验证数据展示
经过测试的应用
| Positive WB detected in | MCF-7 cells |
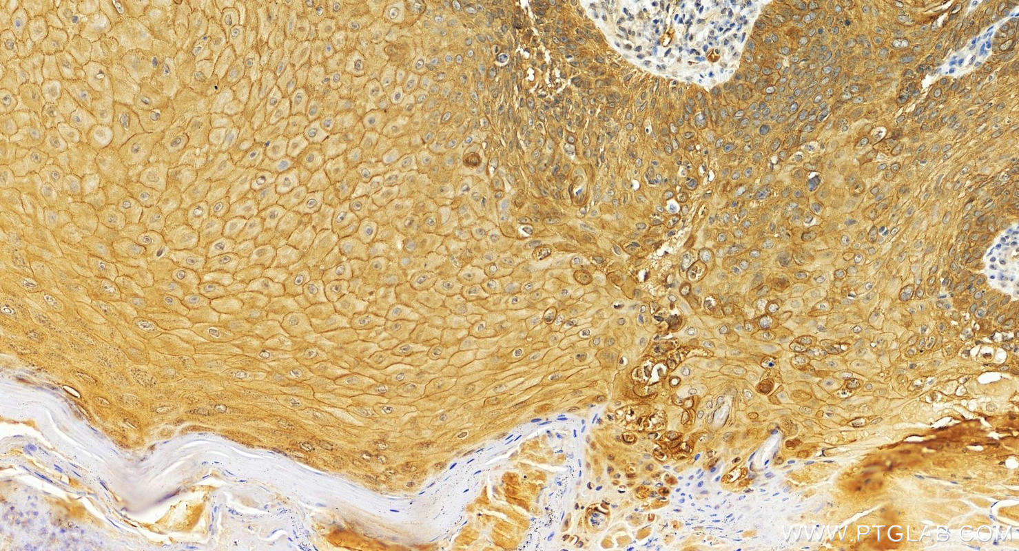
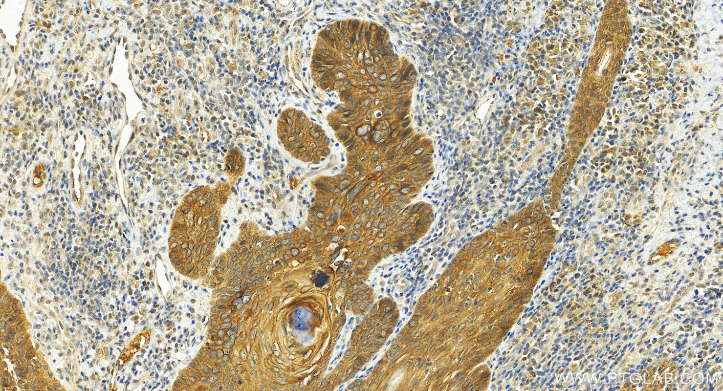
| Positive IHC detected in | human brown disease Note: suggested antigen retrieval with TE buffer pH 9.0; (*) Alternatively, antigen retrieval may be performed with citrate buffer pH 6.0 |
推荐稀释比
| 应用 | 推荐稀释比 |
|---|---|
| Western Blot (WB) | WB : 1:500-1:3000 |
| Immunohistochemistry (IHC) | IHC : 1:50-1:500 |
| It is recommended that this reagent should be titrated in each testing system to obtain optimal results. | |
| Sample-dependent, Check data in validation data gallery. | |
产品信息
26032-1-AP targets FAM83B in WB, IHC, ELISA applications and shows reactivity with human samples.
| 经测试应用 | WB, IHC, ELISA Application Description |
| 经测试反应性 | human |
| 免疫原 |
CatNo: Ag22951 Product name: Recombinant human FAM83B protein Source: e coli.-derived, PGEX-4T Tag: GST Domain: 653-1011 aa of BC112275 Sequence: NQQTENLLKRRSFPLFDNSKANLDPGNSKHYVYSTLTRNRVRQPEKPKEDLLKSSKSMHNVTHNLEEDEEEVTKRNSPSGTTTKSVSIAALLDVNKEESNKELASKKEVKGSPSFLKKGSQKLRSLLSLTPDKKENLSKNKAPAFYRLCSSSDTLVSEGEENQKPKKSDTKVDSSPRRKHSSSSNSQGSIHKSKEDVTVSPSQEINAPPDENKRTPSPGPVESKFLERAGDASAPRFNTEQIQYRDSREINAVVNPERRPTSSPRPTSSELLRSHSTDRRVYSRFEPFCKIESSIQPTSNMPNTSINRPEIKSATMGNSYGRSSPLLNYNTGVYRSYQPNENKFRGFMQKFGNFIHKNK 种属同源性预测 |
| 宿主/亚型 | Rabbit / IgG |
| 抗体类别 | Polyclonal |
| 产品类型 | Antibody |
| 全称 | family with sequence similarity 83, member B |
| 别名 | C6orf143 |
| 计算分子量 | 1011 aa, 115 kDa |
| 观测分子量 | 115 kDa |
| GenBank蛋白编号 | BC112275 |
| 基因名称 | FAM83B |
| Gene ID (NCBI) | 222584 |
| RRID | AB_3085837 |
| 偶联类型 | Unconjugated |
| 形式 | Liquid |
| 纯化方式 | Antigen affinity purification |
| UNIPROT ID | Q5T0W9 |
| 储存缓冲液 | PBS with 0.02% sodium azide and 50% glycerol, pH 7.3. |
| 储存条件 | Store at -20°C. Stable for one year after shipment. Aliquoting is unnecessary for -20oC storage. |
背景介绍
FAM83B, also known as C6orf143, belongs to the FAM83 family. FAM83B is an oncogene and promotes cell transformation through activating various pathway in different kinds of tumors. FAM83B over expressed in several kinds of malignant tumors, such as breast cancer, cervical cancer, endometrial cancer, pancreatic ductal adenocarcinoma, etc. Overexpression of FAM83B could promote the malignant biological behaviors of these tumors (PMID: 33423038, 36690987). The calculated molecular weight of FAM83B is 115 kDa.
实验方案
| Product Specific Protocols | |
|---|---|
| IHC protocol for FAM83B antibody 26032-1-AP | Download protocol |
| WB protocol for FAM83B antibody 26032-1-AP | Download protocol |
| Standard Protocols | |
|---|---|
| Click here to view our Standard Protocols |


