验证数据展示
经过测试的应用
| Positive IP detected in | U-937 cells, THP-1 cells |
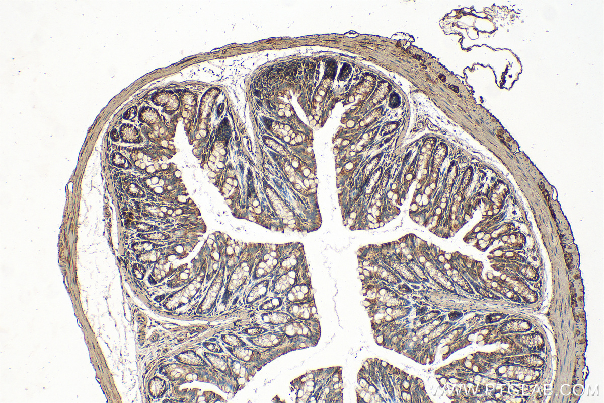
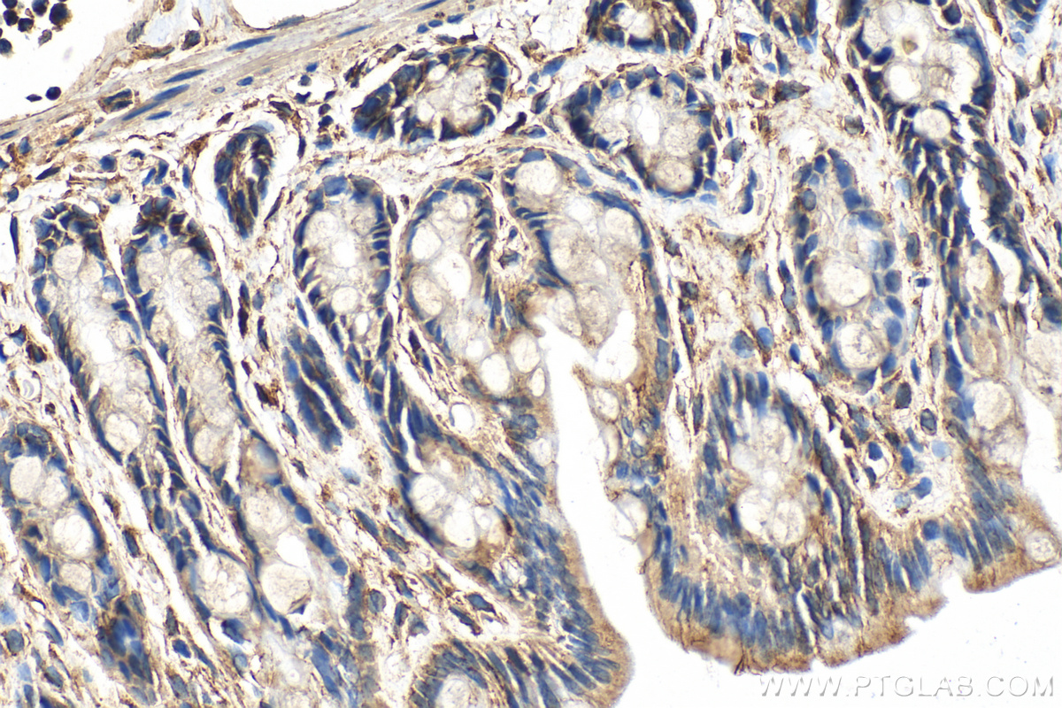
| Positive IHC detected in | mouse colon tissue, rat colon tissue Note: suggested antigen retrieval with TE buffer pH 9.0; (*) Alternatively, antigen retrieval may be performed with citrate buffer pH 6.0 |
| Positive IF/ICC detected in | A431 cells, U-251 cells |
推荐稀释比
| 应用 | 推荐稀释比 |
|---|---|
| Immunoprecipitation (IP) | IP : 0.5-4.0 ug for 1.0-3.0 mg of total protein lysate |
| Immunohistochemistry (IHC) | IHC : 1:50-1:500 |
| Immunofluorescence (IF)/ICC | IF/ICC : 1:200-1:800 |
| It is recommended that this reagent should be titrated in each testing system to obtain optimal results. | |
| Sample-dependent, Check data in validation data gallery. | |
发表文章中的应用
| WB | See 1 publications below |
产品信息
20776-1-AP targets FAM96A in WB, IHC, IF/ICC, IP, ELISA applications and shows reactivity with human samples.
| 经测试应用 | IHC, IF/ICC, IP, ELISA Application Description |
| 文献引用应用 | WB |
| 经测试反应性 | human |
| 文献引用反应性 | human |
| 免疫原 |
CatNo: Ag14770 Product name: Recombinant human FAM96A protein Source: e coli.-derived, PGEX-4T Tag: GST Domain: 1-90 aa of BC008865 Sequence: MQRVSGLLSWTLSRVLWLSGLSEPGAARQPRIMEEKALEVYDLIRTIRDPEKPNTLEELEVVSESCVEVQEINEEEYLVIIRFTPTVPHC 种属同源性预测 |
| 宿主/亚型 | Rabbit / IgG |
| 抗体类别 | Polyclonal |
| 产品类型 | Antibody |
| 全称 | family with sequence similarity 96, member A |
| 别名 | CIA2A, CIAO2A, Cytosolic iron-sulfur assembly component 2A, MIP18 family protein FAM96A, Protein FAM96A |
| 计算分子量 | 160 aa, 18 kDa |
| 观测分子量 | 18-21 kDa |
| GenBank蛋白编号 | BC008865 |
| 基因名称 | FAM96A |
| Gene ID (NCBI) | 84191 |
| RRID | AB_3669346 |
| 偶联类型 | Unconjugated |
| 形式 | Liquid |
| 纯化方式 | Antigen affinity purification |
| UNIPROT ID | Q9H5X1 |
| 储存缓冲液 | PBS with 0.02% sodium azide and 50% glycerol, pH 7.3. |
| 储存条件 | Store at -20°C. Stable for one year after shipment. Aliquoting is unnecessary for -20oC storage. |
背景介绍
FAM96A (family with sequence similarity 96, member A), also called cytosolic iron-sulfur assembly component 2A (CIAO2A), a recently identified member of the cytosolic iron-sulfur (Fe/S) protein assembly machinery and regulator of cellular iron homeostasis, is a novel pro-apoptotic APAF1-binding protein facilitating the effective induction of cell death via the mitochondrial apoptosis pathway. FAM96A is substantially enriched in macrophages comprised primarily of a DUF59 domain (residues 31-157) and an N-terminal signal peptide (residues 1-27), that is expressed at low levels in tumor cells (PMID: 29399066).
实验方案
| Product Specific Protocols | |
|---|---|
| IF protocol for FAM96A antibody 20776-1-AP | Download protocol |
| IHC protocol for FAM96A antibody 20776-1-AP | Download protocol |
| IP protocol for FAM96A antibody 20776-1-AP | Download protocol |
| Standard Protocols | |
|---|---|
| Click here to view our Standard Protocols |





