验证数据展示
经过测试的应用
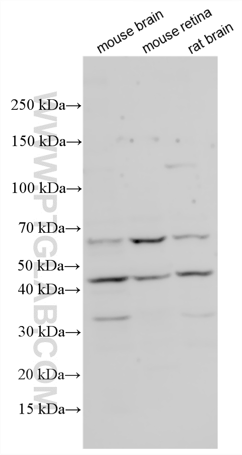
| Positive WB detected in | mouse brain tissue, mouse retina tissue, rat brain tissue |
推荐稀释比
| 应用 | 推荐稀释比 |
|---|---|
| Western Blot (WB) | WB : 1:500-1:1000 |
| It is recommended that this reagent should be titrated in each testing system to obtain optimal results. | |
| Sample-dependent, Check data in validation data gallery. | |
产品信息
32720-1-AP targets FAM69C in WB, ELISA applications and shows reactivity with human, mouse, rat samples.
| 经测试应用 | WB, ELISA Application Description |
| 经测试反应性 | human, mouse, rat |
| 免疫原 |
CatNo: Ag37611 Product name: Recombinant human DIPK1C protein Source: e coli.-derived, PGEX-4T Tag: GST Domain: 300-419 aa of NM_001044369 Sequence: MAFFEPKMREILEQNCTGDEDCNFFDCFSRCDLRVNKCGAQRVNNNLQVICDKIFRHWFSAPLKSSAVSFQLQLQLQEAVQECADPGVPSGNTRRAASSVFWKLRQLLQATLRELQEAEK 种属同源性预测 |
| 宿主/亚型 | Rabbit / IgG |
| 抗体类别 | Polyclonal |
| 产品类型 | Antibody |
| 全称 | chromosome 18 open reading frame 51 |
| 别名 | C18orf51, DIPK1C, Divergent protein kinase domain 1C, Protein FAM69C |
| 计算分子量 | 46 kDa |
| 观测分子量 | 46 kDa, 55 kDa, 32 kDa |
| GenBank蛋白编号 | NM_001044369 |
| 基因名称 | C18orf51 |
| Gene ID (NCBI) | 125704 |
| RRID | AB_3742722 |
| 偶联类型 | Unconjugated |
| 形式 | Liquid |
| 纯化方式 | Antigen affinity Purification |
| UNIPROT ID | Q0P6D2 |
| 储存缓冲液 | PBS with 0.02% sodium azide and 50% glycerol, pH 7.3. |
| 储存条件 | Store at -20°C. Stable for one year after shipment. Aliquoting is unnecessary for -20oC storage. |
背景介绍
FAM69C is a kinase critically involved in neurodegenerative dementia. Biochemical analyses uncover that FAM69C is a serine/threonine kinase. Phosphoproteomic characterizations reveal that FAM69C substrates are involved in synaptic structure and function. Reduced levels of FAM69C are found in postmortem brains of Alzheimer's disease patients. FAM69C is a protective regulator of memory and a potential therapeutic target for memory loss in neurodegenerative dementia (PMID: 35858575). FAM69C undergoes glycosylation modification, and a 55 kDa band was observed in the literature (PMID: 35858575). The mouse FAM69C has two isoforms, and the predicted molecular weight is 46 kDa and 30 kDa.
实验方案
| Product Specific Protocols | |
|---|---|
| WB protocol for FAM69C antibody 32720-1-AP | Download protocol |
| Standard Protocols | |
|---|---|
| Click here to view our Standard Protocols |
