验证数据展示
经过测试的应用
| Positive WB detected in | mouse liver tissue, rat liver tissue |
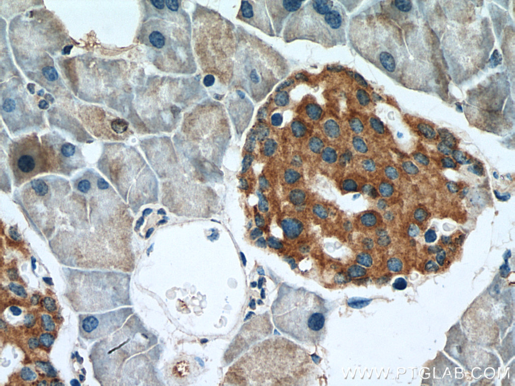
| Positive IHC detected in | mouse pancreas tissue Note: suggested antigen retrieval with TE buffer pH 9.0; (*) Alternatively, antigen retrieval may be performed with citrate buffer pH 6.0 |
推荐稀释比
| 应用 | 推荐稀释比 |
|---|---|
| Western Blot (WB) | WB : 1:500-1:1000 |
| Immunohistochemistry (IHC) | IHC : 1:50-1:500 |
| It is recommended that this reagent should be titrated in each testing system to obtain optimal results. | |
| Sample-dependent, Check data in validation data gallery. | |
发表文章中的应用
| KD/KO | See 1 publications below |
| WB | See 2 publications below |
产品信息
20588-1-AP targets FAM3A in WB, IHC, ELISA applications and shows reactivity with human, mouse, rat samples.
| 经测试应用 | WB, IHC, ELISA Application Description |
| 文献引用应用 | WB |
| 经测试反应性 | human, mouse, rat |
| 文献引用反应性 | human, mouse |
| 免疫原 |
CatNo: Ag14343 Product name: Recombinant human FAM3A protein Source: e coli.-derived, PGEX-4T Tag: GST Domain: 102-197 aa of BC002934 Sequence: GRGLNIALVNGVSGELIEARAFDMWAGDVNDLLKFIRPLHEGTLVFVASYDDPATKMNEETRKLFSELGSRNAKELAFRDSWVFVGAKGVQNKSPF 种属同源性预测 |
| 宿主/亚型 | Rabbit / IgG |
| 抗体类别 | Polyclonal |
| 产品类型 | Antibody |
| 全称 | family with sequence similarity 3, member A |
| 别名 | 2 19, 2.19, Cytokine like protein 2 19, DXS560S, FAM3A, Protein FAM3A, XAP 7 |
| 计算分子量 | 230 aa, 25 kDa |
| 观测分子量 | 25-27 kDa |
| GenBank蛋白编号 | BC002934 |
| 基因名称 | FAM3A |
| Gene ID (NCBI) | 60343 |
| RRID | AB_2878704 |
| 偶联类型 | Unconjugated |
| 形式 | Liquid |
| 纯化方式 | Antigen affinity purification |
| UNIPROT ID | P98173 |
| 储存缓冲液 | PBS with 0.02% sodium azide and 50% glycerol, pH 7.3. |
| 储存条件 | Store at -20°C. Stable for one year after shipment. Aliquoting is unnecessary for -20oC storage. |
实验方案
| Product Specific Protocols | |
|---|---|
| IHC protocol for FAM3A antibody 20588-1-AP | Download protocol |
| WB protocol for FAM3A antibody 20588-1-AP | Download protocol |
| Standard Protocols | |
|---|---|
| Click here to view our Standard Protocols |
发表文章
| Species | Application | Title |
|---|---|---|
Neural Regen Res The circular RNA Rap1b promotes Hoxa5 transcription by recruiting Kat7 and leading to increased Fam3a expression, which inhibits neuronal apoptosis in acute ischemic stroke | ||
In Vitro Cell Dev Biol Anim FAM3A mediates the phenotypic switch of human aortic smooth muscle cells stimulated with oxidised low-density lipoprotein by influencing the PI3K-AKT pathway
|



