验证数据展示
经过测试的应用
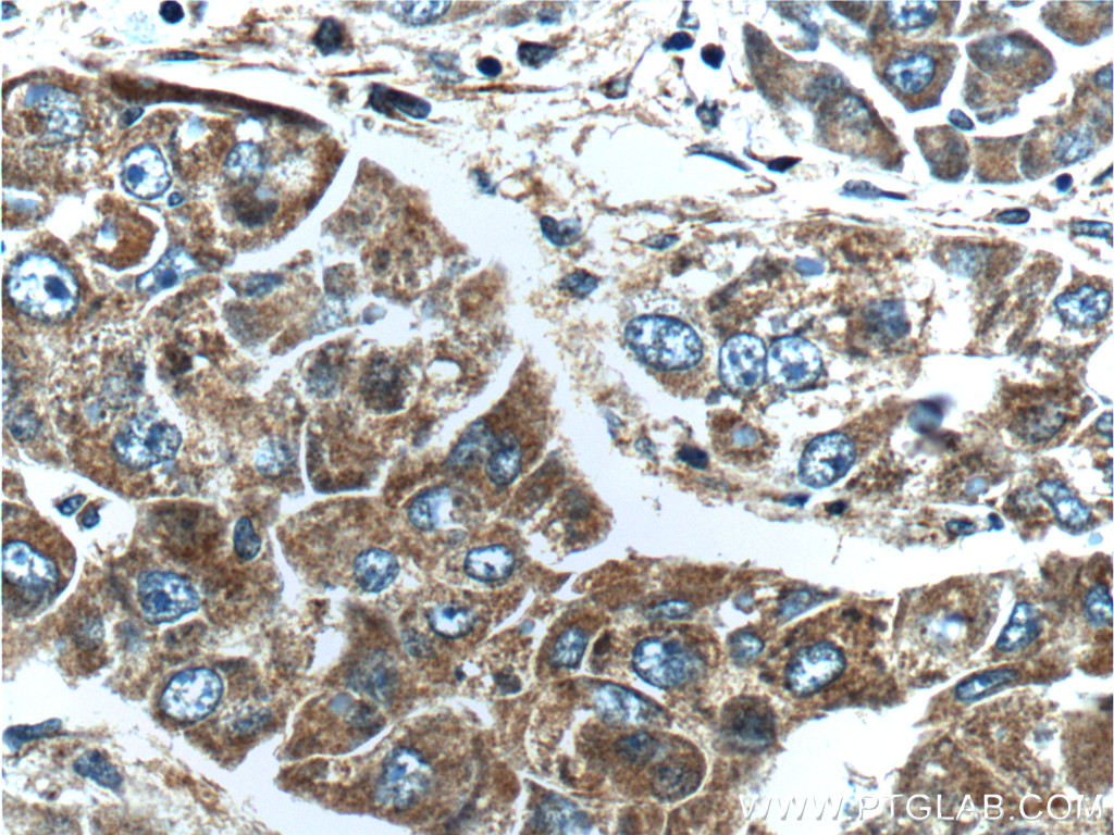
| Positive IHC detected in | mouse cerebellum tissue, human liver cancer tissue, human placenta tissue Note: suggested antigen retrieval with TE buffer pH 9.0; (*) Alternatively, antigen retrieval may be performed with citrate buffer pH 6.0 |
推荐稀释比
| 应用 | 推荐稀释比 |
|---|---|
| Immunohistochemistry (IHC) | IHC : 1:50-1:500 |
| It is recommended that this reagent should be titrated in each testing system to obtain optimal results. | |
| Sample-dependent, Check data in validation data gallery. | |
产品信息
16874-1-AP targets FGF3-Specific in IHC, ELISA applications and shows reactivity with human samples.
| 经测试应用 | IHC, ELISA Application Description |
| 经测试反应性 | human |
| 免疫原 |
Peptide 种属同源性预测 |
| 宿主/亚型 | Rabbit / IgG |
| 抗体类别 | Polyclonal |
| 产品类型 | Antibody |
| 全称 | fibroblast growth factor 3 (murine mammary tumor virus integration site (v-int-2) oncogene homolog) |
| 别名 | FGF3, FGF-3, FGF 3, Fibroblast growth factor 3, HBGF-3 |
| 计算分子量 | 27 kDa |
| GenBank蛋白编号 | NM_005247 |
| 基因名称 | FGF3 |
| Gene ID (NCBI) | 2248 |
| RRID | AB_2878326 |
| 偶联类型 | Unconjugated |
| 形式 | Liquid |
| 纯化方式 | Antigen affinity purification |
| UNIPROT ID | P11487 |
| 储存缓冲液 | PBS with 0.02% sodium azide and 50% glycerol, pH 7.3. |
| 储存条件 | Store at -20°C. Stable for one year after shipment. Aliquoting is unnecessary for -20oC storage. |
背景介绍
FGF3 is a member of the Fibroblast growth factor family, binding to Fibroblast Growth Factor Receptor 3 (FGFR3). Frequent amplification of this gene has been found in human tumors, which may be important for neoplastic transformation and tumor progression. FGF-3 was reported to be responsible for most of breast malignancies. This antibody is specific to FGF-3. It does not bind other FGFs.
实验方案
| Product Specific Protocols | |
|---|---|
| IHC protocol for FGF3-Specific antibody 16874-1-AP | Download protocol |
| Standard Protocols | |
|---|---|
| Click here to view our Standard Protocols |





