验证数据展示
经过测试的应用
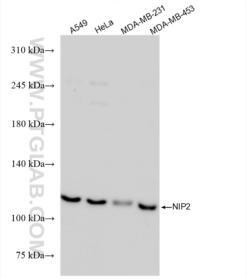
| Positive WB detected in | A549 cells, HeLa cells, MDA-MB-231 cells, MDA-MB-453 cells |
推荐稀释比
| 应用 | 推荐稀释比 |
|---|---|
| Western Blot (WB) | WB : 1:2000-1:10000 |
| It is recommended that this reagent should be titrated in each testing system to obtain optimal results. | |
| Sample-dependent, Check data in validation data gallery. | |
产品信息
84371-2-RR targets FNIP2 in WB, ELISA applications and shows reactivity with human samples.
| 经测试应用 | WB, ELISA Application Description |
| 经测试反应性 | human |
| 免疫原 |
CatNo: Ag35014 Product name: Recombinant human FNIP2 protein Source: e coli.-derived, PGEX-4T Tag: GST Domain: 740-885 aa of BC166693 Sequence: ERVKACGPSLEASEAADVAQDPQVSRSPFKPGFQENVCCPQNRLSEGDEGESDKGFAEDRGSRNDMAADIAGQLSHAADLGTASHGAGGTGGRRLEATRGLYVKAAEGPVLEPVAPRCVQRGPGLVAGANIPCGDDNKKANFRTEG 种属同源性预测 |
| 宿主/亚型 | Rabbit / IgG |
| 抗体类别 | Recombinant |
| 产品类型 | Antibody |
| 全称 | folliculin interacting protein 2 |
| 别名 | KIAA1450, FNIPL, FNIP1 like protein, 241638F2 |
| 观测分子量 | 125 kda |
| GenBank蛋白编号 | BC166693 |
| 基因名称 | FNIP2 |
| Gene ID (NCBI) | 57600 |
| RRID | AB_3671906 |
| 偶联类型 | Unconjugated |
| 形式 | Liquid |
| 纯化方式 | Protein A purification |
| UNIPROT ID | Q9P278 |
| 储存缓冲液 | PBS with 0.02% sodium azide and 50% glycerol, pH 7.3. |
| 储存条件 | Store at -20°C. Stable for one year after shipment. Aliquoting is unnecessary for -20oC storage. |
背景介绍
Folliculin (FLCN)-interacting proteins 1 and 2 (FNIP1, FNIP2) are homologous binding partners of FLCN, a tumor suppressor for kidney cancer. FNIP2 was found to bind to the C terminus of FLCN and to AMPK, like FNIP1. FNIP2 competes with the activating co-chaperone AHSA1 for binding to HSP90AA1, thereby providing a reciprocal regulatory mechanism for chaperoning of client proteins (PMID: 18403135).
实验方案
| Product Specific Protocols | |
|---|---|
| WB protocol for FNIP2 antibody 84371-2-RR | Download protocol |
| Standard Protocols | |
|---|---|
| Click here to view our Standard Protocols |

