验证数据展示
经过测试的应用
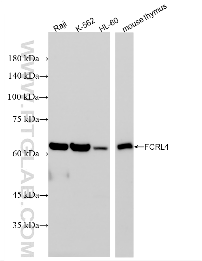
| Positive WB detected in | Raji cells, K-562 cells, HL-60 cells, mouse thymus tissue |
推荐稀释比
| 应用 | 推荐稀释比 |
|---|---|
| Western Blot (WB) | WB : 1:1000-1:4000 |
| It is recommended that this reagent should be titrated in each testing system to obtain optimal results. | |
| Sample-dependent, Check data in validation data gallery. | |
产品信息
86941-1-RR targets FCRL4 in WB, ELISA applications and shows reactivity with human, mouse samples.
| 经测试应用 | WB, ELISA Application Description |
| 经测试反应性 | human, mouse |
| 免疫原 |
CatNo: Eg4749 Product name: recombinant human FCRL4 protein Source: mammalian cells-derived, pHZ-KIsec-C-rFc Tag: C-rFc Domain: 190-384 aa of NM_031282.2 Sequence: FPHPELKATDSQPTEGNSVNLSCETQLPPERSDTPLHFNFFRDGEVILSDWSTYPELQLPTVWRENSGSYWCGAETVRGNIHKHSPSLQIHVQRIPVSGVLLETQPSGGQAVEGEMLVLVCSVAEGTGDTTFSWHREDMQESLGRKTQRSLRAELELPAIRQSHAGGYYCTADNSYGPVQSMVLNVTVRETPGNR 种属同源性预测 |
| 宿主/亚型 | Rabbit / IgG |
| 抗体类别 | Recombinant |
| 产品类型 | Antibody |
| 全称 | Fc receptor-like 4 |
| 别名 | CD307d, Fc receptor homolog 4, Fc receptor-like protein 4, FcRH4, FcR-like protein 4 |
| 计算分子量 | 57 kDa |
| 观测分子量 | 60 kDa |
| GenBank蛋白编号 | NM_031282.2 |
| 基因名称 | FCRL4 |
| Gene ID (NCBI) | 83417 |
| RRID | AB_3745222 |
| 偶联类型 | Unconjugated |
| 形式 | Liquid |
| 纯化方式 | Protein A purification |
| UNIPROT ID | Q96PJ5-1 |
| 储存缓冲液 | PBS with 0.02% sodium azide and 50% glycerol, pH 7.3. |
| 储存条件 | Store at -20°C. Stable for one year after shipment. Aliquoting is unnecessary for -20oC storage. |
背景介绍
Fc receptor-like (FCRL) 4 is an immunoregulatory receptor expressed on a subpopulation of human memory B cells of mucosa-associated lymphoid tissue. Fc receptor function of FCRL4 was demonstrated by binding of IgA to FCRL4 following heat aggregation of the Ig (PMID: 32513851).
实验方案
| Product Specific Protocols | |
|---|---|
| WB protocol for FCRL4 antibody 86941-1-RR | Download protocol |
| Standard Protocols | |
|---|---|
| Click here to view our Standard Protocols |

