验证数据展示
经过测试的应用
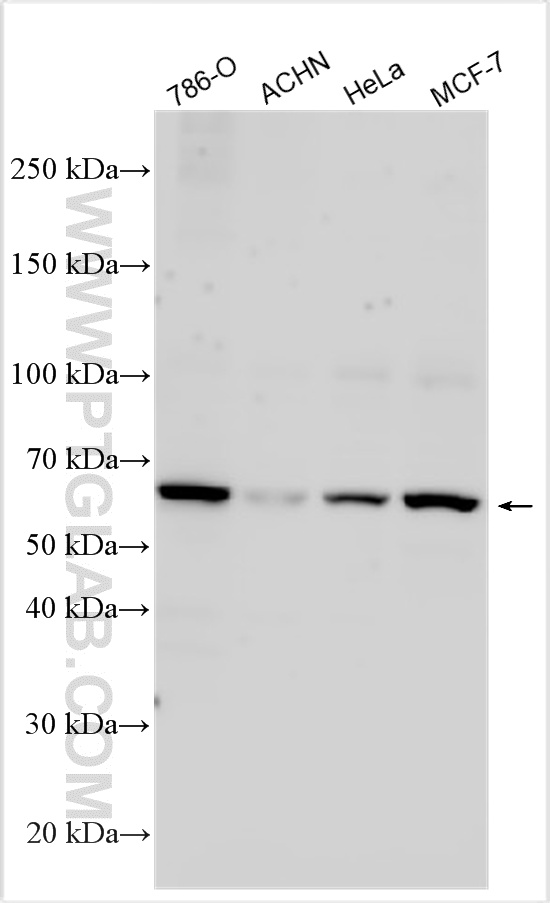
| Positive WB detected in | 786-O cells, ACHN cells, HeLa cells, MCF-7 cells |
推荐稀释比
| 应用 | 推荐稀释比 |
|---|---|
| Western Blot (WB) | WB : 1:500-1:2000 |
| It is recommended that this reagent should be titrated in each testing system to obtain optimal results. | |
| Sample-dependent, Check data in validation data gallery. | |
产品信息
33265-1-AP targets FBXL6 in WB, ELISA applications and shows reactivity with human samples.
| 经测试应用 | WB, ELISA Application Description |
| 经测试反应性 | human |
| 免疫原 |
CatNo: Ag36604 Product name: Recombinant human FBXL6 protein Source: e coli.-derived, PGEX-4T Tag: GST Domain: 1-182 aa of NM_012162.3 Sequence: MAAPASRQVRRRARAAPRPRSAEDWWWDRLAPRGSGYHLLQSDSMLLVLSEPGPARPRAQRRASRRTPRQPPRGPSAAAKPKAGLRSEAAAAPAPAPAPTPTPEEGPDAGWGDRIPLEILVQIFGLLVAADGPMPFLGRAARVCRRWQEAASQPALWHTVTLSSPLVGRPAKGGVKAEKKLL 种属同源性预测 |
| 宿主/亚型 | Rabbit / IgG |
| 抗体类别 | Polyclonal |
| 产品类型 | Antibody |
| 全称 | F-box and leucine-rich repeat protein 6 |
| 别名 | FBL6, FBL6A, F-box and leucine-rich repeat protein 6, F-box protein FBL6, F-box/LRR-repeat protein 6 |
| 计算分子量 | 59kDa,539aa |
| 观测分子量 | 60 kDa |
| GenBank蛋白编号 | NM_012162.3 |
| 基因名称 | FBXL6 |
| Gene ID (NCBI) | 26233 |
| 偶联类型 | Unconjugated |
| 形式 | Liquid |
| 纯化方式 | Antigen affinity Purification |
| UNIPROT ID | Q8N531 |
| 储存缓冲液 | PBS with 0.02% sodium azide and 50% glycerol, pH 7.3. |
| 储存条件 | Store at -20°C. Stable for one year after shipment. Aliquoting is unnecessary for -20oC storage. |
背景介绍
FBXL6 is an F-box/LRR-type E3 ubiquitin ligase that serves as the substrate-recognition subunit of the SCF complex. It stabilizes HSP90AA1 via K63-linked ubiquitination to activate c-MYC and drive hepatocellular carcinoma progression, while also degrading defective mitochondrial ribosomal proteins to preserve mitochondrial proteostasis. Its overexpression correlates with poor prognosis in renal and colorectal cancers and can promote cell proliferation by down-regulating RPL11 to activate the MDM2-p53 axis.
实验方案
| Product Specific Protocols | |
|---|---|
| WB protocol for FBXL6 antibody 33265-1-AP | Download protocol |
| Standard Protocols | |
|---|---|
| Click here to view our Standard Protocols |
