验证数据展示
经过测试的应用
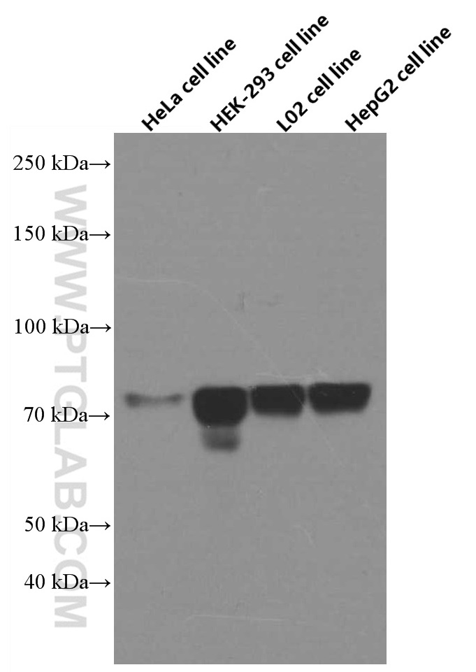
| Positive WB detected in | HeLa cells, HEK-293 cells, HEK293 cells, L02 cells, HepG2 cells | 
推荐稀释比
| 应用 | 推荐稀释比 | 
|---|---|
| Western Blot (WB) | WB : 1:2000-1:20000 | 
| It is recommended that this reagent should be titrated in each testing system to obtain optimal results. | |
| Sample-dependent, Check data in validation data gallery. | |
产品信息
66568-1-Ig targets FOXC1 in WB, ELISA applications and shows reactivity with human samples.
| 经测试应用 | WB, ELISA Application Description | 
| 经测试反应性 | human | 
| 免疫原 | 
                                             Peptide 种属同源性预测 | 
                                    
| 宿主/亚型 | Mouse / IgG1 | 
| 抗体类别 | Monoclonal | 
| 产品类型 | Antibody | 
| 全称 | forkhead box C1 | 
| 别名 | FREAC 3, Forkhead-related transcription factor 3, Forkhead-related protein FKHL7, FKHL7, ARA | 
| 计算分子量 | 57 kDa | 
| 观测分子量 | 70-75 kDa | 
| GenBank蛋白编号 | NM_001453 | 
| 基因名称 | FOXC1 | 
| Gene ID (NCBI) | 2296 | 
| RRID | AB_2881929 | 
| 偶联类型 | Unconjugated | 
| 形式 | Liquid | 
| 纯化方式 | Protein G purification | 
| UNIPROT ID | Q12948 | 
| 储存缓冲液 | PBS with 0.02% sodium azide and 50% glycerol, pH 7.3. | 
| 储存条件 | Store at -20°C. Stable for one year after shipment. Aliquoting is unnecessary for -20oC storage. | 
背景介绍
FOXC1, also named as FKHL7 and FREAC3, binding of FREAC-3 and FREAC-4 to their cognate sites results in bending of the DNA at an angle of 80-90 degrees. Defects in FOXC1 are the cause of Axenfeld-Rieger syndrome type 3 (RIEG3). Defects in FOXC1 are the cause of iridogoniodysgenesis anomaly (IGDA). Defects in FOXC1 are a cause of Peters anomaly.
实验方案
| Product Specific Protocols | |
|---|---|
| WB protocol for FOXC1 antibody 66568-1-Ig | Download protocol | 
| Standard Protocols | |
|---|---|
| Click here to view our Standard Protocols | 

