验证数据展示
经过测试的应用
| Positive WB detected in | K-562 cells |
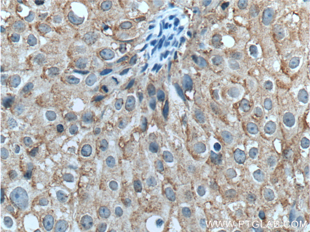
| Positive IHC detected in | human breast cancer tissue Note: suggested antigen retrieval with TE buffer pH 9.0; (*) Alternatively, antigen retrieval may be performed with citrate buffer pH 6.0 |
推荐稀释比
| 应用 | 推荐稀释比 |
|---|---|
| Western Blot (WB) | WB : 1:200-1:1000 |
| Immunohistochemistry (IHC) | IHC : 1:100-1:400 |
| It is recommended that this reagent should be titrated in each testing system to obtain optimal results. | |
| Sample-dependent, Check data in validation data gallery. | |
产品信息
21687-1-AP targets FBXW12 in WB, IHC, ELISA applications and shows reactivity with human samples.
| 经测试应用 | WB, IHC, ELISA Application Description |
| 经测试反应性 | human |
| 免疫原 |
CatNo: Ag16266 Product name: Recombinant human FBXW12 protein Source: e coli.-derived, PGEX-4T Tag: GST Domain: 136-394 aa of BC101304 Sequence: VGDAAGDIYTFTLPGLRDVSKVTAFQYGIVLLHCSPDKKWVFACGTYSRTLPQVFLTESLLRPSEGSVPLSTFLPHKLCASACWTPKVKNRITLMSQSSTGKKTEFITFDLTTKKTGGQTVIQAYEIASFQVAAHLKCPIWMGASDGYMIVFTSGPYLLLFSITGFLLQRFEDHQAAINNFWVDPCYVLTTSENSVHVYMWEEGGRHPYLRSCCHLENTWHDHTTDSCISSVMCDNASIVLRVRKVSDSSILVMYSLNT 种属同源性预测 |
| 宿主/亚型 | Rabbit / IgG |
| 抗体类别 | Polyclonal |
| 产品类型 | Antibody |
| 全称 | F-box and WD repeat domain containing 12 |
| 别名 | F box only protein 35, Fbw12, FBXO12, FBXO35, FBXW12 |
| 计算分子量 | 464 aa, 53 kDa |
| 观测分子量 | 53 kDa |
| GenBank蛋白编号 | BC101304 |
| 基因名称 | FBXW12 |
| Gene ID (NCBI) | 285231 |
| 偶联类型 | Unconjugated |
| 形式 | Liquid |
| 纯化方式 | Antigen affinity purification |
| UNIPROT ID | Q6X9E4 |
| 储存缓冲液 | PBS with 0.02% sodium azide and 50% glycerol, pH 7.3. |
| 储存条件 | Store at -20°C. Stable for one year after shipment. Aliquoting is unnecessary for -20oC storage. |


