验证数据展示
经过测试的应用
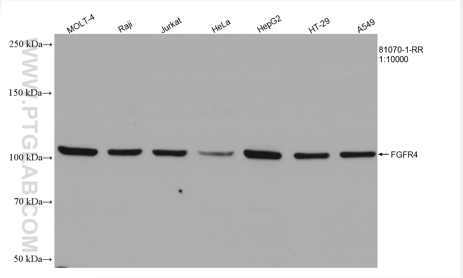
| Positive WB detected in | MOLT-4 cells, Raji cells, Jurkat cells, HeLa cells, HepG2 cells, HT-29 cells, A549 cells |
推荐稀释比
| 应用 | 推荐稀释比 |
|---|---|
| Western Blot (WB) | WB : 1:4000-1:40000 |
| It is recommended that this reagent should be titrated in each testing system to obtain optimal results. | |
| Sample-dependent, Check data in validation data gallery. | |
产品信息
81070-1-RR targets FGFR4 in WB, ELISA applications and shows reactivity with Human samples.
| 经测试应用 | WB, ELISA Application Description |
| 经测试反应性 | Human |
| 免疫原 |
CatNo: Ag31013 Product name: Recombinant human FGFR4 protein Source: e coli.-derived, PET28a Tag: 6*His Domain: 742-802 aa of BC011847 Sequence: ALDKVLLAVSEEYLDLRLTFGPYSPSGGDASSTCSSSDSVFSHDPLPLGSSSFPFGSGVQT 种属同源性预测 |
| 宿主/亚型 | Rabbit / IgG |
| 抗体类别 | Recombinant |
| 产品类型 | Antibody |
| 全称 | fibroblast growth factor receptor 4 |
| 别名 | CD334, FGFR 4, FGFR4, JTK2, TKF |
| 计算分子量 | 88 kDa |
| 观测分子量 | 100-110 kDa |
| GenBank蛋白编号 | BC011847 |
| 基因名称 | FGFR4 |
| Gene ID (NCBI) | 2264 |
| 偶联类型 | Unconjugated |
| 形式 | Liquid |
| 纯化方式 | Protein A purification |
| UNIPROT ID | P22455 |
| 储存缓冲液 | PBS with 0.02% sodium azide and 50% glycerol, pH 7.3. |
| 储存条件 | Store at -20°C. Aliquoting is unnecessary for -20oC storage. |
实验方案
| Product Specific Protocols | |
|---|---|
| WB protocol for FGFR4 antibody 81070-1-RR | Download protocol |
| Standard Protocols | |
|---|---|
| Click here to view our Standard Protocols |
