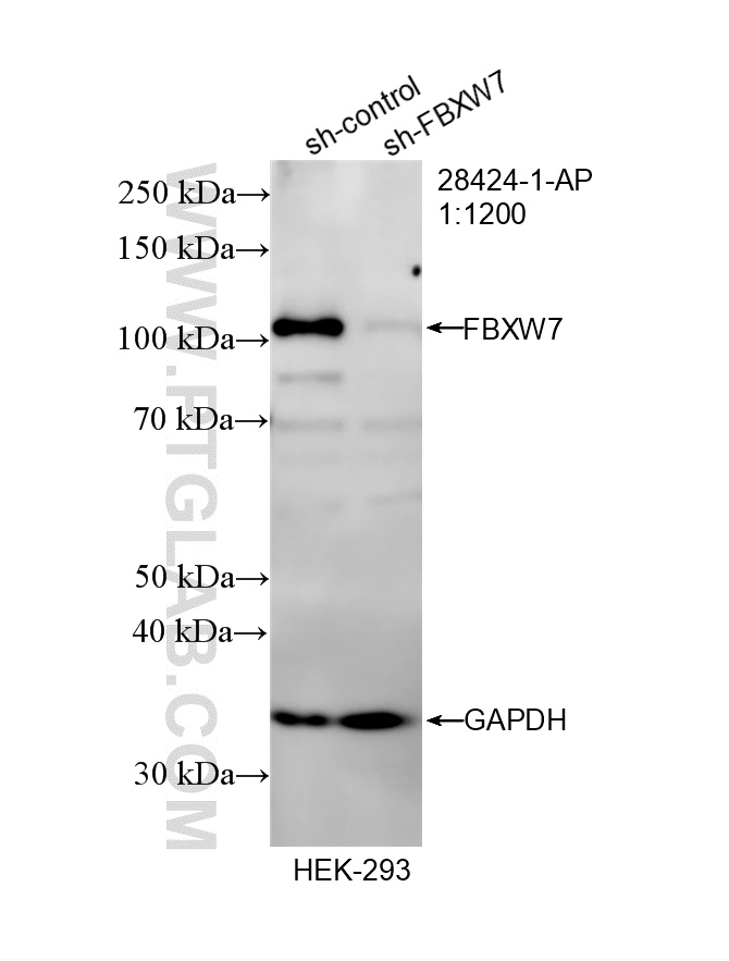
验证数据展示
经过测试的应用
| Positive WB detected in | HEK-293 cells, HepG2 cells, MCF-7 cells, mouse brain tissue |
| Positive IP detected in | HEK-293 cells |
| Positive IHC detected in | human lung cancer tissue, human breast cancer tissue Note: suggested antigen retrieval with TE buffer pH 9.0; (*) Alternatively, antigen retrieval may be performed with citrate buffer pH 6.0 |
推荐稀释比
| 应用 | 推荐稀释比 |
|---|---|
| Western Blot (WB) | WB : 1:500-1:2000 |
| Immunoprecipitation (IP) | IP : 0.5-4.0 ug for 1.0-3.0 mg of total protein lysate |
| Immunohistochemistry (IHC) | IHC : 1:50-1:500 |
| It is recommended that this reagent should be titrated in each testing system to obtain optimal results. | |
| Sample-dependent, Check data in validation data gallery. | |
产品信息
28424-1-AP targets FBXW7 in WB, IHC, IF, IP, CoIP, ELISA applications and shows reactivity with human, mouse samples.
| 经测试应用 | WB, IHC, IP, ELISA Application Description |
| 文献引用应用 | WB, IHC, IF, IP, CoIP |
| 经测试反应性 | human, mouse |
| 文献引用反应性 | human, mouse, rat |
| 免疫原 |
CatNo: Ag28471 Product name: Recombinant human FBXW7 protein Source: e coli.-derived, PET28a Tag: 6*His Domain: 1-227 aa of NM_001349798 Sequence: MNQELLSVGSKRRRTGGSLRGNPSSSQVDEEQMNRVVEEEQQQQLRQQEEEHTARNGEVVGVEPRPGGQNDSQQGQLEENNNRFISVDEDSSGNQEEQEEDEEHAGEQDEEDEEEEEMDQESDDFDQSDDSSREDEHTHTNSVTNSSSIVDLPVHQLSSPFYTKTTKMKRKLDHGSEVRSFSLGKKPCKVSEYTSTTGLVPCSATPTTFGDLRAANGQGQQRRRITS 种属同源性预测 |
| 宿主/亚型 | Rabbit / IgG |
| 抗体类别 | Polyclonal |
| 产品类型 | Antibody |
| 全称 | F-box and WD repeat domain containing 7 |
| 别名 | CDC4, F-box and WD-40 domain-containing protein 7, F-box protein FBX30, F-box/WD repeat-containing protein 7, FBW7 |
| 计算分子量 | 66 kDa |
| 观测分子量 | 100-110 kDa, 66-75 kDa |
| GenBank蛋白编号 | NM_001349798 |
| 基因名称 | FBXW7 |
| Gene ID (NCBI) | 55294 |
| RRID | AB_2881138 |
| 偶联类型 | Unconjugated |
| 形式 | Liquid |
| 纯化方式 | Antigen affinity purification |
| UNIPROT ID | Q969H0 |
| 储存缓冲液 | PBS with 0.02% sodium azide and 50% glycerol, pH 7.3. |
| 储存条件 | Store at -20°C. Stable for one year after shipment. Aliquoting is unnecessary for -20oC storage. |
背景介绍
FBXW7, also named as FBW7, FBX30, SEL10 and hAgo, is a substrate recognition component of a SCF (SKP1-CUL1-F-box protein) E3 ubiquitin-protein ligase complex which mediates the ubiquitination and subsequent proteasomal degradation of target proteins. It probably recognizes and binds to phosphorylated target proteins. FBXW7 is involved in the degradation of cyclin-E, MYC, NOTCH1 released notch intracellular domain (NICD), and probably PSEN1. FBXW7 is a general tumor suppressor in human cancer (PMID: 17909001). FBXW7 has 3 isoforms (α/β/γ) with the calculated molecular mass of 80 kDa, 70 kDa and 66 kDa, and apparent molecular mass of 100-110 kDa and 66-75 kDa (PMID: 31346036/PMID: 22864569). K48 autoubiquitination is consistent with maintenance of ubiquitinated FBW7 (Ub-FBW7, 200 kDa)(PMID: 32353058).
实验方案
| Product Specific Protocols | |
|---|---|
| IHC protocol for FBXW7 antibody 28424-1-AP | Download protocol |
| IP protocol for FBXW7 antibody 28424-1-AP | Download protocol |
| WB protocol for FBXW7 antibody 28424-1-AP | Download protocol |
| Standard Protocols | |
|---|---|
| Click here to view our Standard Protocols |
发表文章
| Species | Application | Title |
|---|---|---|
Cell Mol Immunol FBXW7 is a multifaceted regulator of the innate immune response to DNA viruses | ||
Mol Cancer Loss of FBXW7-mediated degradation of BRAF elicits resistance to BET inhibitors in adult T cell leukemia cells. | ||
J Exp Med Somatic gain-of-function mutations in BUD13 promote oncogenesis by disrupting Fbw7 function | ||
Dev Cell Nuclear import carrier Hikeshi cooperates with HSP70 to promote murine oligodendrocyte differentiation and CNS myelination
| ||
Cancer Lett Inhibition of KIF20A enhances the immunotherapeutic effect of hepatocellular carcinoma by enhancing c-Myc ubiquitination | ||
Theranostics Histone demethylase JMJD3 protects against renal fibrosis by suppressing TGFβ and Notch signaling and preserving PTEN expression. |






