验证数据展示
经过测试的应用
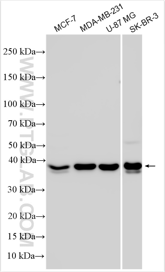
| Positive WB detected in | MCF-7 cells, MDA-MB-231 cells, U-87 MG cells, SK-BR-3 cells |
推荐稀释比
| 应用 | 推荐稀释比 |
|---|---|
| Western Blot (WB) | WB : 1:1000-1:4000 |
| It is recommended that this reagent should be titrated in each testing system to obtain optimal results. | |
| Sample-dependent, Check data in validation data gallery. | |
产品信息
32562-1-AP targets FAM50B in WB, ELISA applications and shows reactivity with human samples.
| 经测试应用 | WB, ELISA Application Description |
| 经测试反应性 | human |
| 免疫原 |
CatNo: Ag38226 Product name: Recombinant human FAM50B protein Source: e coli.-derived, PGEX-4T Tag: GST Domain: 73-141 aa of NM_012135.2 Sequence: MKARQEALVRERERQLAKRQHLEEQRLQQERQREQEQRRERKRKISCLSFALDDLDDQADAAEARRAGN 种属同源性预测 |
| 宿主/亚型 | Rabbit / IgG |
| 抗体类别 | Polyclonal |
| 产品类型 | Antibody |
| 全称 | family with sequence similarity 50, member B |
| 别名 | Protein FAM50B, Protein XAP-5-like, X5L |
| 计算分子量 | 39kDa,325aa |
| 观测分子量 | 38 kDa |
| GenBank蛋白编号 | NM_012135.2 |
| 基因名称 | FAM50B |
| Gene ID (NCBI) | 26240 |
| RRID | AB_3742656 |
| 偶联类型 | Unconjugated |
| 形式 | Liquid |
| 纯化方式 | Antigen affinity Purification |
| UNIPROT ID | Q9Y247 |
| 储存缓冲液 | PBS with 0.02% sodium azide and 50% glycerol, pH 7.3. |
| 储存条件 | Store at -20°C. Stable for one year after shipment. Aliquoting is unnecessary for -20oC storage. |
背景介绍
FAM50B, also known as family with sequence similarity 50, member B, is a protein-coding gene located on chromosome 6. It is widely expressed in various tissues, with particularly high abundance in the testis and both adult and fetal brain. The exact function of FAM50B is not yet fully understood and is still under investigation.
实验方案
| Product Specific Protocols | |
|---|---|
| WB protocol for FAM50B antibody 32562-1-AP | Download protocol |
| Standard Protocols | |
|---|---|
| Click here to view our Standard Protocols |

