验证数据展示
经过测试的应用
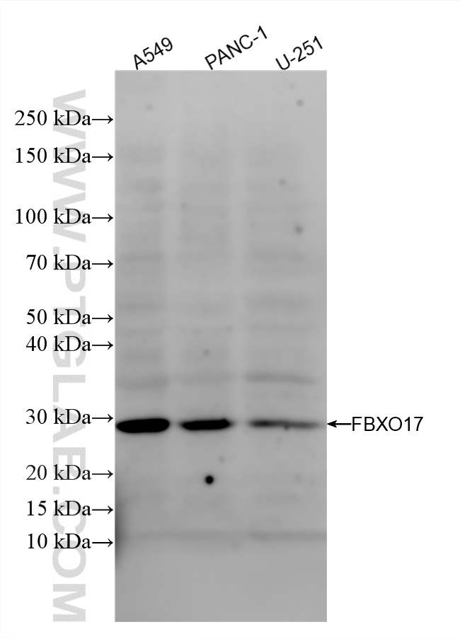
| Positive WB detected in | A549 cells, PANC-1 cells, U-251 cells |
| Positive IHC detected in | human heart tissue Note: suggested antigen retrieval with TE buffer pH 9.0; (*) Alternatively, antigen retrieval may be performed with citrate buffer pH 6.0 |
推荐稀释比
| 应用 | 推荐稀释比 |
|---|---|
| Western Blot (WB) | WB : 1:500-1:1000 |
| Immunohistochemistry (IHC) | IHC : 1:250-1:1000 |
| It is recommended that this reagent should be titrated in each testing system to obtain optimal results. | |
| Sample-dependent, Check data in validation data gallery. | |
产品信息
85936-1-RR targets FBXO17 in WB, IHC, ELISA applications and shows reactivity with human samples.
| 经测试应用 | WB, IHC, ELISA Application Description |
| 经测试反应性 | human |
| 免疫原 |
CatNo: Ag3867 Product name: Recombinant human FBXO17 protein Source: e coli.-derived, T-HIS Tag: 6*His Domain: 1-278 aa of BC012385 Sequence: MGARLSRRRLPADPSLALDALPPELLVQVLSHVPPRSLVTRCRPVCRAWRDIVDGPTVWLLQLARDRSAEGRALYAVAQRCLPSNEDKEEFPLCALARYCLRAPFGRNLIFNSCGEQGFRGWEVEHGGNGWAIEKNLTPVPGAPSQTCFVTSFEWCSKRQLVDLVMEGVWQELLDSAQIEICVADWWGARENCGCVYQLRVRLLDVYEKEVVKFSASPDPVLQWTERGCRQVSHVFTNFGKGIRYVSFEQYGRDVSSWVGHYGALVTHSSVRVRIRLS 种属同源性预测 |
| 宿主/亚型 | Rabbit / IgG |
| 抗体类别 | Recombinant |
| 产品类型 | Antibody |
| 全称 | F-box protein 17 |
| 别名 | FBG4, F-box only protein 17, F-box only protein 26, FBX17, FBX26 |
| 计算分子量 | 278 aa, 31 kDa |
| 观测分子量 | 29 kDa |
| GenBank蛋白编号 | BC012385 |
| 基因名称 | FBXO17 |
| Gene ID (NCBI) | 115290 |
| 偶联类型 | Unconjugated |
| 形式 | Liquid |
| 纯化方式 | Protein A purification |
| UNIPROT ID | Q96EF6 |
| 储存缓冲液 | PBS with 0.02% sodium azide and 50% glycerol, pH 7.3. |
| 储存条件 | Store at -20°C. Stable for one year after shipment. Aliquoting is unnecessary for -20oC storage. |
背景介绍
FBXO17, also named as FBG4, FBX17, FBX26 and FBXO26, is a substrate-recognition component of the SCF (SKP1-CUL1-F-box protein)-type E3 ubiquitin ligase complex.
实验方案
| Product Specific Protocols | |
|---|---|
| IHC protocol for FBXO17 antibody 85936-1-RR | Download protocol |
| WB protocol for FBXO17 antibody 85936-1-RR | Download protocol |
| Standard Protocols | |
|---|---|
| Click here to view our Standard Protocols |

