验证数据展示
经过测试的应用
| Positive WB detected in | HeLa cells, mouse liver tissue, U2OS cells, human testis tissue, rat liver |
| Positive IP detected in | U2OS cells |
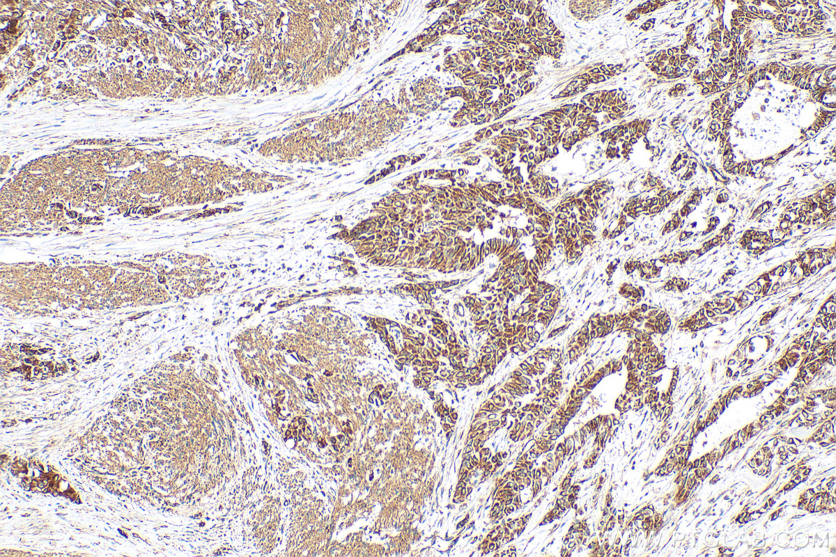
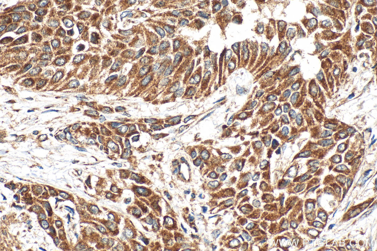
| Positive IHC detected in | human urothelial carcinoma tissue Note: suggested antigen retrieval with TE buffer pH 9.0; (*) Alternatively, antigen retrieval may be performed with citrate buffer pH 6.0 |
| Positive IF/ICC detected in | U2OS cells, SH-SY5Y cells |
推荐稀释比
| 应用 | 推荐稀释比 |
|---|---|
| Western Blot (WB) | WB : 1:1000-1:4000 |
| Immunoprecipitation (IP) | IP : 0.5-4.0 ug for 1.0-3.0 mg of total protein lysate |
| Immunohistochemistry (IHC) | IHC : 1:50-1:500 |
| Immunofluorescence (IF)/ICC | IF/ICC : 1:200-1:800 |
| It is recommended that this reagent should be titrated in each testing system to obtain optimal results. | |
| Sample-dependent, Check data in validation data gallery. | |
产品信息
33752-1-AP targets FAM82A1 in WB, IHC, IF/ICC, IP, ELISA applications and shows reactivity with human, mouse, rat samples.
| 经测试应用 | WB, IHC, IF/ICC, IP, ELISA Application Description |
| 经测试反应性 | human, mouse, rat |
| 免疫原 |
CatNo: Ag40522 Product name: Recombinant human FAM82A1 protein Source: e coli.-derived, PGEX-4T Tag: GST Domain: 29-125 aa of BC024243 Sequence: KVRKPGIAMKLPEFLSLGNTFNSITLQDEIHDDQGTTVIFQERQLQILEKLNELLTNMEELKEEIRFLKEAIPKLEEYIQDELGGKITVHKISPQHR 种属同源性预测 |
| 宿主/亚型 | Rabbit / IgG |
| 抗体类别 | Polyclonal |
| 产品类型 | Antibody |
| 全称 | family with sequence similarity 82, member A1 |
| 别名 | BLOCK18, FAM82A, hRMD-2, Protein FAM82A1, Regulator of microtubule dynamics protein 2 |
| 观测分子量 | 45 kDa |
| GenBank蛋白编号 | BC024243 |
| 基因名称 | FAM82A1 |
| Gene ID (NCBI) | 151393 |
| RRID | AB_3743066 |
| 偶联类型 | Unconjugated |
| 形式 | Liquid |
| 纯化方式 | Antigen affinity Purification |
| UNIPROT ID | Q96LZ7 |
| 储存缓冲液 | PBS with 0.02% sodium azide and 50% glycerol, pH 7.3. |
| 储存条件 | Store at -20°C. Stable for one year after shipment. Aliquoting is unnecessary for -20oC storage. |
背景介绍
FAM82A1 is a crucial cellular signaling regulatory protein that has recently gained attention for its role in tumorigenesis. Research indicates that it serves as an important regulatory subunit of protein phosphatase 2A (PP2A), participating in the precise regulation of cell cycle progression and apoptosis by influencing key signaling pathways such as JNK/c-Jun. In various cancers (e.g., glioblastoma, lung cancer), FAM82A1 often exhibits abnormally high expression, which is closely associated with accelerated cancer cell proliferation, inhibited apoptosis, and poor patient prognosis. Its cancer-promoting function is primarily achieved by sustaining cancer cell survival, making FAM82A1 not only a potential tumor biomarker but also a promising new target for anti-cancer therapy worthy of further exploration.
实验方案
| Product Specific Protocols | |
|---|---|
| IF protocol for FAM82A1 antibody 33752-1-AP | Download protocol |
| IHC protocol for FAM82A1 antibody 33752-1-AP | Download protocol |
| IP protocol for FAM82A1 antibody 33752-1-AP | Download protocol |
| WB protocol for FAM82A1 antibody 33752-1-AP | Download protocol |
| Standard Protocols | |
|---|---|
| Click here to view our Standard Protocols |






