验证数据展示
经过测试的应用
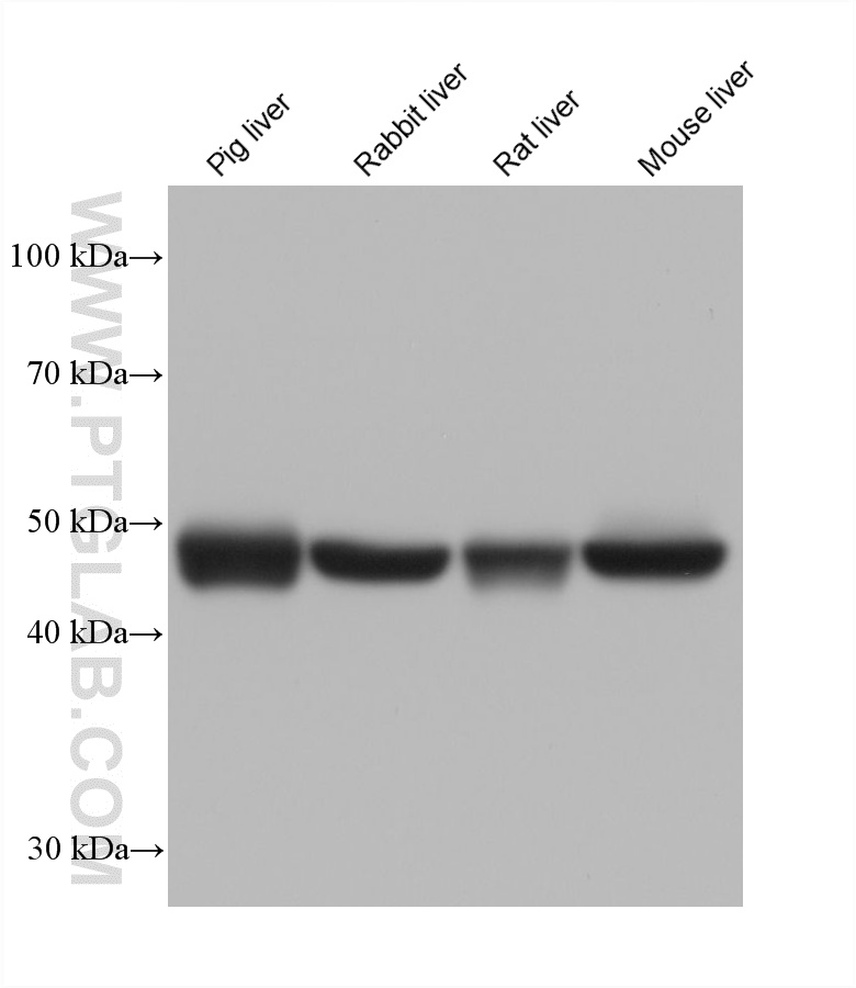
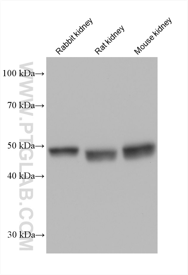
| Positive WB detected in | pig liver tissue, pig kidney tissue, rabbit kidney tissue, Rabbit liver tissue, Rat liver tissue, Mouse liver tissue, Rat kidney tissue, Mouse kidney tissue |
推荐稀释比
| 应用 | 推荐稀释比 |
|---|---|
| Western Blot (WB) | WB : 1:5000-1:50000 |
| It is recommended that this reagent should be titrated in each testing system to obtain optimal results. | |
| Sample-dependent, Check data in validation data gallery. | |
产品信息
61032-3-Ig targets FMO1 in WB, ELISA applications and shows reactivity with human, mouse, rat, pig, rabbit samples.
| 经测试应用 | WB, ELISA Application Description |
| 经测试反应性 | human, mouse, rat, pig, rabbit |
| 免疫原 |
CatNo: Ag34286 Product name: Recombinant human FMO1 protein Source: e coli.-derived, PET28a Tag: 6*His Domain: 100-430 aa of NM_001282692 Sequence: LLKHIQFKTKVCSVTKCSDSAVSGQWEVVTMHEEKQESAIFDAVMVCTGFLTNPYLPLDSFPGINAFKGQYFHSRQYKHPDIFKDKRVLVIGMGNSGTDIAVEASHLAEKVFLSTTGGGWVISRIFDSGYPWDMVFMTRFQNMLRNSLPTPIVTWLMERKINNWLNHANYGLIPEDRTQLKEFVLNDELPGRIITGKVFIRPSIKEVKENSVIFNNTSKEEPIDIIVFATGYTFAFPFLDESVVKVEDGQASLYKYIFPAHLQKPTLAIIGLIKPLGSMIPTGETQARWAVRVLKGVNKLPPPSVMIEEINARKENKPSWFGLCYCKALQS 种属同源性预测 |
| 宿主/亚型 | Mouse / IgG1 |
| 抗体类别 | Monoclonal |
| 产品类型 | Antibody |
| 全称 | flavin containing monooxygenase 1 |
| 别名 | Dimethylaniline monooxygenase [N-oxide-forming] 1, EC:1.14.13.148, Fetal hepatic flavin-containing monooxygenase 1, Flavin-containing monooxygenase 1, Trimethylamine monooxygenase |
| 计算分子量 | 60 kDa |
| 观测分子量 | 50-53 kDa |
| GenBank蛋白编号 | NM_001282692 |
| 基因名称 | FMO1 |
| Gene ID (NCBI) | 2326 |
| 偶联类型 | Unconjugated |
| 形式 | Liquid |
| 纯化方式 | Protein G purification |
| UNIPROT ID | Q01740 |
| 储存缓冲液 | PBS with 0.02% sodium azide and 50% glycerol, pH 7.3. |
| 储存条件 | Store at -20°C. Stable for one year after shipment. Aliquoting is unnecessary for -20oC storage. |
背景介绍
Flavin-containing monooxygenase 1 (FMO1) belongs to the FMO family. FMO1 is an enzyme that catalyzes the oxygenation of a series of sulfur-containing and nitrogen-containing substrates, and thus is involved in a series of drugs and xenobiotics metabolism. FMO1 can regulate PPAR-α and mediate metabolic processes. FMO1 is expressed at relatively high levels in human fetal liver and also represents the major FMO enzyme in the adult human and rabbit intestine and kidney (PMID: 11809920, 30757917, 37553313). Human FMO1 has 2 isoforms with the molecular weights of 53 kDa and 60 kDa.
实验方案
| Product Specific Protocols | |
|---|---|
| WB protocol for FMO1 antibody 61032-3-Ig | Download protocol |
| Standard Protocols | |
|---|---|
| Click here to view our Standard Protocols |


