验证数据展示
经过测试的应用
| Positive WB detected in | mouse colon tissue, rat colon tissue |
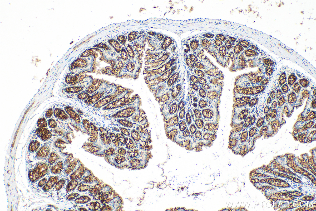
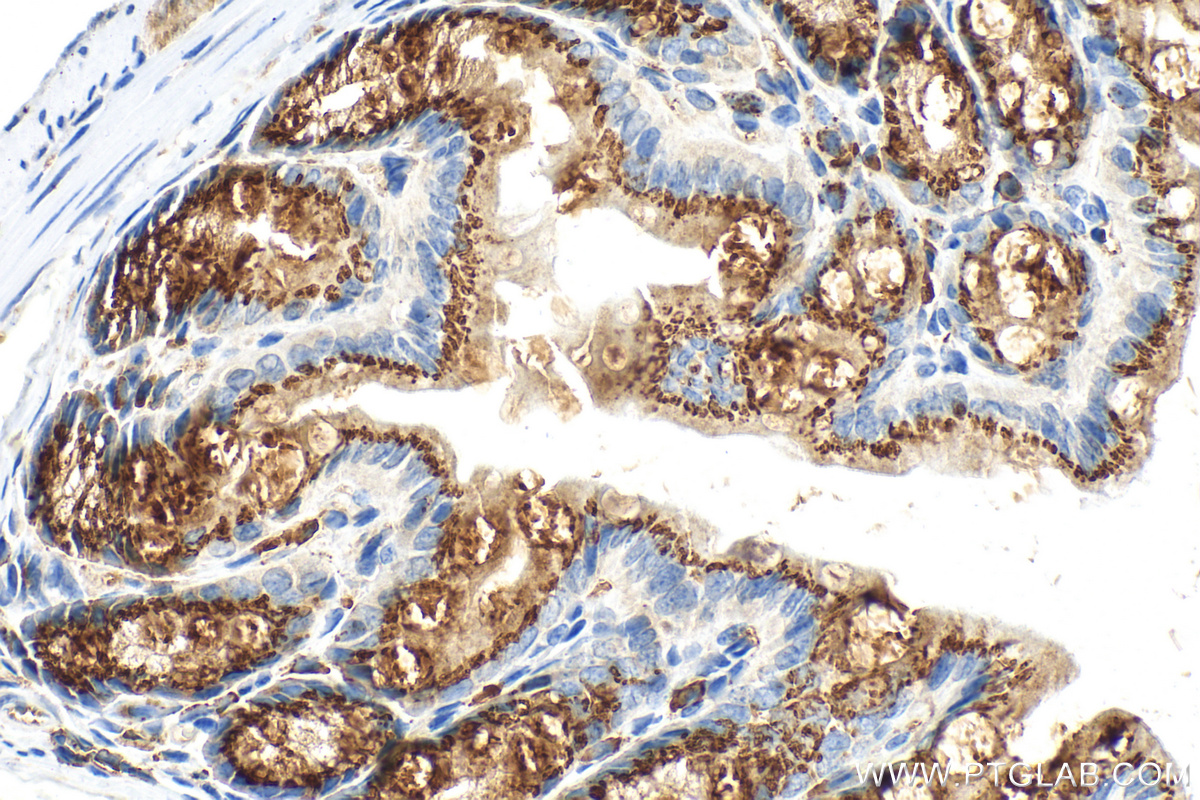
| Positive IHC detected in | mouse colon tissue Note: suggested antigen retrieval with TE buffer pH 9.0; (*) Alternatively, antigen retrieval may be performed with citrate buffer pH 6.0 |
推荐稀释比
| 应用 | 推荐稀释比 |
|---|---|
| Western Blot (WB) | WB : 1:1000-1:8000 |
| Immunohistochemistry (IHC) | IHC : 1:400-1:1600 |
| It is recommended that this reagent should be titrated in each testing system to obtain optimal results. | |
| Sample-dependent, Check data in validation data gallery. | |
产品信息
32785-1-AP targets FAM3D in WB, IHC, ELISA applications and shows reactivity with mouse, rat samples.
| 经测试应用 | WB, IHC, ELISA Application Description |
| 经测试反应性 | mouse, rat |
| 免疫原 |
CatNo: Eg2694 Product name: Recombinant Mouse Oit1 protein (rFc Tag) Source: mammalian cells-derived, V37 Tag: C-rFc Domain: 26-223 aa of NM_146050.2 Sequence: YTSFSRKTIRLPRWLGITPKDIQTPKSKCGLSKICPNNFFAFKISSGAANVVGPSMCFEDEIIMSPVRNNVGRGLNVALVNGSTGQVMKKDSFDMYSGDPQLLLNFLTEIPDSTLVLVASYDDPGTKMNDKIKTLFSNLGSSYAKQLGFRDSWVFVGAKDLKSKSPYEQFLKNNPETNKYDGWPELLELEGCVPRKVM 种属同源性预测 |
| 宿主/亚型 | Rabbit / IgG |
| 抗体类别 | Polyclonal |
| 产品类型 | Antibody |
| 全称 | oncoprotein induced transcript 1 |
| 别名 | Oit1, Oncoprotein-induced protein 1, Protein EF-7, Protein FAM3D |
| 计算分子量 | 25 kDa |
| 观测分子量 | 25 kDa |
| GenBank蛋白编号 | NM_146050.2 |
| 基因名称 | Oit1 |
| Gene ID (NCBI) | 18300 |
| 偶联类型 | Unconjugated |
| 形式 | Liquid |
| 纯化方式 | Antigen affinity Purification |
| UNIPROT ID | P97805 |
| 储存缓冲液 | PBS with 0.02% sodium azide and 50% glycerol, pH 7.3. |
| 储存条件 | Store at -20°C. Stable for one year after shipment. Aliquoting is unnecessary for -20oC storage. |
背景介绍
FAM3D (family with sequence similarity 3, member D) is a protein that belongs to the FAM3 family, which is a novel cytokine-like gene family identified in 2002. This family comprises four members: FAM3A, FAM3B, FAM3C, and FAM3D. FAM3D is a gut-secreted protein that is regulated by nutritional status. It has a predicted secondary structure of a four-helix bundle, which is a common feature in many other cytokines.
实验方案
| Product Specific Protocols | |
|---|---|
| IHC protocol for FAM3D antibody 32785-1-AP | Download protocol |
| WB protocol for FAM3D antibody 32785-1-AP | Download protocol |
| Standard Protocols | |
|---|---|
| Click here to view our Standard Protocols |


