验证数据展示
经过测试的应用
| Positive WB detected in | HepG2 cells, Caco-2 cells, Raji cells, mouse brain tissue, rat brain tissue |
| Positive IP detected in | HepG2 cells |
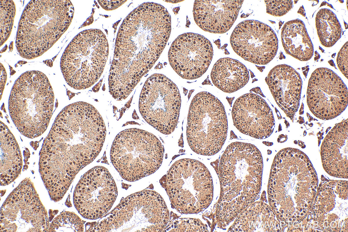
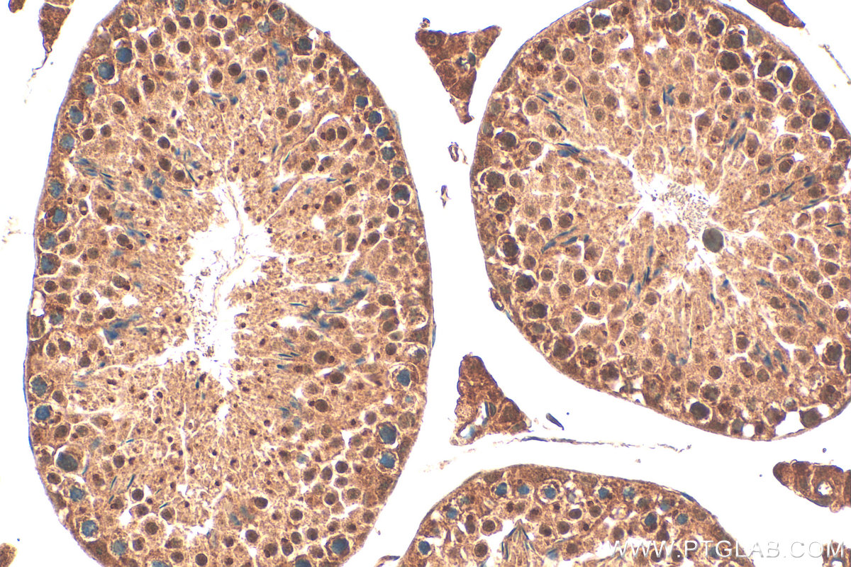
| Positive IHC detected in | mouse testis tissue Note: suggested antigen retrieval with TE buffer pH 9.0; (*) Alternatively, antigen retrieval may be performed with citrate buffer pH 6.0 |
| Positive IF/ICC detected in | HepG2 cells |
推荐稀释比
| 应用 | 推荐稀释比 |
|---|---|
| Western Blot (WB) | WB : 1:1000-1:6000 |
| Immunoprecipitation (IP) | IP : 0.5-4.0 ug for 1.0-3.0 mg of total protein lysate |
| Immunohistochemistry (IHC) | IHC : 1:50-1:500 |
| Immunofluorescence (IF)/ICC | IF/ICC : 1:200-1:800 |
| It is recommended that this reagent should be titrated in each testing system to obtain optimal results. | |
| Sample-dependent, Check data in validation data gallery. | |
发表文章中的应用
| WB | See 2 publications below |
产品信息
22251-1-AP targets FAM98B in WB, IHC, IF/ICC, IP, ELISA applications and shows reactivity with human, mouse, rat samples.
| 经测试应用 | WB, IHC, IF/ICC, IP, ELISA Application Description |
| 文献引用应用 | WB |
| 经测试反应性 | human, mouse, rat |
| 文献引用反应性 | human |
| 免疫原 |
CatNo: Ag17747 Product name: Recombinant human FAM98B protein Source: e coli.-derived, PGEX-4T Tag: GST Domain: 30-186 aa of BC093898 Sequence: LEEQALTKAAEGGLSSPEFSELCIWLGSQIKSLCNLEESITSAGRDDLESFQLEISGFLKEMACPYSVLISGDIKDRLKKKEDCLKLLLFLSTELQASQILQNKKHKNSQLDKNSEVYQEVQAMFDTLGIPKSTTSDIPHMLNQVESKVKDILSKVQ 种属同源性预测 |
| 宿主/亚型 | Rabbit / IgG |
| 抗体类别 | Polyclonal |
| 产品类型 | Antibody |
| 全称 | family with sequence similarity 98, member B |
| 别名 | Protein FAM98B |
| 计算分子量 | 330 aa, 37 kDa |
| 观测分子量 | 45-48 kDa |
| GenBank蛋白编号 | BC093898 |
| 基因名称 | FAM98B |
| Gene ID (NCBI) | 283742 |
| RRID | AB_2879049 |
| 偶联类型 | Unconjugated |
| 形式 | Liquid |
| 纯化方式 | Antigen affinity purification |
| UNIPROT ID | Q52LJ0 |
| 储存缓冲液 | PBS with 0.02% sodium azide and 50% glycerol, pH 7.3. |
| 储存条件 | Store at -20°C. Stable for one year after shipment. Aliquoting is unnecessary for -20oC storage. |
背景介绍
FAM98B (Family with Sequence Similarity 98 Member B) is a protein-coding gene that has been identified as a component of the human tRNA ligase complex (tRNA-LC), which plays a crucial role in tRNA splicing, RNA repair, and other cellular processes. FAM98B contains a glycine-rich intrinsically disordered region (IDR) that can aggregate, leading to the formation of pathological aggregates associated with neurodegenerative diseases. In a study, FAM98B was found to be depleted in patient tissues with abnormal tRNA splicing intermediates, indicating its role in these diseases. (PMID: 34854379, PMID: 40674500)
实验方案
| Product Specific Protocols | |
|---|---|
| IF protocol for FAM98B antibody 22251-1-AP | Download protocol |
| IHC protocol for FAM98B antibody 22251-1-AP | Download protocol |
| IP protocol for FAM98B antibody 22251-1-AP | Download protocol |
| WB protocol for FAM98B antibody 22251-1-AP | Download protocol |
| Standard Protocols | |
|---|---|
| Click here to view our Standard Protocols |
发表文章
| Species | Application | Title |
|---|---|---|
Cell Discov NUDT21 lactylation reprograms alternative polyadenylation to promote cuproptosis resistance |





