验证数据展示
经过测试的应用
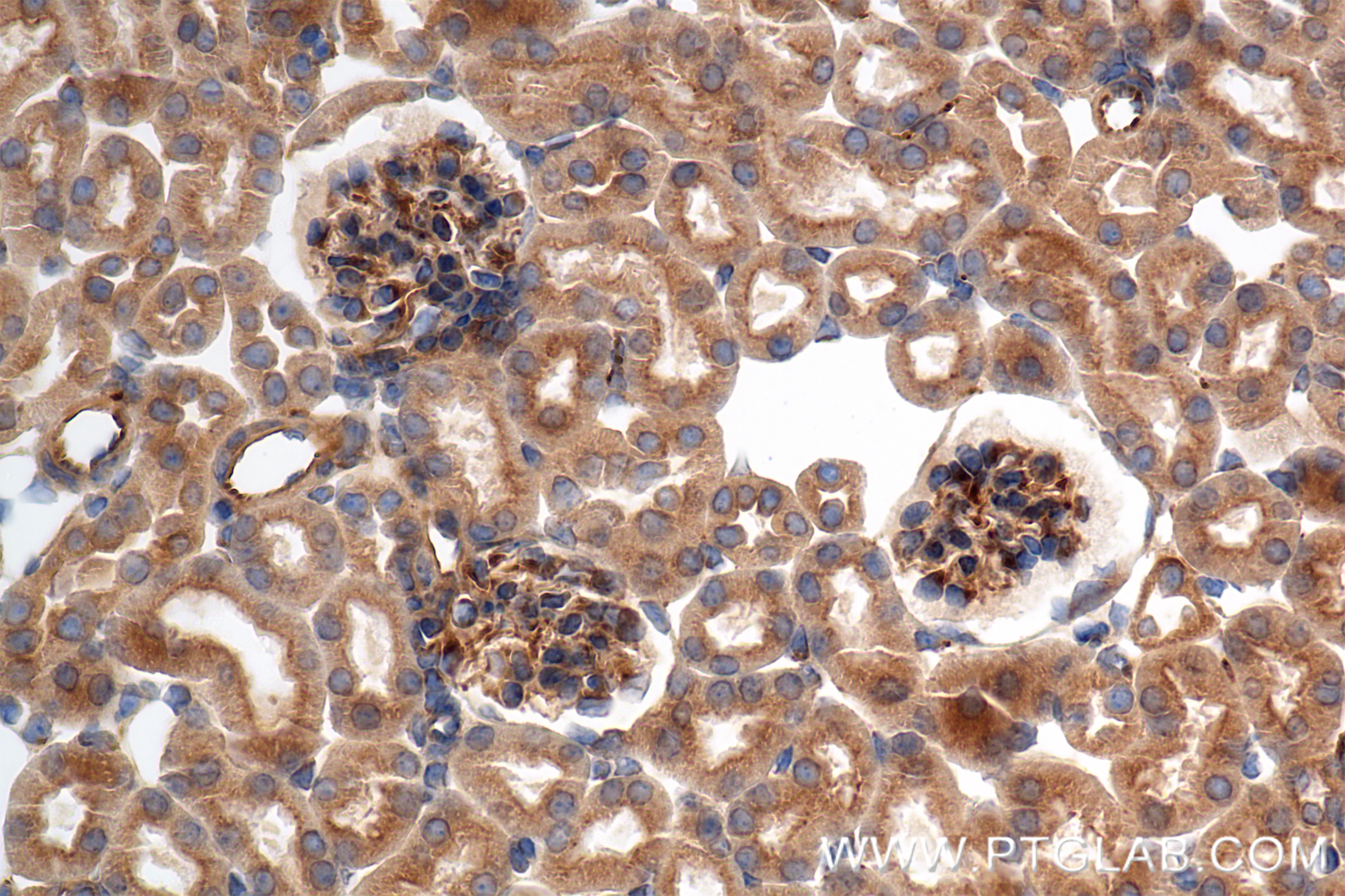
| Positive IHC detected in | mouse kidney tissue Note: suggested antigen retrieval with TE buffer pH 9.0; (*) Alternatively, antigen retrieval may be performed with citrate buffer pH 6.0 |
推荐稀释比
| 应用 | 推荐稀释比 |
|---|---|
| Immunohistochemistry (IHC) | IHC : 1:500-1:2000 |
| It is recommended that this reagent should be titrated in each testing system to obtain optimal results. | |
| Sample-dependent, Check data in validation data gallery. | |
产品信息
85092-1-PBS targets FAM13A in IHC, IF/ICC, IF-P, Indirect ELISA applications and shows reactivity with human, mouse samples.
| 经测试应用 | IHC, IF/ICC, IF-P, Indirect ELISA Application Description |
| 经测试反应性 | human, mouse |
| 免疫原 |
Peptide 种属同源性预测 |
| 宿主/亚型 | Rabbit / IgG |
| 抗体类别 | Recombinant |
| 产品类型 | Antibody |
| 全称 | family with sequence similarity 13, member A |
| 别名 | 242285A8, FAM13A1, KIAA0914, Protein FAM13A |
| 计算分子量 | 117 kDa |
| GenBank蛋白编号 | NM_014883 |
| 基因名称 | FAM13A |
| Gene ID (NCBI) | 10144 |
| RRID | AB_3744004 |
| 偶联类型 | Unconjugated |
| 形式 | Liquid |
| 纯化方式 | Protein A purfication |
| UNIPROT ID | O94988 |
| 储存缓冲液 | PBS only, pH 7.3. |
| 储存条件 | Store at -80°C. The product is shipped with ice packs. Upon receipt, store it immediately at -80°C |
背景介绍
FAM13A, also named as FAM13A1 and KIAA0914, belongs to the FAM13 family. It is associated with chronic obstructive pulmonary disease.(PMID: 20173748) This antibody is specific to FAM13A.
实验方案
| Product Specific Protocols | |
|---|---|
| IHC protocol for FAM13A antibody 85092-1-PBS | Download protocol |
| Standard Protocols | |
|---|---|
| Click here to view our Standard Protocols |






