验证数据展示
经过测试的应用
| Positive WB detected in | DU 145 cells |
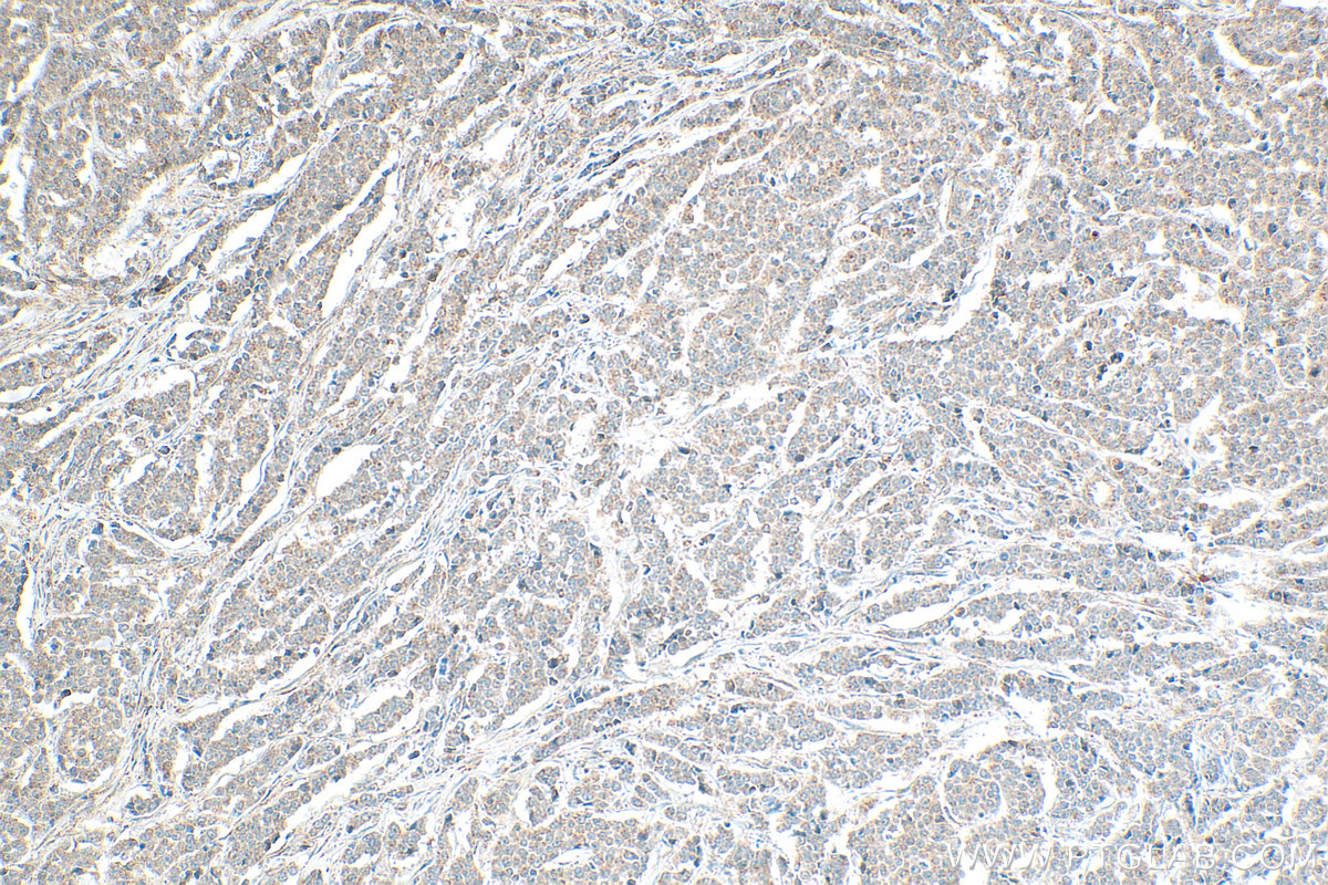
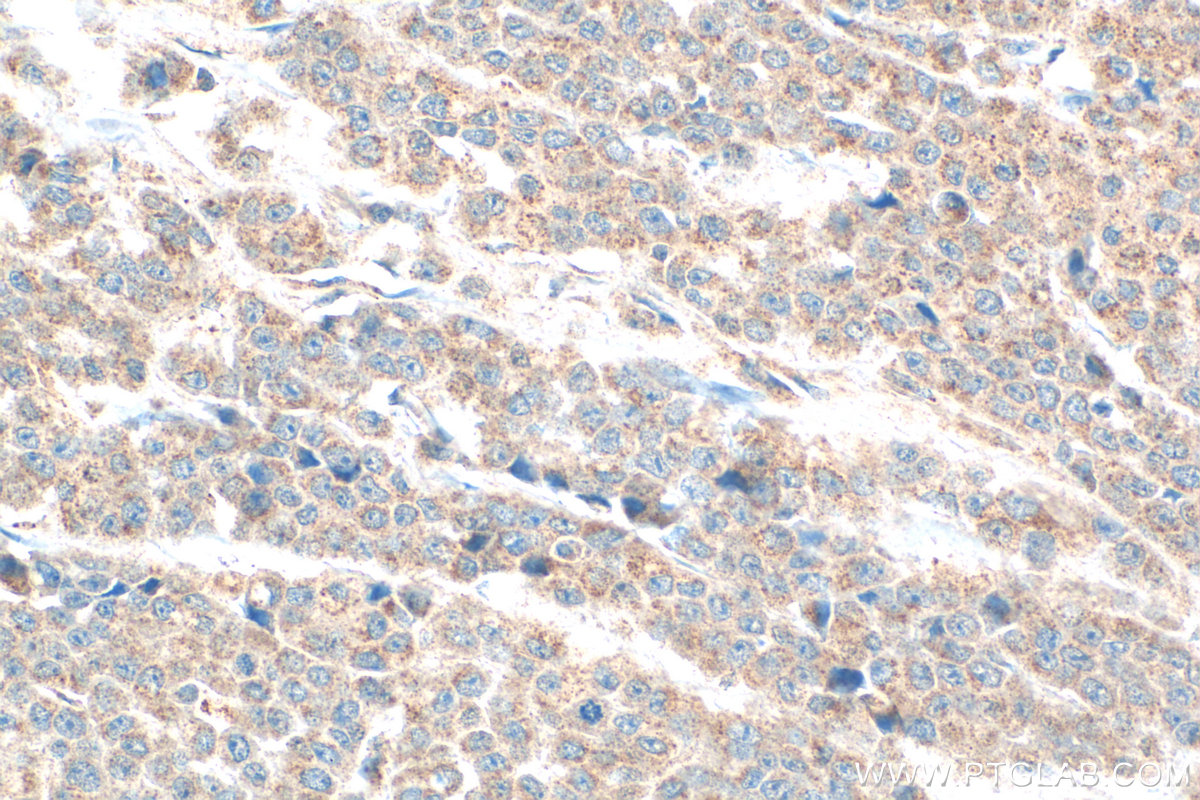
| Positive IHC detected in | human colon cancer tissue Note: suggested antigen retrieval with TE buffer pH 9.0; (*) Alternatively, antigen retrieval may be performed with citrate buffer pH 6.0 |
推荐稀释比
| 应用 | 推荐稀释比 |
|---|---|
| Western Blot (WB) | WB : 1:500-1:3000 |
| Immunohistochemistry (IHC) | IHC : 1:300-1:1200 |
| It is recommended that this reagent should be titrated in each testing system to obtain optimal results. | |
| Sample-dependent, Check data in validation data gallery. | |
发表文章中的应用
| KD/KO | See 1 publications below |
| WB | See 1 publications below |
产品信息
29289-1-AP targets FAM83A in WB, IHC, ELISA applications and shows reactivity with human samples.
| 经测试应用 | WB, IHC, ELISA Application Description |
| 文献引用应用 | WB |
| 经测试反应性 | human |
| 文献引用反应性 | human |
| 免疫原 |
CatNo: Ag30946 Product name: Recombinant human FAM83A protein Source: e coli.-derived, PGEX-4T Tag: GST Domain: 1-100 aa of BC007828 Sequence: MSRSRHLGKIRKRLEDVKSQWVRPARADFSDNESARLATDALLDGGSEAYWRVLSQEGEVDFLSSVEAQYIQAQAREPPCPPDTLGGAEAGPKGLDSSSL 种属同源性预测 |
| 宿主/亚型 | Rabbit / IgG |
| 抗体类别 | Polyclonal |
| 产品类型 | Antibody |
| 全称 | family with sequence similarity 83, member A |
| 别名 | BJ TSA 9, Protein FAM83A, TSGP, Tumor antigen BJ TSA 9, Tumor antigen BJ-TSA-9 |
| 计算分子量 | 434 aa, 47 kDa |
| 观测分子量 | 47-58 kDa |
| GenBank蛋白编号 | BC007828 |
| 基因名称 | FAM83A |
| Gene ID (NCBI) | 84985 |
| RRID | AB_3742308 |
| 偶联类型 | Unconjugated |
| 形式 | Liquid |
| 纯化方式 | Antigen affinity purification |
| UNIPROT ID | Q86UY5 |
| 储存缓冲液 | PBS with 0.02% sodium azide and 50% glycerol, pH 7.3. |
| 储存条件 | Store at -20°C. Stable for one year after shipment. Aliquoting is unnecessary for -20oC storage. |
背景介绍
FAM83A plays a pivotal role in various biological processes, such as apoptosis, growth, and metastasis. Growing evidence highlights the pro-tumorigenic activity of FAM83A through various signaling pathways, such as the Wnt/β-catenin, ERK, and PI3K/Akt pathways.
实验方案
| Product Specific Protocols | |
|---|---|
| IHC protocol for FAM83A antibody 29289-1-AP | Download protocol |
| WB protocol for FAM83A antibody 29289-1-AP | Download protocol |
| Standard Protocols | |
|---|---|
| Click here to view our Standard Protocols |


