验证数据展示
经过测试的应用
| Positive WB detected in | HEK-293 cells, HeLa cells, HepG2 cells, Jurkat cells, K-562 cells, SH-SY5Y cells, mouse brain tissue, rat brain tissue |
| Positive IP detected in | K-562 cells |
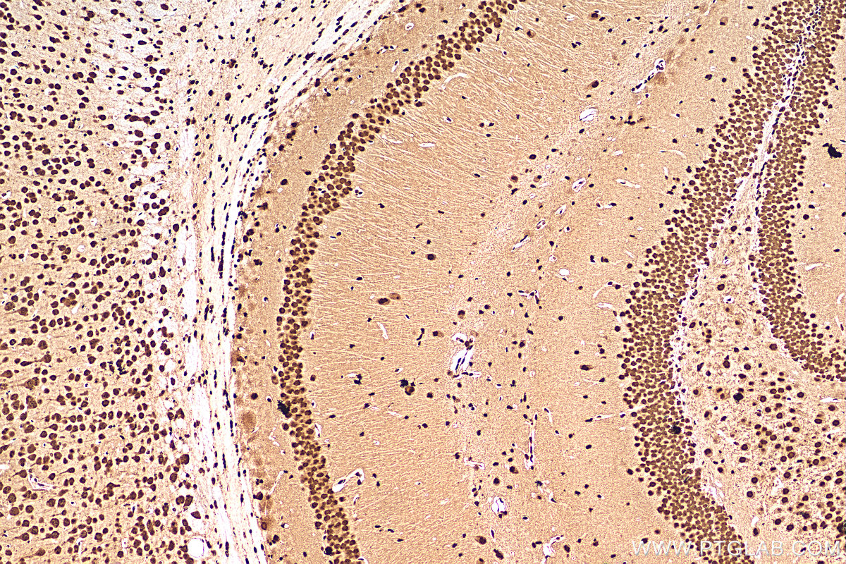
| Positive IHC detected in | rat brain tissue, human breast cancer tissue, human ovary tumor tissue, mouse brain tissue Note: suggested antigen retrieval with TE buffer pH 9.0; (*) Alternatively, antigen retrieval may be performed with citrate buffer pH 6.0 |
| Positive IF-P detected in | mouse colon tissue, mouse liver tissue |
| Positive IF-Fro detected in | rat brain tissue |
| Positive IF/ICC detected in | HepG2 cells, HeLa cells |
推荐稀释比
| 应用 | 推荐稀释比 |
|---|---|
| Western Blot (WB) | WB : 1:5000-1:50000 |
| Immunoprecipitation (IP) | IP : 0.5-4.0 ug for 1.0-3.0 mg of total protein lysate |
| Immunohistochemistry (IHC) | IHC : 1:500-1:2000 |
| Immunofluorescence (IF)-P | IF-P : 1:50-1:500 |
| Immunofluorescence (IF)-FRO | IF-FRO : 1:50-1:500 |
| Immunofluorescence (IF)/ICC | IF/ICC : 1:50-1:500 |
| It is recommended that this reagent should be titrated in each testing system to obtain optimal results. | |
| Sample-dependent, Check data in validation data gallery. | |
产品信息
11570-1-AP targets FUS/TLS in WB, IHC, IF/ICC, IF-P, IF-Fro, IP, CoIP, chIP, RIP, ELISA applications and shows reactivity with human, mouse, rat samples.
| 经测试应用 | WB, IHC, IF/ICC, IF-P, IF-Fro, IP, ELISA Application Description |
| 文献引用应用 | WB, IHC, IF, IP, CoIP, chIP, RIP |
| 经测试反应性 | human, mouse, rat |
| 文献引用反应性 | human, mouse, rat, chicken, yeast |
| 免疫原 |
CatNo: Ag2150 Product name: Recombinant human FUS/TLS protein Source: e coli.-derived, PGEX-4T Tag: GST Domain: 53-400 aa of BC026062 Sequence: SSYSSYGQSQNTGYGTQSTPQGYGSTGGYGSSQSSQSSYGQQSSYPGYGQQPAPSSTSGSYGSSSQSSSYGQPQSGSYSQQPSYGGQQQSYGQQQSYNPPQGYGQQNQYNSSSGGGGGGGGGGNYGQDQSSMSSGGGSGGGYGNQDQSGGGGSGGYGQQDRGGRGRGGSGGGGGGGGGGYNRSSGGYEPRGRGGGRGGRGGMGGSDRGGFNKFGGPRDQGSRHDSEQDNSDNNTIFVQGLGENVTIESVADYFKQIGIIKTNKKTGQPMINLYTDRETGKLKGEATVSFDDPPSAKAAIDWFDGKEFSGNPIKVSFATRRADFNRGGGNGRGGRGRGGPMGRGGYGGG 种属同源性预测 |
| 宿主/亚型 | Rabbit / IgG |
| 抗体类别 | Polyclonal |
| 产品类型 | Antibody |
| 全称 | fusion (involved in t(12;16) in malignant liposarcoma) |
| 别名 | FUS, 75 kDa DNA pairing protein, 75 kDa DNA-pairing protein, ALS, ALS6 |
| 计算分子量 | 75 kDa |
| 观测分子量 | 68-75 kDa |
| GenBank蛋白编号 | BC026062 |
| 基因名称 | FUS/TLS |
| Gene ID (NCBI) | 2521 |
| RRID | AB_2247082 |
| 偶联类型 | Unconjugated |
| 形式 | Liquid |
| 纯化方式 | Antigen affinity purification |
| UNIPROT ID | P35637 |
| 储存缓冲液 | PBS with 0.02% sodium azide and 50% glycerol, pH 7.3. |
| 储存条件 | Store at -20°C. Stable for one year after shipment. Aliquoting is unnecessary for -20oC storage. |
背景介绍
FUS (also named TLS and POMp75) belongs to the RRM TET family. FUS may play a role in the maintenance of genomic integrity; it binds both single-stranded and double-stranded DNA and promotes ATP-independent annealing of complementary single-stranded DNAs and D-loop formation in superhelical double-stranded DNA. FUS is also an RNA-binding protein, and its links to neurodegenerative disease proffer the intriguing possibility that altered RNA metabolism or RNA processing may underlie or contribute to neuron degeneration[PMID: 22640227]. FUS may be a cause of angiomatoid fibrous histiocytoma (AFH) and is implicated in certain forms of amyotrophic lateral sclerosis (ALS) and frontotemporal dementias (FTDs) such as frontotemporal lobar dementia with ubiquitin inclusions (FTLD-U) (PMID: 22640227). This antibody is a rabbit polyclonal antibody raised against an internal region of human FUS. FUS aggregates are composed of different isoforms or fragments of various sizes, rather than only the main isoform. Bands of smaller or larger sizes (35 kDa, 75 kDa, and the gel top bands) were detected in P2h, and bands around 135 kDa and 245 kDa in S2h could be FUS oligomers (PMID: 35289333).
实验方案
| Product Specific Protocols | |
|---|---|
| IF protocol for FUS/TLS antibody 11570-1-AP | Download protocol |
| IHC protocol for FUS/TLS antibody 11570-1-AP | Download protocol |
| IP protocol for FUS/TLS antibody 11570-1-AP | Download protocol |
| WB protocol for FUS/TLS antibody 11570-1-AP | Download protocol |
| Standard Protocols | |
|---|---|
| Click here to view our Standard Protocols |
发表文章
| Species | Application | Title |
|---|---|---|
Lancet Antisense oligonucleotide jacifusen for FUS-ALS: an investigator-initiated, multicentre, open-label case series | ||
Nature Mutations in UBQLN2 cause dominant X-linked juvenile and adult-onset ALS and ALS/dementia. | ||
Nat Med Antisense oligonucleotide silencing of FUS expression as a therapeutic approach in amyotrophic lateral sclerosis. | ||
Cell Nuclear-Import Receptors Reverse Aberrant Phase Transitions of RNA-Binding Proteins with Prion-like Domains. | ||
Cell Metab NEAT1 is essential for metabolic changes that promote breast cancer growth and metastasis. |


















