验证数据展示
经过测试的应用
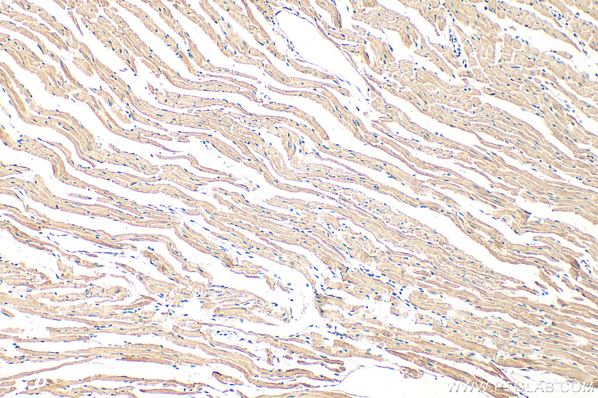
| Positive IHC detected in | mouse heart tissue Note: suggested antigen retrieval with TE buffer pH 9.0; (*) Alternatively, antigen retrieval may be performed with citrate buffer pH 6.0 |
| Positive IF-P detected in | mouse heart tissue |
推荐稀释比
| 应用 | 推荐稀释比 |
|---|---|
| Immunohistochemistry (IHC) | IHC : 1:50-1:500 |
| Immunofluorescence (IF)-P | IF-P : 1:50-1:500 |
| It is recommended that this reagent should be titrated in each testing system to obtain optimal results. | |
| Sample-dependent, Check data in validation data gallery. | |
产品信息
31744-1-AP targets FHOD3 in IHC, IF-P, ELISA applications and shows reactivity with human, mouse samples.
| 经测试应用 | IHC, IF-P, ELISA Application Description |
| 经测试反应性 | human, mouse |
| 免疫原 |
CatNo: Ag36247 Product name: Recombinant human FHOD3 protein Source: e coli.-derived, PET28a Tag: 6*His Domain: 650-825 aa of BC157093 Sequence: RTTGLWPAGVQDAGVNGQCGDILTNKRFMLDMLYAHNRKSPDDEEKGDGEAGRTQQEAEAVASLATRISTLQANSQTQDESVRRVDVGCLDNRGSVKAFAEKFNSGDLGRGSISPDAEPNDKVPETAPVQPKTESDYIWDQLMANPRELRIQDMDFTDLGEEDDIDVLDVDLGHRE 种属同源性预测 |
| 宿主/亚型 | Rabbit / IgG |
| 抗体类别 | Polyclonal |
| 产品类型 | Antibody |
| 全称 | formin homology 2 domain containing 3 |
| 别名 | CMH28, FHOS2, hFHOS2, KIAA1695 |
| GenBank蛋白编号 | BC157093 |
| 基因名称 | FHOD3 |
| Gene ID (NCBI) | 80206 |
| 偶联类型 | Unconjugated |
| 形式 | Liquid |
| 纯化方式 | Antigen affinity Purification |
| UNIPROT ID | Q2V2M9 |
| 储存缓冲液 | PBS with 0.02% sodium azide and 50% glycerol, pH 7.3. |
| 储存条件 | Store at -20°C. Stable for one year after shipment. Aliquoting is unnecessary for -20oC storage. |
背景介绍
FHOD3, also known as FHOS2 or Formactin2, was an important member of Formin homology proteins. FHOD3 plays a crucial role in organizing the cytoskeleton, primarily by regulating actin filament polymerization within cardiomyocytes, which is essential for heart muscle structure and function. Mutations in this gene are associated with familial cardiomyopathies, including dilated cardiomyopathy (DCM), and its protein levels are altered in hypertrophic cardiomyopathy (HCM). FHOD3 is expressed abundantly in the heart (PMID: 32447646, PMID: 33251537).
实验方案
| Product Specific Protocols | |
|---|---|
| IF protocol for FHOD3 antibody 31744-1-AP | Download protocol |
| IHC protocol for FHOD3 antibody 31744-1-AP | Download protocol |
| Standard Protocols | |
|---|---|
| Click here to view our Standard Protocols |



