验证数据展示
经过测试的应用
| Positive WB detected in | K-562 cells, mouse brain tissue, mouse thymus tissue, Jurkat cells, HeLa cells, HEK-293 cells |
| Positive IP detected in | HeLa cells |
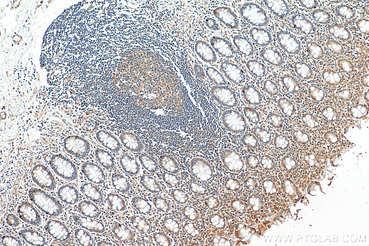
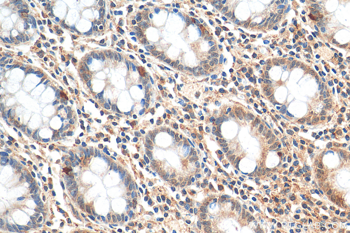
| Positive IHC detected in | human colon tissue, human colon cancer tissue, human gliomas tissue, human liver tissue, mouse brain tissue Note: suggested antigen retrieval with TE buffer pH 9.0; (*) Alternatively, antigen retrieval may be performed with citrate buffer pH 6.0 |
| Positive IF/ICC detected in | HeLa cells, HepG2 cells |
| Positive FC (Intra) detected in | Jurkat cells |
推荐稀释比
| 应用 | 推荐稀释比 |
|---|---|
| Western Blot (WB) | WB : 1:500-1:3000 |
| Immunoprecipitation (IP) | IP : 0.5-4.0 ug for 1.0-3.0 mg of total protein lysate |
| Immunohistochemistry (IHC) | IHC : 1:200-1:800 |
| Immunofluorescence (IF)/ICC | IF/ICC : 1:50-1:500 |
| Flow Cytometry (FC) (INTRA) | FC (INTRA) : 0.40 ug per 10^6 cells in a 100 µl suspension |
| It is recommended that this reagent should be titrated in each testing system to obtain optimal results. | |
| Sample-dependent, Check data in validation data gallery. | |
产品信息
13755-1-AP targets FMR1 in WB, IHC, IF/ICC, FC (Intra), IP, ELISA applications and shows reactivity with human, mouse samples.
| 经测试应用 | WB, IHC, IF/ICC, FC (Intra), IP, ELISA Application Description |
| 文献引用应用 | WB, IHC, IF, IP |
| 经测试反应性 | human, mouse |
| 文献引用反应性 | human, mouse |
| 免疫原 |
CatNo: Ag4697 Product name: Recombinant human FMR1 protein Source: e coli.-derived, PGEX-4T Tag: GST Domain: 1-297 aa of BC038998 Sequence: MEELVVEVRGSNGAFYKAFVKDVHEDSITVAFENNWQPDRQIPFHDVRFPPPVGYNKDINESDEVEVYSRANEKEPCCWWLAKVRMIKGEFYVIEYAACDATYNEIVTIERLRSVNPNKPATKDTFHKIKLDVPEDLRQMCAKEAAHKDFKKAVGAFSVTYDPENYQLVILSINEVTSKRAHMLIDMHFRSLRTKLSLIMRNEEASKQLESSRQLASRFHEQFIVREDLMGLAIGTHGANIQQARKVPGVTAIDLDEDTCTFHIYGEDQDAVKKARSFLEFAEDVIQVPRNLVGLKI 种属同源性预测 |
| 宿主/亚型 | Rabbit / IgG |
| 抗体类别 | Polyclonal |
| 产品类型 | Antibody |
| 全称 | fragile X mental retardation 1 |
| 别名 | FMRP, fragile X mental retardation 1, Fragile X messenger ribonucleoprotein, Fragile X messenger ribonucleoprotein 1, FRAXA |
| 计算分子量 | 632 aa, 71 kDa |
| 观测分子量 | 59-72 kDa |
| GenBank蛋白编号 | BC038998 |
| 基因名称 | FMR1 |
| Gene ID (NCBI) | 2332 |
| RRID | AB_2262872 |
| 偶联类型 | Unconjugated |
| 形式 | Liquid |
| 纯化方式 | Antigen affinity purification |
| UNIPROT ID | Q06787 |
| 储存缓冲液 | PBS with 0.02% sodium azide and 50% glycerol, pH 7.3. |
| 储存条件 | Store at -20°C. Stable for one year after shipment. Aliquoting is unnecessary for -20oC storage. |
背景介绍
The selective RNA-binding protein FMRP forms a messenger ribonucleoprotein complex that associates with polyribosomes, implicating in regulation of translation. FMR1 is a component of the CYFIP1-EIF4E-FMR1 complex which binds to and reperss the mRNA. It also has a role in the transport of mRNA from the nucleus to the cytoplasm. FMR1 exists several isforms and the molecular weight of FMR1 is about 59-72 kDa.
实验方案
| Product Specific Protocols | |
|---|---|
| IF protocol for FMR1 antibody 13755-1-AP | Download protocol |
| IHC protocol for FMR1 antibody 13755-1-AP | Download protocol |
| IP protocol for FMR1 antibody 13755-1-AP | Download protocol |
| WB protocol for FMR1 antibody 13755-1-AP | Download protocol |
| Standard Protocols | |
|---|---|
| Click here to view our Standard Protocols |
发表文章
| Species | Application | Title |
|---|---|---|
Cell Competing Protein-RNA Interaction Networks Control Multiphase Intracellular Organization. | ||
Nat Commun Stalled translation by mitochondrial stress upregulates a CNOT4-ZNF598 ribosomal quality control pathway important for tissue homeostasis | ||
Cell Rep hnRNPA2B1 represses the disassembly of arsenite-induced stress granules and is essential for male fertility | ||
Int Immunopharmacol MNSFβ promotes LPS-induced TNFα expression by increasing the localization of RC3H1 to stress granules, and the interfering peptide HEPN2 reduces TNFα production by disrupting the MNSFβ-RC3H1 interaction in macrophages | ||
Cancer Cell Int MiR-323a-3p acts as a tumor suppressor by suppressing FMR1 and predicts better esophageal squamous cell carcinoma outcome. | ||
Biology (Basel) In Situ Peroxidase Labeling Followed by Mass-Spectrometry Reveals TIA1 Interactome. |























