSNGAFYKGFIKDVHEDSLTVVFENNWQPERQVPFNEVRLPPPPDIKKEISEGDEVEVYSRANDQEPCGWWLAKVRMMKGEFYVIEYAACDATYNEIVTFERLRPVNQNKTVKKNTFFKCTVDVPEDLREACANENAHKDFKKAVGACRIFYHPETTQLMILSASEATVKRVNILSDMHLRSIRTKLMLMSRNEEATKHLECTKQLAAAFHEEFVVREDLMGLAIGTHGSNIQQARKVPGVTAIELDEDTGTFRIYGESADAVKKARGFLEFVEDFIQVPRNLVGKVIGKNGKVIQEIVDKSGVVRVRIEGDNENKLPREDGMVPFVFVGTKESIGNVQVLLEY 种属同源性预测 |
| 宿主/亚型 | Mouse / IgG1 |
| 抗体类别 | Monoclonal |
| 产品类型 | Antibody |
| 全称 | fragile X mental retardation, autosomal homolog 1 |
| 别名 | 1E12E8, FMR1 autosomal homolog 1, hFXR1p, RNA-binding protein FXR1 |
| 计算分子量 | 621 aa, 70 kDa |
| 观测分子量 | 70-80 kDa |
| GenBank蛋白编号 | BC028983 |
| 基因名称 | FXR1 |
| Gene ID (NCBI) | 8087 |
| RRID | AB_2918576 |
| 偶联类型 | Unconjugated |
| 形式 | Liquid |
| 纯化方式 | Protein G purification |
| UNIPROT ID | P51114 |
| 储存缓冲液 | PBS with 0.02% sodium azide and 50% glycerol, pH 7.3. |
| 储存条件 | Store at -20°C. Stable for one year after shipment. Aliquoting is unnecessary for -20oC storage. |
背景介绍
Tumour necrosis factor-alpha (TNF-alpha) is a key mediator of inflammation in host defence against infection and in autoimmune disease. Its production is controlled post-transcriptionally by multiple RNA-binding proteins that interact with the TNF-alpha AU-rich element and regulate its expression; Fragile X mental retardation-related protein 1 (FXR1) is one of these. FXR1 (fragile-X-mental retardation-related protein 1) are RNA-binding proteins that have been demonstrated to impact miRNA-mediated, post-transcriptional gene regulation, and required for embryonic and postnatal development of muscle tissue. It can regulate intracellular transport and local translation of certain mRNAs. The FXR1 exists some isoforms with the MW 69 kDa and 60 kDa.
实验方案
| Product Specific Protocols | |
|---|---|
| IF protocol for FXR1 antibody 67813-1-Ig | Download protocol |
| IHC protocol for FXR1 antibody 67813-1-Ig | Download protocol |
| IP protocol for FXR1 antibody 67813-1-Ig | Download protocol |
| WB protocol for FXR1 antibody 67813-1-Ig | Download protocol |
| Standard Protocols | |
|---|---|
| Click here to view our Standard Protocols |
发表文章
| Species | Application | Title |
|---|---|---|
Br J Pharmacol Silibinin, a commonly used therapeutic agent for non-alcohol fatty liver disease, functions through upregulating intestinal expression of fibroblast growth factor 15/19 | ||
Oncol Lett FXR1 promotes proliferation, invasion and migration of hepatocellular carcinoma in vitro and in vivo
|








