验证数据展示
经过测试的应用
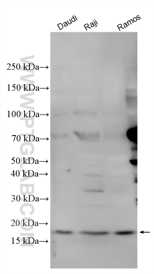
| Positive WB detected in | Daudi cells, Raji cells, Ramos cells |
推荐稀释比
| 应用 | 推荐稀释比 |
|---|---|
| Western Blot (WB) | WB : 1:500-1:1000 |
| It is recommended that this reagent should be titrated in each testing system to obtain optimal results. | |
| Sample-dependent, Check data in validation data gallery. | |
产品信息
33987-1-AP targets FAM72A in WB, ELISA applications and shows reactivity with human samples.
| 经测试应用 | WB, ELISA Application Description |
| 经测试反应性 | human |
| 免疫原 |
CatNo: Ag41693 Product name: Recombinant human FAM72A protein Source: e coli.-derived, PGEX-4T Tag: GST Domain: 98-149 aa of BC035696 Sequence: NGHFWMFHSQAVYDINRLDSTGVNVLLWGNLPEIEESTDEDVLNISAEECIR 种属同源性预测 |
| 宿主/亚型 | Rabbit / IgG |
| 抗体类别 | Polyclonal |
| 产品类型 | Antibody |
| 全称 | family with sequence similarity 72, member A |
| 别名 | FAM72, Latent membrane protein 1-induced protein, LMP1-induced protein, LMPIP, Protein FAM72A |
| 计算分子量 | 149 aa, 17 kDa |
| 观测分子量 | 17 kDa |
| GenBank蛋白编号 | BC035696 |
| 基因名称 | FAM72 |
| Gene ID (NCBI) | 729533 |
| RRID | AB_3743133 |
| 偶联类型 | Unconjugated |
| 形式 | Liquid |
| 纯化方式 | Antigen affinity purification |
| UNIPROT ID | Q5TYM5 |
| 储存缓冲液 | PBS with 0.02% sodium azide and 50% glycerol, pH 7.3. |
| 储存条件 | Store at -20°C. Stable for one year after shipment. Aliquoting is unnecessary for -20oC storage. |
背景介绍
FAM72A, also named as LMIP and UGENE, is a mitochondrial protein which regulates cellular reactive oxygen species metabolism. It's up-regulated in malignant colon cancers, compared to normal colon and colon adenomas. FAM72 has some members A/B/C/D with higher homology. This antibody detects all the members of FAM72.
实验方案
| Product Specific Protocols | |
|---|---|
| WB protocol for FAM72A antibody 33987-1-AP | Download protocol |
| Standard Protocols | |
|---|---|
| Click here to view our Standard Protocols |
