验证数据展示
经过测试的应用
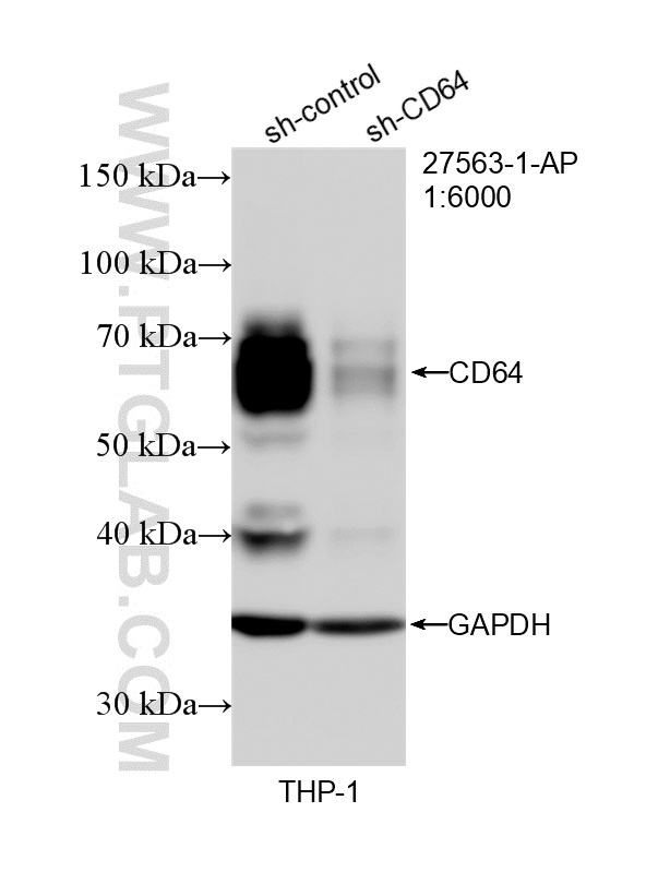
| Positive WB detected in | THP-1 cells, HL-60 cells, U-937 cells |
| Positive IF/ICC detected in | THP-1 cells |
推荐稀释比
| 应用 | 推荐稀释比 |
|---|---|
| Western Blot (WB) | WB : 1:1000-1:4000 |
| Immunofluorescence (IF)/ICC | IF/ICC : 1:50-1:500 |
| It is recommended that this reagent should be titrated in each testing system to obtain optimal results. | |
| Sample-dependent, Check data in validation data gallery. | |
发表文章中的应用
| WB | See 1 publications below |
产品信息
27563-1-AP targets CD64 in WB, IF/ICC, ELISA applications and shows reactivity with human samples.
| 经测试应用 | WB, IF/ICC, ELISA Application Description |
| 文献引用应用 | WB |
| 经测试反应性 | human |
| 文献引用反应性 | human |
| 免疫原 |
CatNo: Ag26727 Product name: Recombinant human FCGR1A protein Source: e coli.-derived, PGEX-4T Tag: GST Domain: 311-374 aa of BC032634 Sequence: VTIRKELKRKKKWDLEISLDSGHEKKVISSLQEDRHLEEELKCQEQKEEQLQEGVHRKEPQGAT 种属同源性预测 |
| 宿主/亚型 | Rabbit / IgG |
| 抗体类别 | Polyclonal |
| 产品类型 | Antibody |
| 全称 | Fc fragment of IgG, high affinity Ia, receptor (CD64) |
| 别名 | CD64A, Fc gamma RI, Fc gamma RIA, FCG1, Fc-gamma RI |
| 计算分子量 | 374 aa, 43 kDa |
| 观测分子量 | 65-70 kDa, 43-45 kDa |
| GenBank蛋白编号 | BC032634 |
| 基因名称 | FCGR1A |
| Gene ID (NCBI) | 2209 |
| ENSEMBL Gene ID | ENSG00000150337 |
| RRID | AB_2880909 |
| 偶联类型 | Unconjugated |
| 形式 | Liquid |
| 纯化方式 | Antigen affinity purification |
| UNIPROT ID | P12314 |
| 储存缓冲液 | PBS with 0.02% sodium azide and 50% glycerol, pH 7.3. |
| 储存条件 | Store at -20°C. Stable for one year after shipment. Aliquoting is unnecessary for -20oC storage. |
背景介绍
Fcγ receptor comprise a multigene family of integral membrane glycoproteins that exhibit complex activation or inhibitory effects on cell functions after aggregation by complexed immunoglobulin G (IgG) (PMID: 17005690 ). CD64, also known as FcγRIA, is a high affinity receptor for the Fc region of IgG. It is expressed by monocytes/macrophages, activated neutrophils, dendritic cells, and early myeloid cells (PMID: 23293080; 19642859; 7680917). CD64 functions in both innate and adaptive immune responses. The calculated molecular weight of CD64 is 43 kDa, while the glycosylated CD64 has a higher apparent molecular weight.
实验方案
| Product Specific Protocols | |
|---|---|
| IF protocol for CD64 antibody 27563-1-AP | Download protocol |
| WB protocol for CD64 antibody 27563-1-AP | Download protocol |
| Standard Protocols | |
|---|---|
| Click here to view our Standard Protocols |




