验证数据展示
经过测试的应用
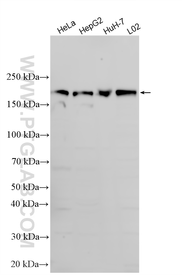
| Positive WB detected in | HeLa cells, HepG2 cells, HuH-7 cells, L02 cells |
| Positive IF/ICC detected in | A431 cells |
推荐稀释比
| 应用 | 推荐稀释比 |
|---|---|
| Western Blot (WB) | WB : 1:1000-1:6000 |
| Immunofluorescence (IF)/ICC | IF/ICC : 1:200-1:800 |
| It is recommended that this reagent should be titrated in each testing system to obtain optimal results. | |
| Sample-dependent, Check data in validation data gallery. | |
产品信息
33047-1-AP targets FAM21C in WB, IF/ICC, ELISA applications and shows reactivity with human samples.
| 经测试应用 | WB, IF/ICC, ELISA Application Description |
| 经测试反应性 | human |
| 免疫原 |
CatNo: Ag15066 Product name: Recombinant human FAM21C protein Source: e coli.-derived, PET28a Tag: 6*His Domain: 1036-1318 aa of BC006456 Sequence: MSVPRGPIAQWADGAISPNGHRPQLRAASGEDSTEEALAAAAAPWEGGPVPGVDTSPFAKSLGHSRGEADLFDSGDIFSTGTGSQSVERTKPKAKIAENPANPPVGGKAKSPMFPALGEASSDDDLFQSAKPKPAKKTNPFPLLEDEDDLFTDQKVKKNETKSSSQQDVILTTQDIFEDDIFATEAIKPSQKTREKEKTLESNLFDDNIDIFADLTVKPKEKSKKKVEAKSIFDDDMDDIFSTGIQAKTTKPKSRSAQAAPEPRFEHKVSNIFDDPLNAFGGQ 种属同源性预测 |
| 宿主/亚型 | Rabbit / IgG |
| 抗体类别 | Polyclonal |
| 产品类型 | Antibody |
| 全称 | family with sequence similarity 21, member C |
| 别名 | KIAA0592, Vaccinia virus penetration factor, VPEF, WASH complex subunit 2C, WASHC2C |
| 计算分子量 | 1320 aa, 145 kDa |
| 观测分子量 | 200 kDa |
| GenBank蛋白编号 | BC006456 |
| 基因名称 | FAM21C |
| Gene ID (NCBI) | 253725 |
| RRID | AB_3742836 |
| 偶联类型 | Unconjugated |
| 形式 | Liquid |
| 纯化方式 | Antigen affinity Purification |
| UNIPROT ID | Q9Y4E1 |
| 储存缓冲液 | PBS with 0.02% sodium azide and 50% glycerol, pH 7.3. |
| 储存条件 | Store at -20°C. Stable for one year after shipment. Aliquoting is unnecessary for -20oC storage. |
实验方案
| Product Specific Protocols | |
|---|---|
| IF protocol for FAM21C antibody 33047-1-AP | Download protocol |
| WB protocol for FAM21C antibody 33047-1-AP | Download protocol |
| Standard Protocols | |
|---|---|
| Click here to view our Standard Protocols |

