验证数据展示
经过测试的应用
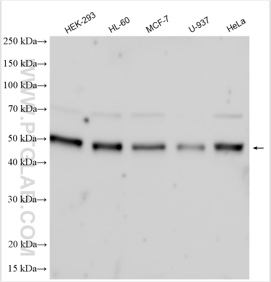
| Positive WB detected in | HEK-293 cells, mouse heart tissue, U-937 cells, HL-60 cells, MCF-7 cells, HeLa cells |
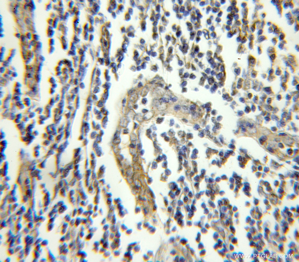
| Positive IHC detected in | human lymphoma tissue Note: suggested antigen retrieval with TE buffer pH 9.0; (*) Alternatively, antigen retrieval may be performed with citrate buffer pH 6.0 |
| Positive IF/ICC detected in | HeLa cells, HEK-293 cells |
推荐稀释比
| 应用 | 推荐稀释比 |
|---|---|
| Western Blot (WB) | WB : 1:5000-1:50000 |
| Immunohistochemistry (IHC) | IHC : 1:20-1:200 |
| Immunofluorescence (IF)/ICC | IF/ICC : 1:50-1:500 |
| It is recommended that this reagent should be titrated in each testing system to obtain optimal results. | |
| Sample-dependent, Check data in validation data gallery. | |
产品信息
11343-1-AP targets FGFR1OP in WB, IHC, IF/ICC, ELISA applications and shows reactivity with human, mouse, rat samples.
| 经测试应用 | WB, IHC, IF/ICC, ELISA Application Description |
| 文献引用应用 | WB, IHC, IF |
| 经测试反应性 | human, mouse, rat |
| 文献引用反应性 | human, mouse, rat, zebrafish |
| 免疫原 |
CatNo: Ag1891 Product name: Recombinant human FGFR1OP protein Source: e coli.-derived, PGEX-4T Tag: GST Domain: 1-374 aa of BC011902 Sequence: MAATAAAVVAEEDTELRDLLVQTLENSGVLNRIKAELRAAVFLALEEQEKVENKTPLVNESLRKFLNTKDGRLVASLVAEFLQFFNLDFTLAVFQPETSTLQGLEGRENLARDLGIIEAEGTVGGPLLLEVIRRCQQKEKGPTTGEGALDLSDVHSPPKSPEGKTSAQTTPSKKANDEANQSDTSVSLSEPKSKSSLHLLSHETKIGSFLSNRTLDGKDKAGLCPDEDDMEGDSFFDDPIPKPEKTYGLRNEPRKQAGSLASLSDAPPLKSGLSSLAGAPSLKDSESKRGNTVLKDLKLISDKIGSLGLGTGEDDDYVDDFNSTSHRSEKSEISIGEEIEEDLSVEIDDINTSDKLDDLTQDLTVSQLSDVADY 种属同源性预测 |
| 宿主/亚型 | Rabbit / IgG |
| 抗体类别 | Polyclonal |
| 产品类型 | Antibody |
| 全称 | FGFR1 oncogene partner |
| 别名 | FOP, FGFR1 oncogene partner, CEP43, Centrosomal protein 43 |
| 计算分子量 | 43 kDa |
| 观测分子量 | 50 kDa |
| GenBank蛋白编号 | BC011902 |
| 基因名称 | FGFR1OP |
| Gene ID (NCBI) | 11116 |
| RRID | AB_2103362 |
| 偶联类型 | Unconjugated |
| 形式 | Liquid |
| 纯化方式 | Antigen affinity purification |
| UNIPROT ID | O95684 |
| 储存缓冲液 | PBS with 0.02% sodium azide and 50% glycerol, pH 7.3. |
| 储存条件 | Store at -20°C. Stable for one year after shipment. Aliquoting is unnecessary for -20oC storage. |
背景介绍
The fibroblast growth factor receptor 1 oncogene partner (FGFR1OP), FOP, is a centrosomal protein that is involved in the anchoring of microtubules to subcellular structures. Three isoforms have been produced by alternative splicing. A chromosomal aberration involving FGFR1OP may be a cause of stem cell myeloproliferative disorder (MPD). MPD is characterized by myeloid hyperplasia, eosinophilia and T-cell or B-cell lymphoblastic lymphoma and progresses to acute myeloid leukemia.
实验方案
| Product Specific Protocols | |
|---|---|
| IF protocol for FGFR1OP antibody 11343-1-AP | Download protocol |
| IHC protocol for FGFR1OP antibody 11343-1-AP | Download protocol |
| WB protocol for FGFR1OP antibody 11343-1-AP | Download protocol |
| Standard Protocols | |
|---|---|
| Click here to view our Standard Protocols |
发表文章
| Species | Application | Title |
|---|---|---|
Nat Commun Microtubule asters anchored by FSD1 control axoneme assembly and ciliogenesis.
| ||
Dev Cell Endoderm development requires centrioles to restrain p53-mediated apoptosis in the absence of ERK activity. | ||
Dev Cell The CEP19-RABL2 GTPase Complex Binds IFT-B to Initiate Intraflagellar Transport at the Ciliary Base. | ||






