验证数据展示
经过测试的应用
| Positive WB detected in | HeLa cells, Jurkat cells, MCF-7 cells, K-562 cells |
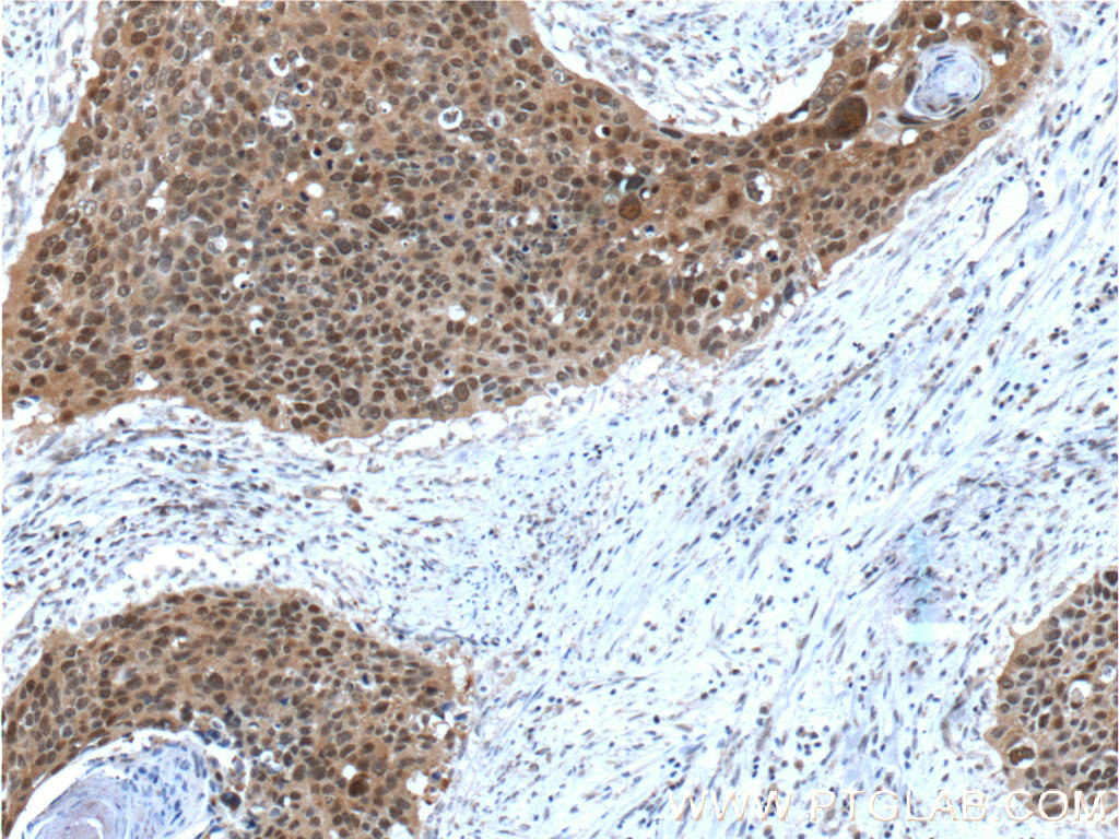
| Positive IHC detected in | human cervical cancer tissue, human colon cancer tissue Note: suggested antigen retrieval with TE buffer pH 9.0; (*) Alternatively, antigen retrieval may be performed with citrate buffer pH 6.0 |
| Positive IF/ICC detected in | HeLa cells |
推荐稀释比
| 应用 | 推荐稀释比 |
|---|---|
| Western Blot (WB) | WB : 1:500-1:1000 |
| Immunohistochemistry (IHC) | IHC : 1:20-1:200 |
| Immunofluorescence (IF)/ICC | IF/ICC : 1:10-1:100 |
| It is recommended that this reagent should be titrated in each testing system to obtain optimal results. | |
| Sample-dependent, Check data in validation data gallery. | |
产品信息
66040-1-Ig targets FKBP52 in WB, IF, IHC, ELISA applications and shows reactivity with human samples.
| 经测试应用 | WB, IF, IHC, ELISA Application Description |
| 经测试反应性 | human |
| 免疫原 |
CatNo: Ag18704 Product name: Recombinant human FKBP52 protein Source: e coli.-derived, PET28a Tag: 6*His Domain: 1-286 aa of BC007924 Sequence: MTAEEMKATESGAQSAPLPMEGVDISPKQDEGVLKVIKREGTGTEMPMIGDRVFVHYTGWLLDGTKFDSSLDRKDKFSFDLGKGEVIKAWDIAIATMKVGEVCHITCKPEYAYGSAGSPPKIPPNATLVFEVELFEFKGEDLTEEEDGGIIRRIQTRGEGYAKPNEGAIVEVALEGYYKDKLFDQRELRFEIGEGENLDLPYGLERAIQRMEKGEHSIVYLKPSYAFGSVGKEKFQIPPNAELKYELHLKSFEKAKESWEMNSEEKLEQSTIVKERGTVYFKEGKY 种属同源性预测 |
| 宿主/亚型 | Mouse / IgG1 |
| 抗体类别 | Monoclonal |
| 产品类型 | Antibody |
| 全称 | FK506 binding protein 4, 59kDa |
| 别名 | 51 kDa FK506 binding protein, 52 kDa FK506 binding protein, 52 kDa FKBP, 59 kDa immunophilin, FK506 binding protein 4, FK506 binding protein 4, 59kDa, FKBP 4, FKBP 52, FKBP4, FKBP51, FKBP52, FKBP59, HBI, HSP binding immunophilin, Hsp56, Immunophilin FKBP52, p52, p59, PPIase, PPIase FKBP4, Rotamase |
| 计算分子量 | 52 kDa |
| 观测分子量 | 52 kDa |
| GenBank蛋白编号 | BC007924 |
| 基因名称 | FKBP52 |
| Gene ID (NCBI) | 2288 |
| 偶联类型 | Unconjugated |
| 形式 | Liquid |
| 纯化方式 | Protein G purification |
| UNIPROT ID | Q02790 |
| 储存缓冲液 | PBS with 0.02% sodium azide and 50% glycerol, pH 7.3. |
| 储存条件 | Store at -20°C. Stable for one year after shipment. Aliquoting is unnecessary for -20oC storage. |
背景介绍
FKBP52 (FK506 binding protein 4) is a member of the immunophilin protein family that comprises intracellular protein effectors of immunosuppressive drugs, and it is known as a steroid receptor-associated protein. As a novel regulator of microtubule dynamics, FKBP52 is associated with the motor protein dynein and with the cytoskeleton during mitosis. FKBP52 is highly expressed in CNS regions susceptible to Alzheimer's, and plays a role in modulating toxicity of Abeta peptides. The protein can associate with the Tau function, and may help to decipher and modulate the events involved in Tau-induced neurodegeneration. In addition, FKBP52 is likely to play a role in growth and development of the male genitalia.
实验方案
| Product Specific Protocols | |
|---|---|
| FC protocol for FKBP52 antibody 66040-1-Ig | Download protocol |
| IF protocol for FKBP52 antibody 66040-1-Ig | Download protocol |
| IHC protocol for FKBP52 antibody 66040-1-Ig | Download protocol |
| WB protocol for FKBP52 antibody 66040-1-Ig | Download protocol |
| Standard Protocols | |
|---|---|
| Click here to view our Standard Protocols |









