验证数据展示
经过测试的应用
| Positive WB detected in | human brain tissue |
| Positive IP detected in | mouse brain tissue |
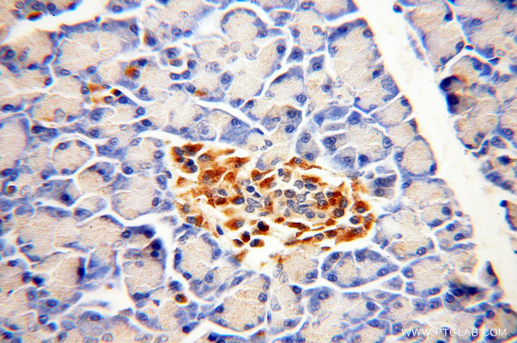
| Positive IHC detected in | human pancreas tissue Note: suggested antigen retrieval with TE buffer pH 9.0; (*) Alternatively, antigen retrieval may be performed with citrate buffer pH 6.0 |
推荐稀释比
| 应用 | 推荐稀释比 |
|---|---|
| Western Blot (WB) | WB : 1:500-1:2000 |
| Immunoprecipitation (IP) | IP : 0.5-4.0 ug for 1.0-3.0 mg of total protein lysate |
| Immunohistochemistry (IHC) | IHC : 1:20-1:200 |
| It is recommended that this reagent should be titrated in each testing system to obtain optimal results. | |
| Sample-dependent, Check data in validation data gallery. | |
发表文章中的应用
| WB | See 1 publications below |
产品信息
18276-1-AP targets Fukutin in WB, IP, IHC, ELISA applications and shows reactivity with human, mouse, rat samples.
| 经测试应用 | WB, IP, IHC, ELISA Application Description |
| 文献引用应用 | WB |
| 经测试反应性 | human, mouse, rat |
| 文献引用反应性 | human |
| 免疫原 |
CatNo: Ag13067 Product name: Recombinant human FKTN protein Source: e coli.-derived, PET28a Tag: 6*His Domain: 35-461 aa of BC101808 Sequence: KNGAGLSKSKGSRIGFDSTQWRAVKKFIMLTSNQNVPVFLIDPLILELINKNFEQVKNTSHGSTSQCKFFCVPRDFTAFALQYHLWKNEEGWFRIAENMGFQCLKIESKDPRLDGIDSLSGTEIPLHYICKLATHAIHLVVFHERSGNYLWHGHLRLKEHIDRKFVPFRKLQFGRYPGAFDRPELQQVTVDGLEVLIPKDPMHFVEEVPHSRFIECRYKEARAFFQQYLDDNTVEAVAFRKSAKELLQLAAKTLNKLGVPFWLSSGTCLGWYRQCNIIPYSKDVDLGIFIQDYKSDIILAFQDAGLPLKHKFGKVEDSLELSFQGKDDVKLDVFFFYEETDHMWNGGTQAKTGKKFKYLFPKFTLCWTEFVDMKVHVPCETLEYIEANYGKTWKIPVKTWDWKRSPPNVQPNGIWPISEWDEVIQLY 种属同源性预测 |
| 宿主/亚型 | Rabbit / IgG |
| 抗体类别 | Polyclonal |
| 产品类型 | Antibody |
| 全称 | fukutin |
| 别名 | CMD1X, FCMD, FKTN, Fukutin, LGMD2M |
| 计算分子量 | 461 aa, 54 kDa |
| 观测分子量 | 60 kDa |
| GenBank蛋白编号 | BC101808 |
| 基因名称 | Fukutin |
| Gene ID (NCBI) | 2218 |
| RRID | AB_2103278 |
| 偶联类型 | Unconjugated |
| 形式 | Liquid |
| 纯化方式 | Antigen affinity purification |
| UNIPROT ID | O75072 |
| 储存缓冲液 | PBS with 0.02% sodium azide and 50% glycerol, pH 7.3. |
| 储存条件 | Store at -20°C. Stable for one year after shipment. Aliquoting is unnecessary for -20oC storage. |
实验方案
| Product Specific Protocols | |
|---|---|
| IHC protocol for Fukutin antibody 18276-1-AP | Download protocol |
| IP protocol for Fukutin antibody 18276-1-AP | Download protocol |
| WB protocol for Fukutin antibody 18276-1-AP | Download protocol |
| Standard Protocols | |
|---|---|
| Click here to view our Standard Protocols |




