验证数据展示
经过测试的应用
| Positive WB detected in | Caco-2 cells, PC-3 cells |
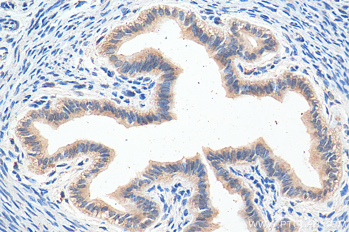
| Positive IHC detected in | mouse ovary tissue Note: suggested antigen retrieval with TE buffer pH 9.0; (*) Alternatively, antigen retrieval may be performed with citrate buffer pH 6.0 |
推荐稀释比
| 应用 | 推荐稀释比 |
|---|---|
| Western Blot (WB) | WB : 1:500-1:1000 |
| Immunohistochemistry (IHC) | IHC : 1:50-1:500 |
| It is recommended that this reagent should be titrated in each testing system to obtain optimal results. | |
| Sample-dependent, Check data in validation data gallery. | |
产品信息
29311-1-AP targets FOXP4 in WB, IHC, ELISA applications and shows reactivity with Human, Mouse samples.
| 经测试应用 | WB, IHC, ELISA Application Description |
| 经测试反应性 | Human, Mouse |
| 免疫原 |
CatNo: Ag29953 Product name: Recombinant human FOXP4 protein Source: e coli.-derived, PGEX-4T Tag: GST Domain: 560-678 aa of BC052803 Sequence: ISGLSYGALNASYQAALAESSFPLLNSPGMLNPGSASSLLPLSHDDVGAPVEPLPSNGSSSPPRLSPPQYSHQVQVKEEPAEAEEDRQPGPPLGAPNPSASGPPEDRDLEEELPGEELS 种属同源性预测 |
| 宿主/亚型 | Rabbit / IgG |
| 抗体类别 | Polyclonal |
| 产品类型 | Antibody |
| 全称 | forkhead box P4 |
| 别名 | FKHLA, FLJ40908, FLJ44184, forkhead box P4, Forkhead box protein P4, FOXP4, hFKHLA |
| 计算分子量 | 678 aa, 73 kDa |
| 观测分子量 | 73 kDa |
| GenBank蛋白编号 | BC052803 |
| 基因名称 | FOXP4 |
| Gene ID (NCBI) | 116113 |
| RRID | AB_2918279 |
| 偶联类型 | Unconjugated |
| 形式 | Liquid |
| 纯化方式 | Antigen affinity purification |
| UNIPROT ID | Q8IVH2 |
| 储存缓冲液 | PBS with 0.02% sodium azide and 50% glycerol, pH 7.3. |
| 储存条件 | Store at -20°C. Aliquoting is unnecessary for -20oC storage. |
背景介绍
FOXP4, also named as FKHLA, belongs to the FOX family. FOXP4 has been implicated in diverse biological processes in tumor initiation and progression. It has been demonstrated that FOXP4 is significantly upregulated in breast cancer, hepatocellular carcinoma and oral squamous cell carcinoma (PMID: 34590150). FOXP4 has 3 isoforms with the molecular mass of 72-73 kDa.
实验方案
| Product Specific Protocols | |
|---|---|
| IHC protocol for FOXP4 antibody 29311-1-AP | Download protocol |
| WB protocol for FOXP4 antibody 29311-1-AP | Download protocol |
| Standard Protocols | |
|---|---|
| Click here to view our Standard Protocols |



