验证数据展示
经过测试的应用
| Positive WB detected in | mouse kidney tissue, mouse lung tissue |
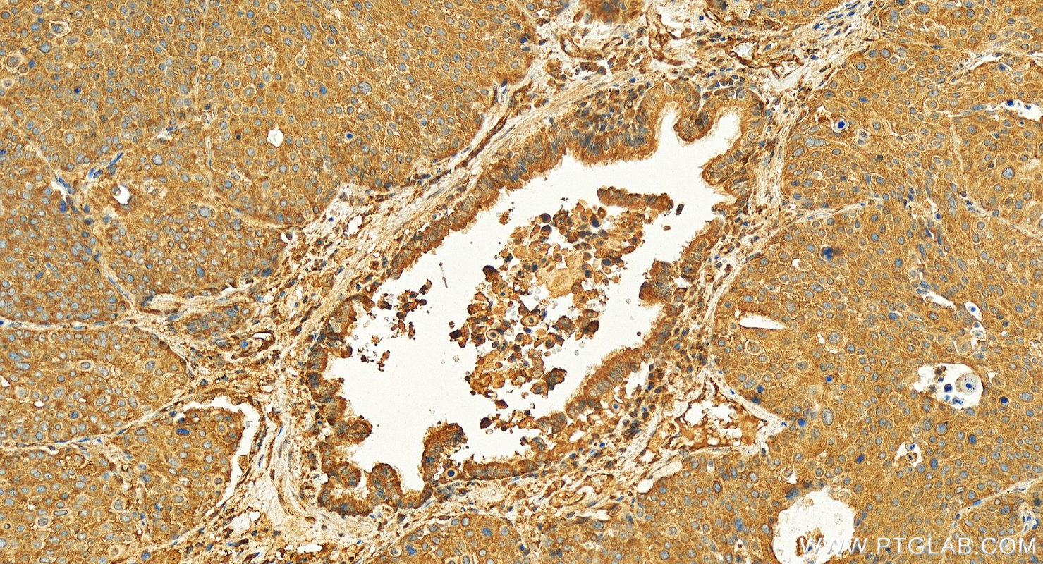
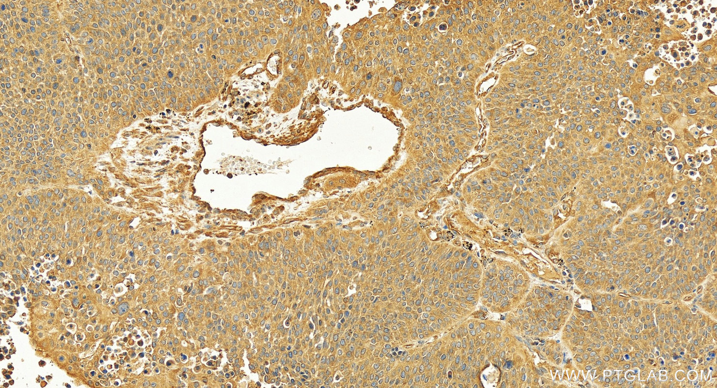
| Positive IHC detected in | human lung squamous cell cancer Note: suggested antigen retrieval with TE buffer pH 9.0; (*) Alternatively, antigen retrieval may be performed with citrate buffer pH 6.0 |
推荐稀释比
| 应用 | 推荐稀释比 |
|---|---|
| Western Blot (WB) | WB : 1:500-1:2000 |
| Immunohistochemistry (IHC) | IHC : 1:50-1:500 |
| It is recommended that this reagent should be titrated in each testing system to obtain optimal results. | |
| Sample-dependent, Check data in validation data gallery. | |
产品信息
16861-1-AP targets FMO2-specific in WB, IHC, ELISA applications and shows reactivity with human, mouse samples.
| 经测试应用 | WB, IHC, ELISA Application Description |
| 经测试反应性 | human, mouse |
| 免疫原 |
Peptide 种属同源性预测 |
| 宿主/亚型 | Rabbit / IgG |
| 抗体类别 | Polyclonal |
| 产品类型 | Antibody |
| 全称 | flavin containing monooxygenase 2 |
| 别名 | FMO2, EC:1.14.13.-, Flavin-containing monooxygenase 2, FMO1B1, Pulmonary flavin-containing monooxygenase 2 |
| 计算分子量 | 54 kDa |
| 观测分子量 | 50-60 kDa |
| GenBank蛋白编号 | NM_001460 |
| 基因名称 | FMO2 |
| Gene ID (NCBI) | 2327 |
| RRID | AB_2105388 |
| 偶联类型 | Unconjugated |
| 形式 | Liquid |
| 纯化方式 | Antigen affinity purification |
| UNIPROT ID | Q99518 |
| 储存缓冲液 | PBS with 0.02% sodium azide and 50% glycerol, pH 7.3. |
| 储存条件 | Store at -20°C. Stable for one year after shipment. Aliquoting is unnecessary for -20oC storage. |
背景介绍
FMO2, belongs to FMO (flavin containing monooxygenase) family, which catalyzes the oxidation of soft nucleophilic heteroatom centers in drugs, pesticides, and xenobiotics. FMO family has 1-5 members, with homologous sequences. This antibody is specially against FMO2. It does not bind other FMOs.
实验方案
| Product Specific Protocols | |
|---|---|
| IHC protocol for FMO2-specific antibody 16861-1-AP | Download protocol |
| WB protocol for FMO2-specific antibody 16861-1-AP | Download protocol |
| Standard Protocols | |
|---|---|
| Click here to view our Standard Protocols |



