验证数据展示
经过测试的应用
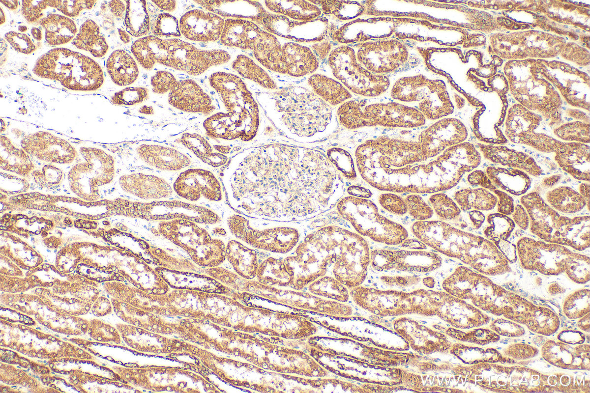
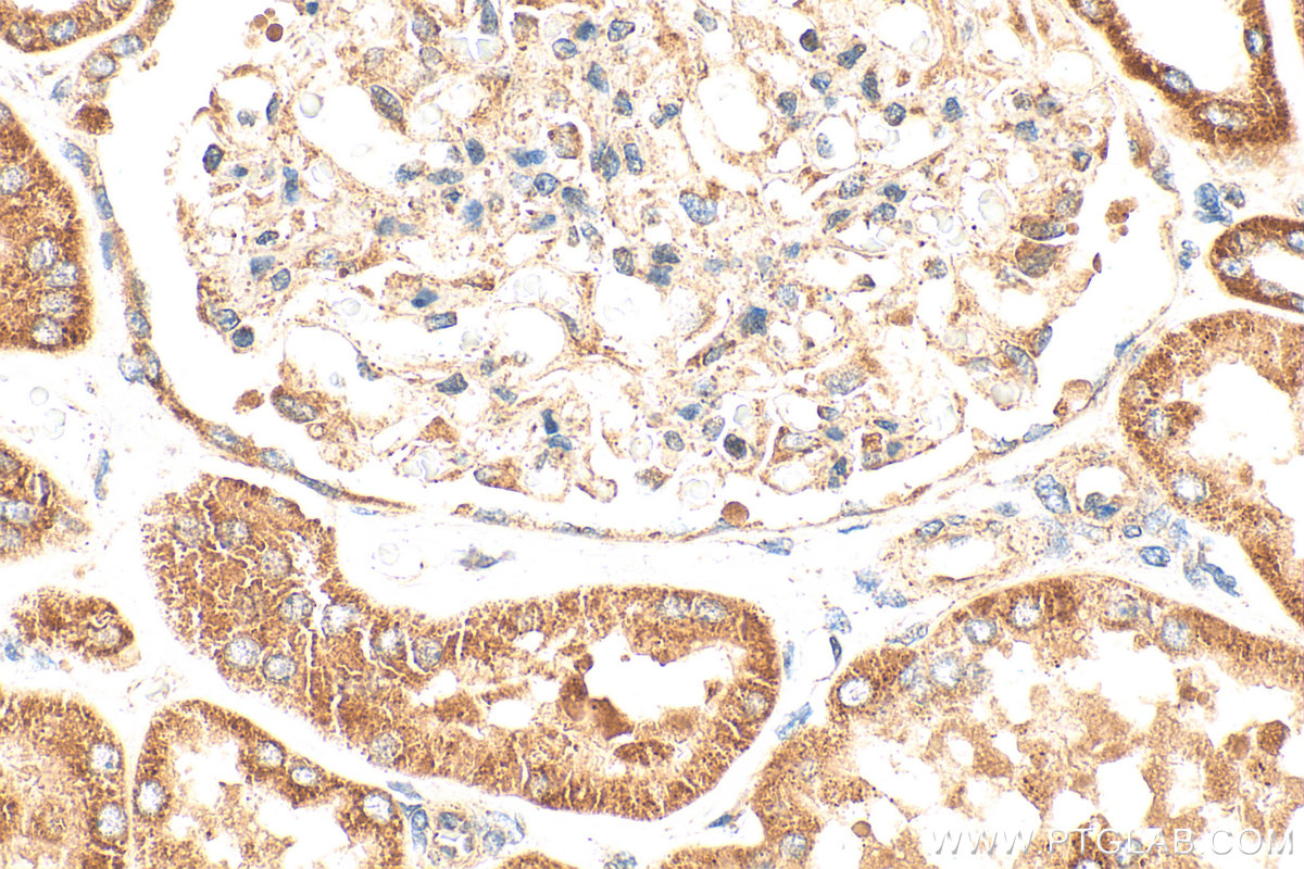
| Positive IHC detected in | human kidney tissue Note: suggested antigen retrieval with TE buffer pH 9.0; (*) Alternatively, antigen retrieval may be performed with citrate buffer pH 6.0 |
推荐稀释比
| 应用 | 推荐稀释比 |
|---|---|
| Immunohistochemistry (IHC) | IHC : 1:50-1:500 |
| It is recommended that this reagent should be titrated in each testing system to obtain optimal results. | |
| Sample-dependent, Check data in validation data gallery. | |
产品信息
11974-1-AP targets FICD in IHC, ELISA applications and shows reactivity with human, mouse, rat samples.
| 经测试应用 | IHC, ELISA Application Description |
| 经测试反应性 | human, mouse, rat |
| 免疫原 |
CatNo: Ag2597 Product name: Recombinant human FICD protein Source: e coli.-derived, PGEX-4T Tag: GST Domain: 159-458 aa of BC001342 Sequence: ADYLYTRALTISPYHEKALVNRDRTLPLVEEIDQRYFSIIDSKVKKVMSIPKGNSALRRVMEETYYHHIYHTVAIEGNTLTLSEIRHILETRYAVPGKSLEEQNEVIGMHAAMKYINTTLVSRIGSVTISDVLEIHRRVLGYVDPVEAGRFRTTQVLVGHHIPPHPQDVEKQMQEFVQWLNSEEAMNLHPVEFAALAHYKLVYIHPFIDGNGRTSRLLMNLILMQAGYPPITIRKEQRSDYYHVLEAANEGDVRPFIRFIAKCTETTLDTLLFATTEYSVALPEAQPNHSGFKETLPVKP 种属同源性预测 |
| 宿主/亚型 | Rabbit / IgG |
| 抗体类别 | Polyclonal |
| 产品类型 | Antibody |
| 全称 | FIC domain containing |
| 别名 | HYPE, EC:2.7.7.108, EC:3.1.4.-, FIC domain-containing protein, HIP 13 |
| 计算分子量 | 458 aa, 52 kDa |
| 观测分子量 | 52 kDa |
| GenBank蛋白编号 | BC001342 |
| 基因名称 | FICD |
| Gene ID (NCBI) | 11153 |
| RRID | AB_2877811 |
| 偶联类型 | Unconjugated |
| 形式 | Liquid |
| 纯化方式 | Antigen affinity purification |
| UNIPROT ID | Q9BVA6 |
| 储存缓冲液 | PBS with 0.02% sodium azide and 50% glycerol, pH 7.3. |
| 储存条件 | Store at -20°C. Stable for one year after shipment. Aliquoting is unnecessary for -20oC storage. |
背景介绍
Adenosine monophosphate-protein transferase FICD, also named as HIP13 or HYPE, is a 458 amino acid protein, which contains one fido domain and two TPR repeats. FICD localizes in the membrane and belongs to the fic family. FICD as an adenylyltransferase that mediates the addition of adenosine 5'-monophosphate (AMP) to specific residues of target proteins. The fido domain mediates the adenylyltransferase activity
实验方案
| Product Specific Protocols | |
|---|---|
| IHC protocol for FICD antibody 11974-1-AP | Download protocol |
| Standard Protocols | |
|---|---|
| Click here to view our Standard Protocols |

