验证数据展示
经过测试的应用
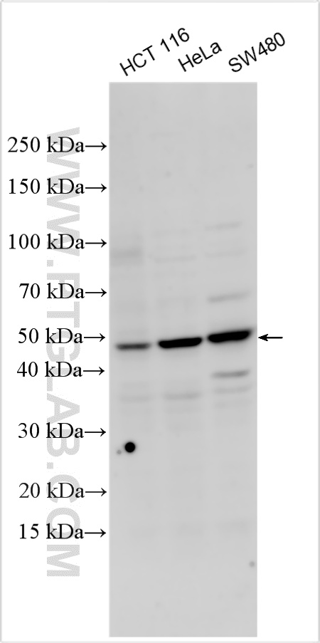
| Positive WB detected in | THP-1 cells, HCT 116 cells, pig liver tissue, SW 480 cells, HeLa cells | 
| Positive IHC detected in | human spleen tissue,  human colon tissue Note: suggested antigen retrieval with TE buffer pH 9.0; (*) Alternatively, antigen retrieval may be performed with citrate buffer pH 6.0 | 
推荐稀释比
| 应用 | 推荐稀释比 | 
|---|---|
| Western Blot (WB) | WB : 1:500-1:1000 | 
| Immunohistochemistry (IHC) | IHC : 1:50-1:500 | 
| It is recommended that this reagent should be titrated in each testing system to obtain optimal results. | |
| Sample-dependent, Check data in validation data gallery. | |
产品信息
19952-1-AP targets FFAR2 in WB, IHC, IF, IP, ELISA applications and shows reactivity with human, pig samples.
| 经测试应用 | WB, IHC, ELISA Application Description | 
| 文献引用应用 | WB, IHC, IF, IP | 
| 经测试反应性 | human, pig | 
| 文献引用反应性 | human, mouse, rat, pig | 
| 免疫原 | Peptide种属同源性预测 | 
| 宿主/亚型 | Rabbit / IgG | 
| 抗体类别 | Polyclonal | 
| 产品类型 | Antibody | 
| 全称 | free fatty acid receptor 2 | 
| 别名 | FFA2, FFA2R, free fatty acid receptor 2, G protein coupled receptor 43, GPCR43 | 
| 计算分子量 | 37 kDa | 
| 观测分子量 | 50 kDa, 37 kDa | 
| GenBank蛋白编号 | NM_005306 | 
| 基因名称 | FFAR2 | 
| Gene ID (NCBI) | 2867 | 
| RRID | AB_2878628 | 
| 偶联类型 | Unconjugated | 
| 形式 | Liquid | 
| 纯化方式 | Antigen affinity purification | 
| UNIPROT ID | O15552 | 
| 储存缓冲液 | PBS with 0.02% sodium azide and 50% glycerol, pH 7.3. | 
| 储存条件 | Store at -20°C. Stable for one year after shipment. Aliquoting is unnecessary for -20oC storage. | 
背景介绍
Free fatty acid receptors (FFAR) play significant roles in various physiological processes through interaction with their ligands, fatty acids. Free fatty acid receptor 2 (FFAR2, also known as FFA2 or GPR43) is a receptor for short-chain fatty acids (SCFAs) and plays a role in the regulation of whole-body energy homeostasis and intestinal immunity (PMID: 12684041). It has been considered a therapeutic target for metabolic and inflammatory conditions (PMID: 23589301). FFAR2 has a calculated molecular weight of 37 kDa and can be glycosylated. The higher apparent molecular weight of 50 kDa has been reported, probably due to glycosylation (PMID: 31707282; 28131568).
实验方案
| Product Specific Protocols | |
|---|---|
| IHC protocol for FFAR2 antibody 19952-1-AP | Download protocol | 
| WB protocol for FFAR2 antibody 19952-1-AP | Download protocol | 
| Standard Protocols | |
|---|---|
| Click here to view our Standard Protocols | 
发表文章
| Species | Application | Title | 
|---|---|---|
| Food Chem X Dendrobium officinale leaf polysaccharides ameliorated hyperglycemia and promoted gut bacterial associated SCFAs to alleviate type 2 diabetes in adult mice. | ||
| Chin Med The relationship between gut microbiota and susceptibility to type 2 diabetes mellitus in rats | ||
| Chin Med Shaoyao Decoction reduced T lymphocyte activation by regulating of intestinal flora and 5-hydroxytryptamine metabolism in ulcerative colitis | ||
| Pharmaceuticals (Basel) Xiao Cheng Qi Decoction, an Ancient Chinese Herbal Mixture, Relieves Loperamide-Induced Slow-Transit Constipation in Mice: An Action Mediated by Gut Microbiota | ||
| Phytomedicine The beneficial effects of Polygonatum sibiricum Red. superfine powder on metabolic hypertensive rats via gut-derived LPS/TLR4 pathway inhibition | ||
| Food Funct EPA and DHA differentially coordinate the crosstalk between host and gut microbiota and block DSS-induced colitis in mice by a reinforced colonic mucus barrier. | 







