验证数据展示
经过测试的应用
| Positive WB detected in | HL-60 cells |
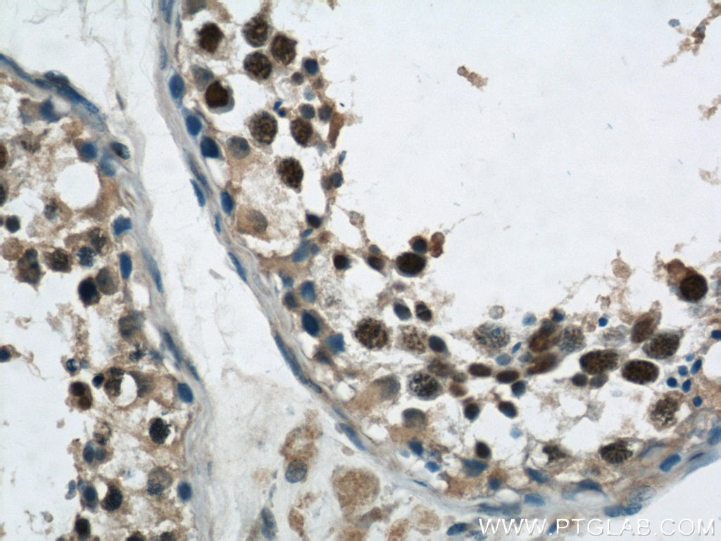
| Positive IHC detected in | human testis tissue Note: suggested antigen retrieval with TE buffer pH 9.0; (*) Alternatively, antigen retrieval may be performed with citrate buffer pH 6.0 |
推荐稀释比
| 应用 | 推荐稀释比 |
|---|---|
| Western Blot (WB) | WB : 1:500-1:1000 |
| Immunohistochemistry (IHC) | IHC : 1:20-1:200 |
| It is recommended that this reagent should be titrated in each testing system to obtain optimal results. | |
| Sample-dependent, Check data in validation data gallery. | |
产品信息
19543-1-AP targets Phospho-FANCD2 (Ser330) in WB, IHC, ELISA applications and shows reactivity with human samples.
| 经测试应用 | WB, IHC, ELISA Application Description |
| 经测试反应性 | human |
| 免疫原 |
Peptide 种属同源性预测 |
| 宿主/亚型 | Rabbit / IgG |
| 抗体类别 | Polyclonal |
| 产品类型 | Antibody |
| 全称 | Fanconi anemia, complementation group D2 |
| 别名 | FA D2, FA4, FACD, FAD, FAD2, FANCD, FANCD2, Phospho-FANCD2 (Ser330), Protein FACD2 |
| 计算分子量 | 166 kDa |
| 观测分子量 | 150-155 kDa |
| GenBank蛋白编号 | NM_033084 |
| 基因名称 | FANCD2 |
| Gene ID (NCBI) | 2177 |
| RRID | AB_10640576 |
| 偶联类型 | Unconjugated |
| 形式 | Liquid |
| 纯化方式 | Antigen affinity purification |
| UNIPROT ID | Q9BXW9 |
| 储存缓冲液 | PBS with 0.02% sodium azide and 50% glycerol, pH 7.3. |
| 储存条件 | Store at -20°C. Stable for one year after shipment. Aliquoting is unnecessary for -20oC storage. |
背景介绍
FANCD2, also named as FACD and FACD2, is required for maintenance of chromosomal stability. FANCD2 promotes accurate and efficient pairing of homologs during meiosis. FANCD2 is involved in the repair of DNA double-strand breaks, both by homologous recombination and single-strand annealing. It may participate in S phase and G2 phase checkpoint activation upon DNA damage. It promotes BRCA2/FANCD1 loading onto damaged chromatin. FANCD2 may also be involved in B-cell immunoglobulin isotype switching. Defects in FANCD2 are a cause of Fanconi anemia (FA) which is a genetically heterogeneous, autosomal recessive disorder characterized by progressive pancytopenia, a diverse assortment of congenital malformations, and a predisposition to the development of malignancies. The antibody is to phospho-Ser(330) of FANCD2.
实验方案
| Product Specific Protocols | |
|---|---|
| IHC protocol for Phospho-FANCD2 (Ser330) antibody 19543-1-AP | Download protocol |
| WB protocol for Phospho-FANCD2 (Ser330) antibody 19543-1-AP | Download protocol |
| Standard Protocols | |
|---|---|
| Click here to view our Standard Protocols |




