验证数据展示
经过测试的应用
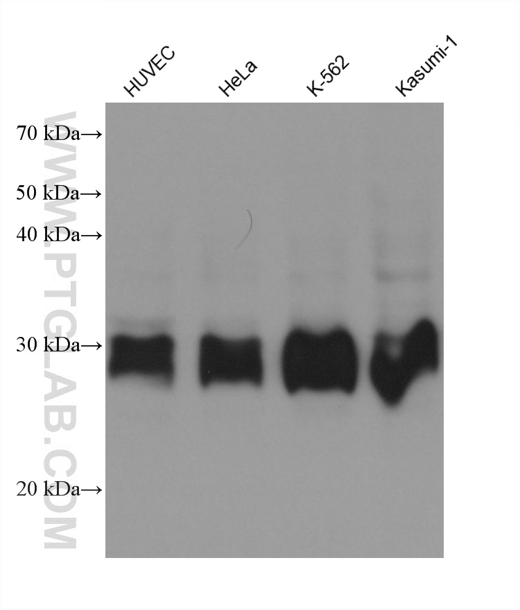
| Positive WB detected in | HUVEC cells, Mo7e cells, pig skeletal muscle tissue, HeLa cells, K-562 cells, Kasumi-1 cells, rat skeletal muscle tissue |
推荐稀释比
| 应用 | 推荐稀释比 |
|---|---|
| Western Blot (WB) | WB : 1:5000-1:50000 |
| It is recommended that this reagent should be titrated in each testing system to obtain optimal results. | |
| Sample-dependent, Check data in validation data gallery. | |
产品信息
60966-4-Ig targets FHL3 in WB, ELISA applications and shows reactivity with human, rat, pig samples.
| 经测试应用 | WB, ELISA Application Description |
| 经测试反应性 | human, rat, pig |
| 免疫原 |
CatNo: Ag1495 Product name: Recombinant human FHL3 protein Source: e coli.-derived, PGEX-4T Tag: GST Domain: 1-280 aa of BC011697 Sequence: MSESFDCAKCNESLYGRKYIQTDSGPYCVPCYDNTFANTCAECQQLIGHDSRELFYEDRHFHEGCFRCCRCQRSLADEPFTCQDSELLCNDCYCSAFSSQCSACGETVMPGSRKLEYGGQTWHEHCFLCSGCEQPLGSRSFVPDKGAHYCVPCYENKFAPRCARCSKTLTQGGVTYRDQPWHRECLVCTGCQTPLAGQQFTSRDEDPYCVACFGELFAPKCSSCKRPIVGLGGGKYVSFEDRHWHHNCFSCARCSTSLVGQGFVPDGDQVLCQGCSQAGP 种属同源性预测 |
| 宿主/亚型 | Mouse / IgG2b |
| 抗体类别 | Monoclonal |
| 产品类型 | Antibody |
| 全称 | four and a half LIM domains 3 |
| 别名 | FHL 3, FHL-3, Four and a half LIM domains protein 3, Skeletal muscle LIM-protein 2, SLIM2 |
| 计算分子量 | 31 kDa |
| 观测分子量 | 30-34 kDa |
| GenBank蛋白编号 | BC011697 |
| 基因名称 | FHL3 |
| Gene ID (NCBI) | 2275 |
| RRID | AB_3743255 |
| 偶联类型 | Unconjugated |
| 形式 | Liquid |
| 纯化方式 | Protein A purification |
| UNIPROT ID | Q13643 |
| 储存缓冲液 | PBS with 0.02% sodium azide and 50% glycerol, pH 7.3. |
| 储存条件 | Store at -20°C. Stable for one year after shipment. Aliquoting is unnecessary for -20oC storage. |
背景介绍
Four and a half LIM domain (FHL) protein 3 is a member of the FHL protein family that has roles in the regulation of signal transduction, survival, cell adhesion, and mobility. It also involves in the development and progression of liver cancer. The FHL proteins have been shown to regulate a variety of transcription factors, including SMAD proteins, β-catenin, SRF, AP-1, NFAT, FOXO1, MyoD, and the androgen receptor. Beside, the FHL proteins may involve in muscle growth and differentiation. Recent research revealed FHL3 was a PCBP2 target, also involved in the growth and induced apoptosis of glioma cell (23585479).
实验方案
| Product Specific Protocols | |
|---|---|
| WB protocol for FHL3 antibody 60966-4-Ig | Download protocol |
| Standard Protocols | |
|---|---|
| Click here to view our Standard Protocols |


