验证数据展示
经过测试的应用
| Positive WB detected in | A549 cells, HEK-293 cells, HepG2 cells, PC-3 cells, mouse testis tissue |
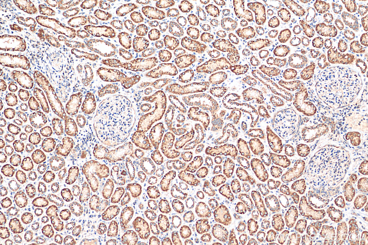
| Positive IHC detected in | human kidney tissue, human liver tissue, human ovary tumor tissue Note: suggested antigen retrieval with TE buffer pH 9.0; (*) Alternatively, antigen retrieval may be performed with citrate buffer pH 6.0 |
| Positive IF/ICC detected in | HepG2 cells |
推荐稀释比
| 应用 | 推荐稀释比 |
|---|---|
| Western Blot (WB) | WB : 1:1000-1:4000 |
| Immunohistochemistry (IHC) | IHC : 1:50-1:500 |
| Immunofluorescence (IF)/ICC | IF/ICC : 1:200-1:800 |
| It is recommended that this reagent should be titrated in each testing system to obtain optimal results. | |
| Sample-dependent, Check data in validation data gallery. | |
产品信息
12592-1-AP targets FDX1 in WB, IHC, IF/ICC, IP, CoIP, ELISA applications and shows reactivity with human, mouse samples.
| 经测试应用 | WB, IHC, IF/ICC, ELISA Application Description |
| 文献引用应用 | WB, IHC, IF, IP, CoIP |
| 经测试反应性 | human, mouse |
| 文献引用反应性 | human, mouse, rat, sheep |
| 免疫原 |
CatNo: Ag3301 Product name: Recombinant human FDX1 protein Source: e coli.-derived, PGEX-4T Tag: GST Domain: 1-184 aa of BC017063 Sequence: MAAAGGARLLRAASAVLGGPAGRWLHHAGSRAGSSGLLRNRGPGGSAEASRSLSVSARARSSSEDKITVHFINRDGETLTTKGKVGDSLLDVVVENNLDIDGFGACEGTLACSTCHLIFEDHIYEKLDAITDEENDMLDLAYGLTDRSRLGCQICLTKSMDNMTVRVPETVADARQSIDVGKTS 种属同源性预测 |
| 宿主/亚型 | Rabbit / IgG |
| 抗体类别 | Polyclonal |
| 产品类型 | Antibody |
| 全称 | ferredoxin 1 |
| 别名 | ADX, FDX, Ferredoxin-1 |
| 计算分子量 | 184 aa, 19 kDa |
| 观测分子量 | 14 kDa |
| GenBank蛋白编号 | BC017063 |
| 基因名称 | FDX1 |
| Gene ID (NCBI) | 2230 |
| RRID | AB_11182486 |
| 偶联类型 | Unconjugated |
| 形式 | Liquid |
| 纯化方式 | Antigen affinity purification |
| UNIPROT ID | P10109 |
| 储存缓冲液 | PBS with 0.02% sodium azide and 50% glycerol, pH 7.3. |
| 储存条件 | Store at -20°C. Stable for one year after shipment. Aliquoting is unnecessary for -20oC storage. |
背景介绍
FDX1(Ferredoxin-1) is also named as ADX, FDX, YAH1, LOH11CR1D and belongs to the adrenodoxin/putidaredoxin family. It is a small iron-sulfur protein that transfers electrons from NADPH through ferredoxin reductase to a terminal cytochrome P450 and it can only reduce mitochondrial CYP enzymes that are essential in adrenal steroidogenesis, bile acid formation, and vitamin D synthesis. The full length has a transit peptide of 60 amino acids.
实验方案
| Product Specific Protocols | |
|---|---|
| IF protocol for FDX1 antibody 12592-1-AP | Download protocol |
| IHC protocol for FDX1 antibody 12592-1-AP | Download protocol |
| WB protocol for FDX1 antibody 12592-1-AP | Download protocol |
| Standard Protocols | |
|---|---|
| Click here to view our Standard Protocols |
发表文章
| Species | Application | Title |
|---|---|---|
Mol Cell p53 induces circFRMD4A to suppress cancer development through glycolytic reprogramming and cuproptosis | ||
Mol Cell Maintaining Iron Homeostasis Is the Key Role of Lysosomal Acidity for Cell Proliferation. | ||
Adv Sci (Weinh) High-Efficiency Carriers' Separation Strategy Based Ultrasmall-Bandgap CuWO4 Sono-Enhances GSH Antagonism for Cuproptosis Cascade Immunotherapy | ||
Nat Chem Biol Mitochondrial metabolism promotes adaptation to proteotoxic stress.
| ||
J Immunother Cancer C5a/C5aR pathway blocking promoted CuS-mediated cancer therapy effect by inhibiting cuproptosis resistance |










