验证数据展示
经过测试的应用
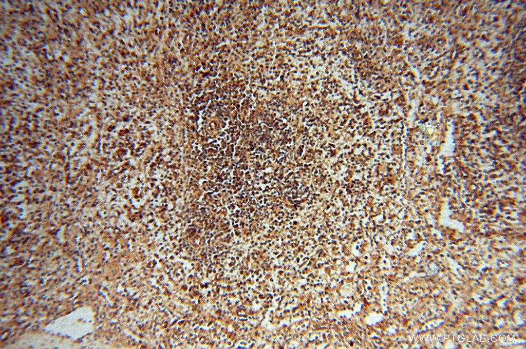
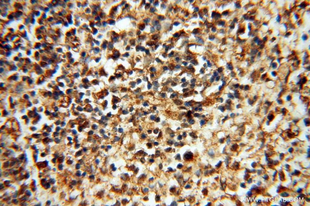
| Positive IHC detected in | human heart tissue,  human kidney tissue,  human lung tissue,  human placenta tissue,  human spleen tissue Note: suggested antigen retrieval with TE buffer pH 9.0; (*) Alternatively, antigen retrieval may be performed with citrate buffer pH 6.0  | 
推荐稀释比
| 应用 | 推荐稀释比 | 
|---|---|
| Immunohistochemistry (IHC) | IHC : 1:20-1:200 | 
| It is recommended that this reagent should be titrated in each testing system to obtain optimal results. | |
| Sample-dependent, Check data in validation data gallery. | |
产品信息
16876-1-AP targets FGF16-Specific in IHC, ELISA applications and shows reactivity with human samples.
| 经测试应用 | IHC, ELISA Application Description | 
| 经测试反应性 | human | 
| 免疫原 | 
                                             Peptide 种属同源性预测 | 
                                    
| 宿主/亚型 | Rabbit / IgG | 
| 抗体类别 | Polyclonal | 
| 产品类型 | Antibody | 
| 全称 | fibroblast growth factor 16 | 
| 别名 | FGF 16, FGF16, fibroblast growth factor 16 | 
| 计算分子量 | 24 kDa | 
| GenBank蛋白编号 | NM_003868 | 
| 基因名称 | FGF16 | 
| Gene ID (NCBI) | 8823 | 
| RRID | AB_2104073 | 
| 偶联类型 | Unconjugated | 
| 形式 | Liquid | 
| 纯化方式 | Antigen affinity purification | 
| UNIPROT ID | O43320 | 
| 储存缓冲液 | PBS with 0.02% sodium azide and 50% glycerol, pH 7.3. | 
| 储存条件 | Store at -20°C. Stable for one year after shipment. Aliquoting is unnecessary for -20oC storage. | 
背景介绍
FGF16 is a member of the fibroblast growth factor (FGF) family. Fibroblast growth factor (Fgf) signaling plays important roles in development and metabolism. FFGF16 is predominantly expressed in the heart. It plays an important role in the regulation of embryonic development, cell proliferation and cell differentiation, and is required for normal cardiomyocyte proliferation and heart development. This antibody is specific to FGF16.
实验方案
| Product Specific Protocols | |
|---|---|
| IHC protocol for FGF16-Specific antibody 16876-1-AP | Download protocol | 
| Standard Protocols | |
|---|---|
| Click here to view our Standard Protocols | 











