验证数据展示
经过测试的应用
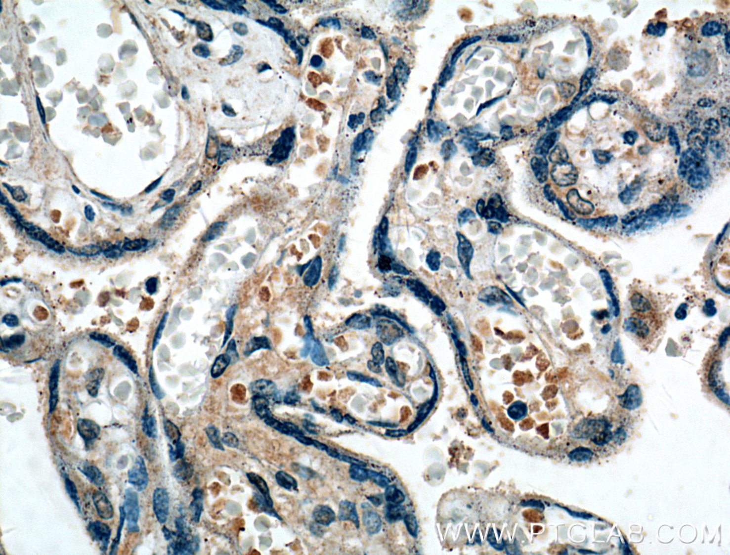
| Positive IHC detected in | human liver cancer tissue,  human placenta tissue Note: suggested antigen retrieval with TE buffer pH 9.0; (*) Alternatively, antigen retrieval may be performed with citrate buffer pH 6.0  | 
推荐稀释比
| 应用 | 推荐稀释比 | 
|---|---|
| Immunohistochemistry (IHC) | IHC : 1:50-1:500 | 
| It is recommended that this reagent should be titrated in each testing system to obtain optimal results. | |
| Sample-dependent, Check data in validation data gallery. | |
产品信息
27100-1-AP targets FGF3 in IHC, ELISA applications and shows reactivity with human samples.
| 经测试应用 | IHC, ELISA Application Description | 
| 经测试反应性 | human | 
| 免疫原 | 
                                             CatNo: Ag25361 Product name: Recombinant human FGF3 protein Source: e coli.-derived, PGEX-4T Tag: GST Domain: 173-239 aa of BC113739 Sequence: QKSSLFLPRVLDHRDHEMVRQLQSGLPRPPGKGVQPRRRRQKQSPDNLEPSHVQASRLGSQLEASAH 种属同源性预测 | 
                                    
| 宿主/亚型 | Rabbit / IgG | 
| 抗体类别 | Polyclonal | 
| 产品类型 | Antibody | 
| 全称 | fibroblast growth factor 3 (murine mammary tumor virus integration site (v-int-2) oncogene homolog) | 
| 别名 | FGF 3, FGF3, Fibroblast growth factor 3, HBGF 3, INT2, Proto oncogene Int 2 | 
| GenBank蛋白编号 | BC113739 | 
| 基因名称 | FGF3 | 
| Gene ID (NCBI) | 2248 | 
| RRID | AB_2880755 | 
| 偶联类型 | Unconjugated | 
| 形式 | Liquid | 
| 纯化方式 | Antigen affinity purification | 
| UNIPROT ID | P11487 | 
| 储存缓冲液 | PBS with 0.02% sodium azide and 50% glycerol, pH 7.3. | 
| 储存条件 | Store at -20°C. Stable for one year after shipment. Aliquoting is unnecessary for -20oC storage. | 
背景介绍
Fibroblast growth factor 3 (FGF3), belonging to the family of fibroblast growth factors (FGFs), It regulates several developmental processes, including brain patterning, branching morphogenesis and limb development, by binding, dimerizing and activating cell surface FGF receptors (FGFRs). It is required for normal ear development.
实验方案
| Product Specific Protocols | |
|---|---|
| IHC protocol for FGF3 antibody 27100-1-AP | Download protocol | 
| Standard Protocols | |
|---|---|
| Click here to view our Standard Protocols | 



