验证数据展示
经过测试的应用
| Positive WB detected in | PC-3 cells, HeLa cells |
| Positive IP detected in | PC-3 cells |
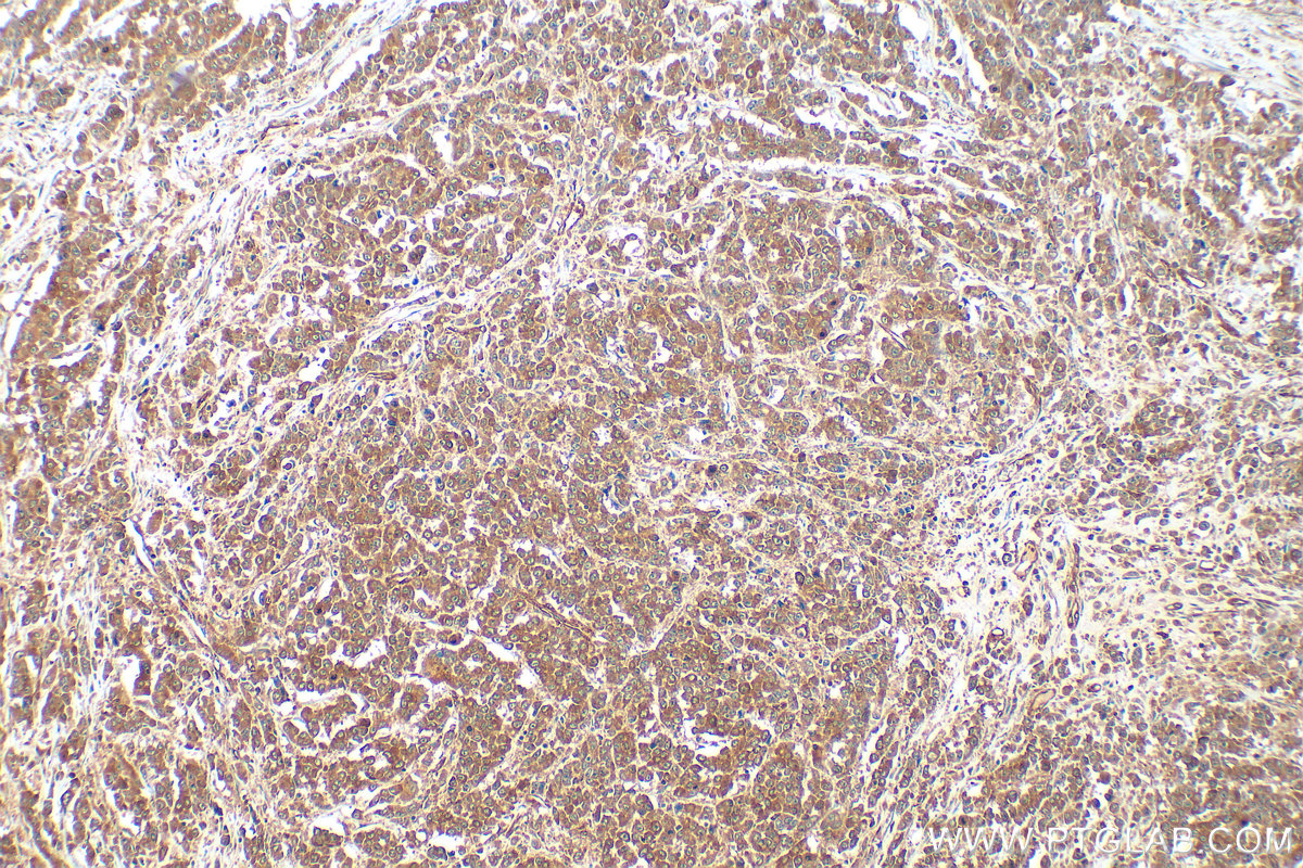
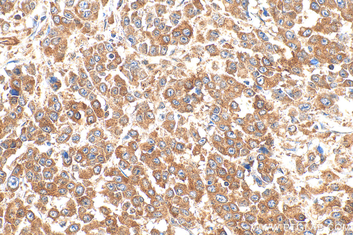
| Positive IHC detected in | human colon cancer tissue Note: suggested antigen retrieval with TE buffer pH 9.0; (*) Alternatively, antigen retrieval may be performed with citrate buffer pH 6.0 |
| Positive IF/ICC detected in | HepG2 cells |
推荐稀释比
| 应用 | 推荐稀释比 |
|---|---|
| Western Blot (WB) | WB : 1:500-1:1000 |
| Immunoprecipitation (IP) | IP : 0.5-4.0 ug for 1.0-3.0 mg of total protein lysate |
| Immunohistochemistry (IHC) | IHC : 1:200-1:800 |
| Immunofluorescence (IF)/ICC | IF/ICC : 1:10-1:100 |
| It is recommended that this reagent should be titrated in each testing system to obtain optimal results. | |
| Sample-dependent, Check data in validation data gallery. | |
发表文章中的应用
| WB | See 3 publications below |
| IP | See 1 publications below |
产品信息
20282-1-AP targets FAM127 in WB, IHC, IF/ICC, IP, ELISA applications and shows reactivity with human, mouse, rat samples.
| 经测试应用 | WB, IHC, IF/ICC, IP, ELISA Application Description |
| 文献引用应用 | WB, IP |
| 经测试反应性 | human, mouse, rat |
| 文献引用反应性 | human, mouse |
| 免疫原 |
CatNo: Ag13930 Product name: Recombinant human FAM127B protein Source: e coli.-derived, PGEX-4T Tag: GST Domain: 1-113 aa of BC000393 Sequence: MDGRVQLMKALLAGPLRPAARRWRNPIPFPETFDGDTDRLPEFIVQTCSYMFVDENTFSNDALKVTFLITRLTGPALQWVIPYIRKESPLLNDYRGFLAEMKRVFGWEEDEDF 种属同源性预测 |
| 宿主/亚型 | Rabbit / IgG |
| 抗体类别 | Polyclonal |
| 产品类型 | Antibody |
| 全称 | family with sequence similarity 127, member B |
| 别名 | FAM127 A/B/C, CXX1, FAM127A, FAM127B, FAM127C |
| 计算分子量 | 113 aa, 13 kDa |
| 观测分子量 | 13 kDa |
| GenBank蛋白编号 | BC000393 |
| 基因名称 | FAM127B |
| Gene ID (NCBI) | 26071 |
| RRID | AB_10694677 |
| 偶联类型 | Unconjugated |
| 形式 | Liquid |
| 纯化方式 | Antigen affinity purification |
| UNIPROT ID | Q9BWD3 |
| 储存缓冲液 | PBS with 0.02% sodium azide and 50% glycerol, pH 7.3. |
| 储存条件 | Store at -20°C. Stable for one year after shipment. Aliquoting is unnecessary for -20oC storage. |
背景介绍
The FAM127 family currently has three members, namely FAM127A (also called RTL8C and CXX1), FAM127B (also called CXX1B and RTL8A), and FAM127C (also called RTL8B and CXX1C). They are located on chromosomes and their functions are unknown. All three are composed of 113 amino acids and have extremely high sequence similarity. The immunogen of this antibody has a sequence similarity of more than 95% with members of the FAM127 family. Theoretically, the antibody can recognize all members of the FAM127 family.
实验方案
| Product Specific Protocols | |
|---|---|
| IF protocol for FAM127 antibody 20282-1-AP | Download protocol |
| IHC protocol for FAM127 antibody 20282-1-AP | Download protocol |
| IP protocol for FAM127 antibody 20282-1-AP | Download protocol |
| WB protocol for FAM127 antibody 20282-1-AP | Download protocol |
| Standard Protocols | |
|---|---|
| Click here to view our Standard Protocols |
发表文章
| Species | Application | Title |
|---|---|---|
Sci Adv Endogenous retrovirus-like proteins recruit UBQLN2 to stress granules and shape their functional biology | ||
Cell Mol Life Sci RTL8 promotes nuclear localization of UBQLN2 to subnuclear compartments associated with protein quality control. | ||
bioRxiv Endogenous retrovirus-like proteins recruit UBQLN2 to stress granules and alter their functional properties | ||





