验证数据展示
经过测试的应用
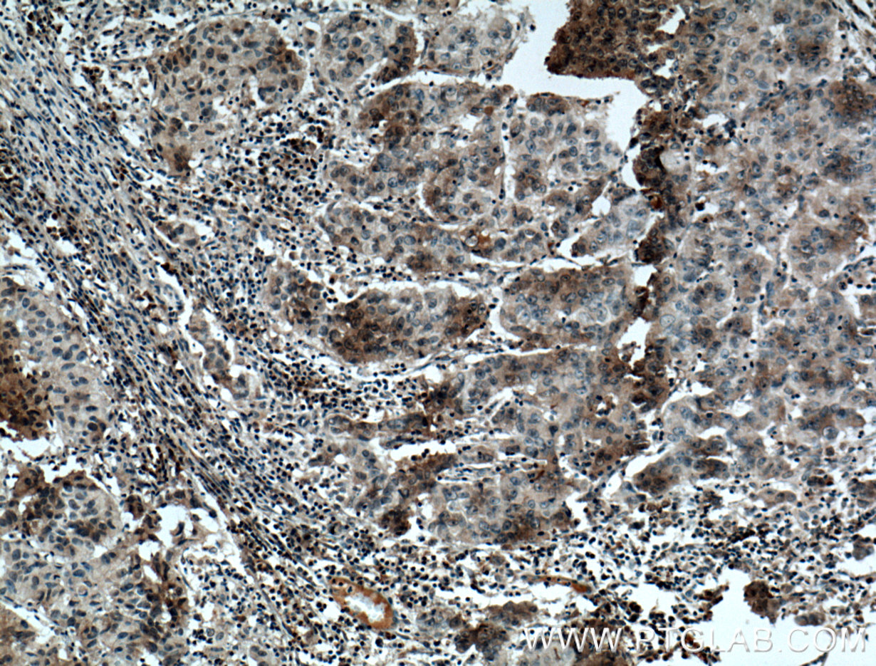
| Positive IHC detected in | human prostate cancer tissue, human kidney tissue Note: suggested antigen retrieval with TE buffer pH 9.0; (*) Alternatively, antigen retrieval may be performed with citrate buffer pH 6.0 |
推荐稀释比
| 应用 | 推荐稀释比 |
|---|---|
| Immunohistochemistry (IHC) | IHC : 1:200-1:800 |
| It is recommended that this reagent should be titrated in each testing system to obtain optimal results. | |
| Sample-dependent, Check data in validation data gallery. | |
产品信息
24802-1-AP targets FAM174A in IHC, ELISA applications and shows reactivity with human samples.
| 经测试应用 | IHC, ELISA Application Description |
| 经测试反应性 | human |
| 免疫原 |
CatNo: Ag20431 Product name: Recombinant human FAM174A protein Source: e coli.-derived, PGEX-4T Tag: GST Domain: 30-123 aa of BC027332 Sequence: LAVLLQAAEAAPGLGPPDPRPRTLPPLPPGPTPAQQPGRGLAEAAGPRGSEGGNGSNPVAGLETDDHGGKAGEGSVGGGLAVSPNPGDKPMTQR 种属同源性预测 |
| 宿主/亚型 | Rabbit / IgG |
| 抗体类别 | Polyclonal |
| 产品类型 | Antibody |
| 全称 | family with sequence similarity 174, member A |
| 别名 | FAM174A, Membrane protein FAM174A, NS5ATP6, TMEM157, Transmembrane protein 157, UNQ1912 |
| 计算分子量 | 190 aa, 20 kDa |
| GenBank蛋白编号 | BC027332 |
| 基因名称 | FAM174A |
| Gene ID (NCBI) | 345757 |
| RRID | AB_2879734 |
| 偶联类型 | Unconjugated |
| 形式 | Liquid |
| 纯化方式 | Antigen affinity purification |
| UNIPROT ID | Q8TBP5 |
| 储存缓冲液 | PBS with 0.02% sodium azide and 50% glycerol, pH 7.3. |
| 储存条件 | Store at -20°C. Stable for one year after shipment. Aliquoting is unnecessary for -20oC storage. |
实验方案
| Product Specific Protocols | |
|---|---|
| IHC protocol for FAM174A antibody 24802-1-AP | Download protocol |
| Standard Protocols | |
|---|---|
| Click here to view our Standard Protocols |



